Tutorial de ecografía escrotal, ahora en app para Android, en español e inglés.
Este Tutorial ha recibido certificados de mérito tanto en la RSNA en 2011 como en el Congreso
Nacional de SERAM de 2012. Cuenta con el aval de la SERAM y con el de más de 360 usuarios que le han dado una nota de 8,85/10 (tesis doctoral de Pilar Márquez, dirigida por los Dres. F. Sendra y E. Navarro).
Puedes encontrarla en Play Store y en la app de tu iPhone. Busca “ecografía escrotal”.
Tutorial of scrotal ultrasound, an App for Android and iPhone smartphones and tablets.
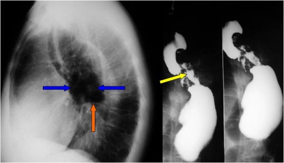
SIGNO DEL PICO
Signo de vólvulo y otras causas de obstrucción intestinal en asa cerrada, que inicialmente se describió en el estudio baritado (enema opaco). Se refiere a la estenosis fusiforme que se dirige al punto de torsión (flecha roja en la radiografía y flecha negra en el esquema). En caso de que el contraste atraviese la estenosis y exista una disminución de la luz en el segmento proximal de la torsión, la imagen obtenida recuerda a la de dos pájaros con sus picos juntos.
La imagen muestran el Signo del pico en un paciente con un vólvulo de sigma.
Aunque lo hemos incluido dentro de los signos de colon, este signo también es visible en las obstrucciones en asa cerrada de intestino delgado.
Inicialmente descrito en el enema opaco, en la TC también es visible este signo y no solamente en el asa eferente (como ocurre en el enema opaco, donde este asa se rellena retrógradamente) sino también en el aferente.
Existe otro Signo del pico en la achalasia, afectando al esófago distal, ya descrito en la sección correspondiente (ABDOMEN/Tubo digestivo/Esófago).
SIGNO DEL GRANO DE CAFÉ
Signo de obstrucción intestinal con estrangulación (vólvulo, hernia incarcerada,…), que provoca obstrucción simultánea a dos niveles -asa cerrada-. El asa afecta, llena de aire y doblada sobre sí misma, adquiere el aspecto de un grano de café con una banda central densa que corresponde a las paredes opuestas del asa estrangulada. Cuando la radiografía es en bipedestación puede aparecer un nivel hidroaéreo en cada segmento del intestino dilatado.
La fotografía corresponde a un paciente con vólvulo de sigma. Suele ser habitual en pacientes con vólvulo de sigma que el grano de café ocupe casi todo el abdomen. Hasta un 80 % de estos vólvulos se diagnostican solo con la radiografía de abdomen en decúbito. La ausencia de gas rectal contribuye a reforzar el diagnóstico.
El signo también ha sido descrito en obstrucciones en asa cerrada de intestino delgado, pero lo más habitual es que se aplique al vólvulo de sigma.
El Signo del grano de café también se ha llamado Signo de la U invertida y Signo del tubo doblado
Referencia. Feldman D. The coffe bean sign. Radiology 2000; 216: 178-179. En:
http://pubs.rsna.org/doi/full/10.1148/radiology.216.1.r00jl17178.
SIGNO DE LA LÍNEA BLANCA
En la imagen del signo anterior también es visible el Signo de la línea blanca, formada por las paredes del sigma dilatado próximas entre sí, es decir, corresponde a la línea que divide en dos el «grano de café».
SIGNO DE LAS LÍNEAS CONVERGENTES
Es un signo de vólvulo de sigma que se ve al tiempo que el Signo del grano de café, pero no referido al luminograma del sigma dilatado sino a las paredes sigmoideas. Se trata de tres líneas que delimitan la pared del sigma (flechas), dos laterales y una central, más gruesa, formada por la aposición de las paredes de las dos partes del sigma, la que asciende y la que desciende. Las tres líneas convergen en la pelvis en la zona de la volvulación.
La imagen ha sido cedida por Federico Cáceres, de su blog Radiodiagnosticando:
http://radiodiagnosticando.com/2014/07/11/caso-volvulo-de-sigma/.
Este signo se ha denominado también Signo de Frimann-Dahl.
Hay otro ejemplo en: http://radiopaedia.org/articles/frimann-dahls-sign.
SIGNO DEL PASO AL NORTE
La misma imagen del signo anterior nos permite ilustrar este otro. En el vólvulo de sigma, la parte más alta de éste se sitúa por encima del colon transverso (marcado en amarillo en la imagen).
La imagen de TC del mismo paciente nos permite confirmar este hallazgo. A la derecha, imagen coronal. A la izquierda, imagen axial. A: sigma volvulado. B: colon transverso lleno de heces. C: ciego.
Las imágenes han sido cedidas por Federico Cáceres, de su blog Radiodiagnosticando:
La denominación en inglés de este signo es «the northern exposure sign». La traducción literal (signo de la exposición del norte) resulta incomprensible por carecer de sentido. En el artículo donde se describe (Javors BR, Baker SR, Miller JA. The northern exposure sign: a newly described finding in sigmoid volvulus. AJR Am J Roentgenol. 1999;173 (3): 571-4) los autores refieren que, si el colon transverso puede considerarse el ecuador del abdomen, el sigma normalmente ocupa el hemisferio sur, caudal al colon transverso -inframesocólico-. El signo se observa cuando el ápex del colon sigmoide ha migrado cefálicamente, por encima del colon transverso, al espacio supramesocólico. De ahí que hayamos preferido traducirlo como Signo del paso al norte.
Si propones una traducción mejor, envía un correo a enavs1@gmail.com.
El artículo puede consultarse en: http://www.ajronline.org/doi/pdf/10.2214/ajr.173.3.10470881.
SIGNO DEL REMOLINO
Ya se ha comentado este signo en la sección de Obstrucción de intestino delgado. Aunque inicialmente descrito en el vólvulo de delgado, también se ha visto en el vólvulo de sigma (como el de la imagen que presentamos) y de ciego.
SIGNO DE LA X o SIGNO DE LA X QUE MARCA EL PUNTO
Signo de vólvulo de sigma en la TC abdominal no visible en un único corte. Uno de los dos trazos de la letra X se ve en un corte y el otro se identifica en un plano superior o inferior. El signo representa el punto en donde se volvula el sigma, donde se cruzan los dos segmentos del sigma, el que asciende y el que desciende. Parece como si con una gran X se marcara el punto de volvulación. En la imagen se han marcado en rojo los dos trazos de la X. Obsérvese por las referencias óseas que la imagen izquierda está mucho más caudal que la derecha.
A diferencia del próximo signo que explicaremos (el Signo de la pared divisoria), el Signo de la X representa una volvulación completa.
Esquema que explica la aparición de la marca X en un sigma volvulado.Las líneas negras indican los planos de corte. A la derecha se muestran las secciones axiales del sigma. En cada corte vemos una zona del sigma más colapsada y otra más dilatada cuya orientación es distinta a la del otro plano (líneas rojas).
Ambos signos fueron descritos por Levsky y cols en un artículo de AJR: CT findigns of sigmoid volvulus. AJR 2010; 194:136–143. Disponible en: http://www.ajronline.org/doi/pdf/10.2214/AJR.09.2580.
SIGNO DE LA PARED DIVISORIA
Esquema que explica el Signo de la pared divisoria. Se trata de una volvulación incompleta del sigma, en la que existe una aparente separación de dos paredes del sigma por grasa mesentérica. Esto ocurre en la zona de rotación de un asa de sigma sobre sí misma.
En el signo anterior se cita el artículo de referencia y se incluye el enlace.








Corte axial de TC de abdomen de otro paciente que muestra una semiluna con la densidad grasa del mesenterio en una invaginación ileo-ileal.













