Tutorial de ecografía escrotal, ahora en app para Android, en español e inglés.
Este Tutorial ha recibido certificados de mérito tanto en la RSNA en 2011 como en el Congreso
Nacional de SERAM de 2012. Cuenta con el aval de la SERAM y con el de más de 360 usuarios que le han dado una nota de 8,85/10 (tesis doctoral de Pilar Márquez, dirigida por los Dres. F. Sendra y E. Navarro).
Puedes encontrarla en Play Store y en la app de tu iPhone. Busca “ecografía escrotal”.
Tutorial of scrotal ultrasound, an App for Android and iPhone smartphones and tablets.
SIGNO DEL SENO PROFUNDO

La flecha roja señala el seno costofrénico profundo. La radiografía corresponde a un paciente con un traumatismo torácico. Obsérvese el enfisema subcutáneo (flecha blanca) y el tubo de drenaje pleural (flecha negra).
Signo de neumotórax en la radiografía anteroposterior en decúbito supino. Corresponde a la imagen del seno costofrénico anormalmente agudo por neumotórax. Compárese en la imagen con el seno costofrénico izquierdo.
En decúbito, el neumotórax ocupa una posición basal y medial con respecto al pulmón, a diferencia de en bipedestación, en que ocupa una posición lateral y apical. Esto provoca la imagen de un seno costofrénico anormalmente profundo.
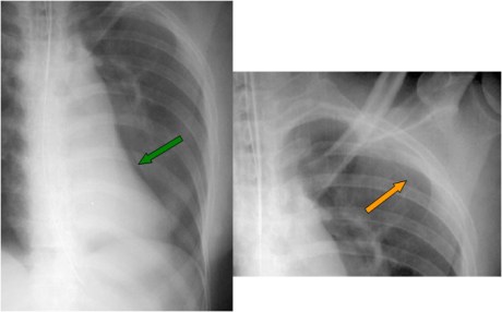
SIGNO DE LA DOBLE PARED
Signo de neumotórax en la TC, en pacientes con enfisema bulloso gigante. Consiste en la presencia de aire en ambos lados de la pared de una bulla (flechas blancas), de forma similar al signo de la doble pared o de Rigler en el neumoperitoneo.
En la imagen vemos también un extenso enfisema subcutáneo y un segmento de un tubo de tórax en el lado derecho (flecha roja).
SIGNO DEL DOBLE DIAFRAGMA
Signo de neumotórax en la radiografía anteroposterior, en decúbito supino. Un pequeño neumotórax de localización anterior puede pasar desapercibido; cuando el neumotórax perfila el surco costofrénico anterior da lugar a una imagen de doble diafragma (flechas verdes) que nos debe hacer sospechar la presencia del neumotórax.
En este caso también puede verse la línea pleural (flechas amarillas) por la extensión lateral del neumotórax. En otros pacientes, el signo del doble diafragma puede ser el único signo de neumotórax.
Este signo tiene un valor limitado, ya que las lobulaciones diafragmáticas pueden verse como doble diafragma.
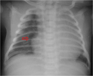
SIGNO DEL HEMITÓRAX HIPERCLARO
Signo de neumotórax en la radiografía de tórax en supino. Aunque ha sido descrito en el neumotórax neonatal, también puede verse en adultos. Por supuesto, hay que descartar otras causas de hiperclaridad, especialmente la rotación de la proyección.
El signo es más útil cuando se asocia a una mejor definición del borde mediastínico de ese lado como consecuencia del contacto del aire libre con dicho borde (signo del margen nítido).
En la imagen vemos que el hemitórax derecho es menos denso que el izquierdo por la presencia de neumotórax. Se aprecia, además el margen cardíaco derecho nítido.
SIGNO DEL MARGEN NÍTIDO
Signo de neumotórax en la radiografía en decúbito supino. Aunque ha sido descrito en neonatos, también está presente en los adultos. Consiste en una mejor delimitación del contorno mediastínico que en el lado contralateral. En el pulmón normal, la trama broncovascular en contacto con la silueta, provoca un contorno algo difuminado; sin embargo, el aire libre pleural delimita más claramente esta interfase.
En la imagen del signo anterior, además del hemitórax derecho hiperclaro se reconoce el margen cardiaco derecho más nítido que el izquierdo.
SIGNO DE LA BANDA MEDIAL
Signo de neumotórax de disposición medial en la radiografía de tórax. Consiste en la presencia de una banda de baja densidad (flecha) que recorre el hemitórax correspondiente pegado a la silueta cardiomediastínica. A diferencia del neumomediastino, a menudo llega a las porciones inferiores de la silueta cardíaca, y es unilateral. El neumopericardio puede distinguirse porque el aire rodea la silueta cardíaca y limitado por el pericardio.
Aunque fue descrito como signo de neumotórax en el neonato, puede encontrarse también en el adulto.

Otro ejemplo, en un adulto. La flecha verde indica la banda medial mientras que la flecha naranja señala el neumotórax en posición lateral.
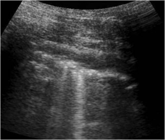
AUSENCIA DEL SIGNO DEL DESPLAZAMIENTO
En la ecografía de tórax la pleura se ve como una línea ecogénica que separa el plano muscular del pulmón. En condiciones normales, con la respiración se produce un desplazamiento de ambos planos, movimiento señalado por las flechas blancas. La demostración de este deslizamiento excluye el neumotórax con un valor predictivo negativo y una sensibilidad del 100%. Su ausencia, en cambio, no es diagnóstica de neumotórax ya que puede estar presente en pacientes críticos con atelectasia masiva, intubación de un bronquio principal, contusión pulmonar, enfermedad pulmonar obstructiva crónica, síndrome de distrés respiratorio agudo o adherencias pleurales.
SIGNOS DE LA LÍNEA A, LA LÍNEA B Y PUNTO PULMONAR
Las líneas A son artefactos formados por líneas paralelas a la pleura que pueden verse tanto en el pulmón aireado como en el neumotórax.
Las líneas B son artefactos en cola de cometa cuya presencia excluye el neumotórax.
El punto pulmonar marca el límite lateral del neumotórax, entre donde es visible el signo del deslizamiento y donde está presente. Este signo confirma el neumotórax y permite determinar su cuantía, ya que cuanto más inferior y lateral es el punto, mayor es el neumotórax.
Pueden consultarse otros signos ecográficos de neumotórax en el siguiente aetículo: http://www.elsevier.es/eop/S0033-8338%2812%2900239-1.pdf







