VÍA AÉREA

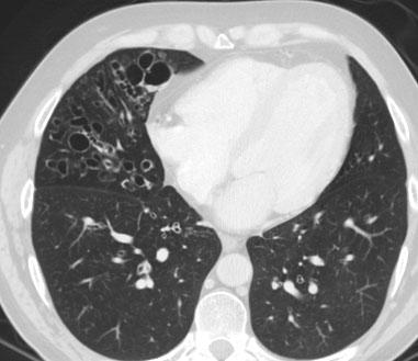
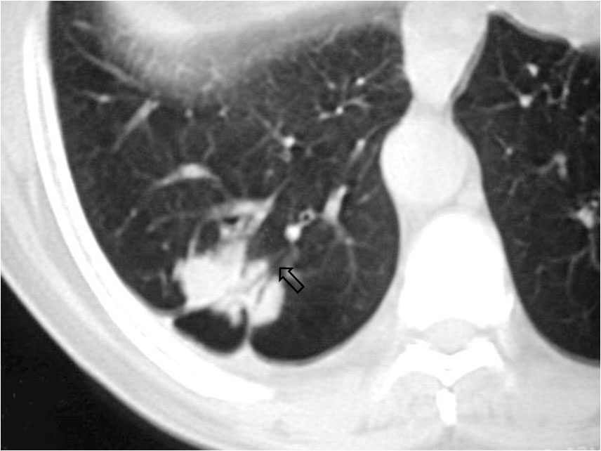
SIGNO DEL ANILLO DE SELLOANILLOSELLOSigno de bronquiectasia en la TC en ventana de parénquima. Cuando el bronquio dilatado tiene un trayecto vertical, en el corte axial aparece como una radiotransparencia circular con pared gruesa, acompañado de una arteria cuyo diámetro es más pequeño que el del bronquio (flecha).

La imagen recuerda a los anillos que tenían un escudo o marca personal con los que se autentificaban cartas o documentos mediante su impresión en lacre.

Para saber más. The signet ring sign. Radiology 1999; 212:67-68.

 

SIGNO DEL RACIMO DE UVASracimoEste signo consiste en el agrupamiento de bronquiectasias quísticas, tal como se ven en el lóbulo medio de este paciente. Este signo también es visible en la radiografía de tórax.

 

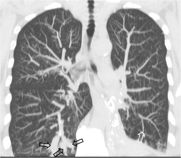
SIGNO DE LAS VÍAS DEL TRANVÍAVIAS2Se trata de otro signo de bronquiectasias. La presencia de imágenes paralelas o ligeramente convergentes, situadas con más frecuencia en los lóbulos inferiores, dirigidas hacia el hilio, corresponde a bronquiectasias tubulares. Las vías corresponden a las paredes engrosadas de los bronquios dilatados (flechas).

Hay que recordar que también existe un Signo de las vías del tranvía en el TEP (el contraste alrededor del trombo), así como en el meningioma del nervio óptico (el realce de la vaina) y en el Síndrome de Sturge-Weber (las calcificaciones corticales).

 

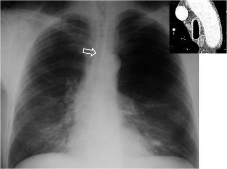
SIGNO DE LOS DEDOS DE GUANTEguanteSigno visible tanto en la radiografía de tórax como en la tomografía computarizada. Corresponde a una ramificación de bronquios dilatados y ocupados por moco (flechas). Entre las causas se han distinguido aquellas en las que existe una obstrucción bronquial (hamartoma, lipoma o carcinoma) y  causas no obstructivas (aspergilosis broncopulmonar alérgica, asma y fibrosis quística).

En este enlace encuentras el artículo de Nguyen, The gloved finger sign (Radiology):

http://pubs.rsna.org/doi/full/10.1148/radiol.2272011548

 

SIGNO DEL ÁRBOL EN BROTEárbolflorSigno visible en la TC de tórax en ventana de parénquima, que consiste en la presencia de nódulos periféricos (a 3-5 mm de la pleura), de pequeño tamaño (de 2 a 4 mm), bien definidos, centrolobulillares, con densidad de partes blandas, que se conectan a opacidades lineales ramificadas.

Este signo representa la ocupación de la luz bronquiolar con moco, pus o líquido, que hace visible la pequeña vía aérea periférica, normalmente invisible.

No es un signo específico, ya que, si bien se presenta más frecuentemente en cuadros infecciosos, también puede verse en enfermedades neoplásicas, inmunológicas, congénitas, idiopáticas o en aspiración.

Un artículo de referencia: Eisenhuber E. The tree-in-bud sign. Radiology 2002, 222: 771-772.

 

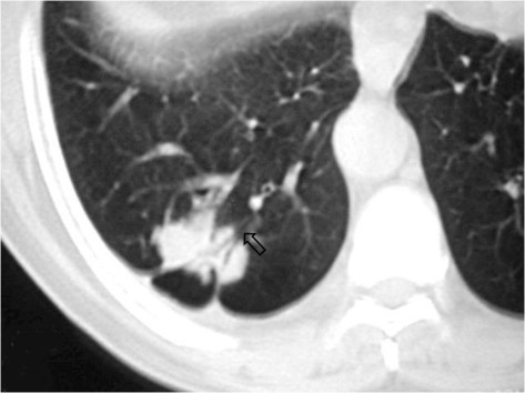
SIGNO DEL BRONQUIO ABIERTO O BRONQUIO POSITIVObronqposHallazgo visible en la TC de tórax que consiste en una imagen de hipodensidad tubular (el bronquio) que alcanza directamente un nódulo pulmonar periférico, en el que puede adentrar  (creándose un signo de broncograma aéreo) o no. En la imagen vemos el bronquio positivo –flecha- y el broncograma aéreo en el interior del nódulo.

Este signo no es específico de malignidad, ya que también está presente en lesiones benignas, como tuberculomas, masas inflamatorias o infartos. Más bien, la utilidad del signo reside en que, cuando está presente, la biopsia transbronquial está indicada y será muy probablemente rentable. Por el contrario, cuando no está presente, la biopsia transparietal es el mejor método para la confirmación histológica.

Ver más en: Singh, SP. The positive bronchus sign. Radiology 1998; 209: 251-252.

 

SIGNO DEL BRONQUIO INTERRUMPIDO

La interrupción de la columna de aire en el bronquio principal se describió como un signo en fluoroscopia de cuerpo extraño bronquial en niños. El signo es particularmente útil cuando la radiografía de tórax muestra atelectasia o neumonía. La sensibilidad del signo es del 100 % y la especificidad del 71 %, ya que otras lesiones endobronquiales pueden igualmente interrumpir la luz bronquial.

Referencia:   Lim-Dunham, JE y Yousefzadeh, DK. The interrupted bronchus: a fluoroscopic sign of bronchial foreign body in infants and children. AJR 1999; 173: 969-972.

 

SIGNO DE LA TRÁQUEA EN SABLESABLESigno de enfermedad pulmonar obstructiva crónica en la radiografía posteroanterior del tórax. Hace referencia a la deformidad relativamente persistente que consiste en el adelgazamiento de la luz traqueal en el eje laterolateral, así como un cambio brusco de calibre en la porción cervical.

En este paciente vemos también otros hallazgos de esta enfermedad, hiperlucencia en el campo superior izquierdo por bullas y patrón intersticial (“patrón sucio”) en bases.

 

SIGNO DEL PULMÓN CAÍDOpulmcaidoSigno de rotura traqueobronquial, generalmente de causa traumática. El pulmón, desligado de sujeción traqueobronquial, cae colapsado a la porción declive del hemitórax correspondiente, rodeado por neumotórax.

En la imagen podemos ver el signo en el lado izquierdo. El neumotórax tiene una disposición lateral, medial y anterior, diferente a la que ocurre en otras causas de neumotórax, en las que adopta una posición anteromedial en el paciente en decúbito.

Más información en: http://dirjournal.org/sayilar/20/buyuk/pdf_DIR_175.pdf

http://pubs.rsna.org/doi/abs/10.1148/radiographics.18.5.9747609