Tutorial de ecografía escrotal, ahora en app para Android, en español e inglés.
Este Tutorial ha recibido certificados de mérito tanto en la RSNA en 2011 como en el Congreso
Nacional de SERAM de 2012. Cuenta con el aval de la SERAM y con el de más de 360 usuarios que le han dado una nota de 8,85/10 (tesis doctoral de Pilar Márquez, dirigida por los Dres. F. Sendra y E. Navarro).
Puedes encontrarla en Play Store y en la app de tu iPhone. Busca “ecografía escrotal”.
Tutorial of scrotal ultrasound, an App for Android and iPhone smartphones and tablets.
SIGNOS DE TROMBOEMBOLISMO PULMONAR
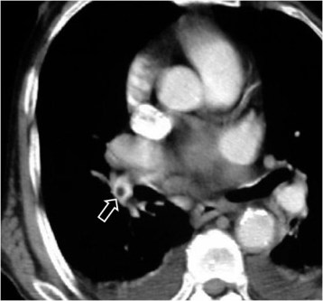
SIGNO DEL ANILLO
Signo de tromboembolismo pulmonar (TEP) en el angioTC con contraste intravenoso. El anillo (flecha) corresponde al contraste que rodea a un trombo central en un vaso cortado transversalmente. Vemos este signo en la arteria lobar inferior derecha. El signo del anillo se ve en el TEP agudo, ya que el trombo ocupa una posición central en el vaso. En el TEP crónico el trombo se hace marginal.
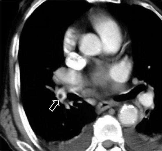
SIGNO DEL RAÍL O DE LAS VÍAS DEL TRANVÍA
Signo de tromboembolismo pulmonar en el angioTC con contraste intravenoso. El trombo aparece como un defecto de repleción intraluminal (arteria pulmonar) rodeado, al menos parcialmente, por un halo delgado de contraste. Este hallazgo tiene el mismo significado que el signo del anillo. La imagen depende de si el vaso es cortado transversalmente (anillo) o longitudinalmente (raíl).
SIGNO DEL CUBITO DE HIELO DERRETIDO
Resulta difícil la traducción, en una sola palabra, del melting sign. Se ha traducido como deshielo, pero en realidad hace referencia a cómo se derrite un cubito de hielo, es decir, de fuera hacia adentro. Este signo carece de valor para el diagnóstico de TEP en la actualidad. Una condensación alveolar cuyo tamaño se reduce de forma concéntrica corresponde a un foco de hemorragia pulmonar en el contexto de un TEP, mientras que las condensaciones neumónicas tienden a resolverse en sentido gravitacional, esto es, de arriba abajo.
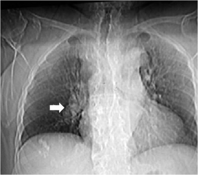
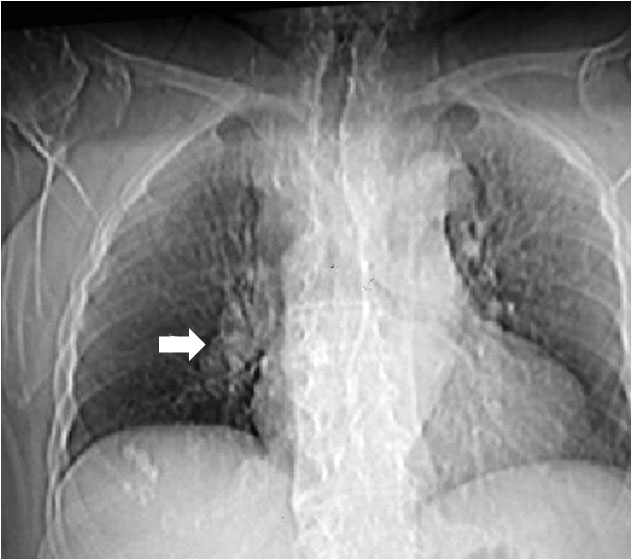
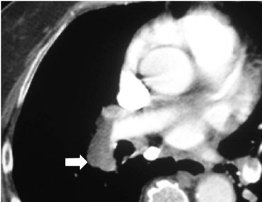
SIGNO DE FLEISHNER o DEL HILIO ABULTADO o DEL NUDILLO
En la radiografía posteroanterior o anteroposterior de tórax, la presencia de una arteria pulmonar agrandada puede indicar tromboembolismo, especialmente cuando no está presente en los estudios previos. Este signo también se llama signo de plump hilus o Signo del nudillo.
En el corte del angioTC de tórax con contraste del mismo paciente, vemos un aumento de tamaño de la arteria pulmonar, que presenta un defecto de repleción (flecha) correspondiente al tromboembolismo.
Con el mismo significado que el signo del hilio abultado se ha descrito el Signo de la salchicha o Signo de la palla. Se trata del engrosamiento de una arteria pulmonar, más fácilmente visibles en las descendentes, provocado por el trombo en el interior arterial.
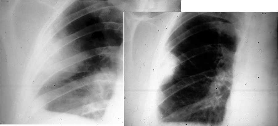
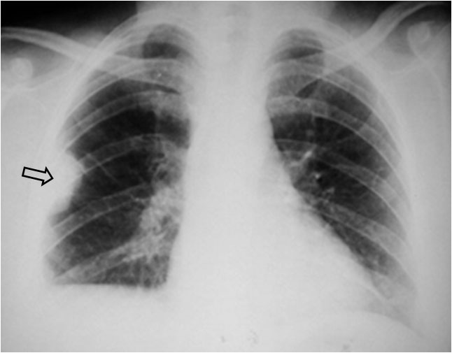
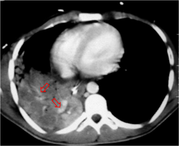
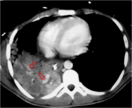
SIGNO DE LA JOROBA DE HAMPTON
Opacidad en cuña con base de contacto pleural, generalmente sin broncograma aéreo, que corresponde a infarto pulmonar. Aunque con frecuencia se localiza en el seno costofrénico lateral, puede encontrarse en otras localizaciones. La fotografía muestra una radiografía PA de tórax donde se observa una joroba de Hampton en el campo medio pulmonar derecho (flecha).
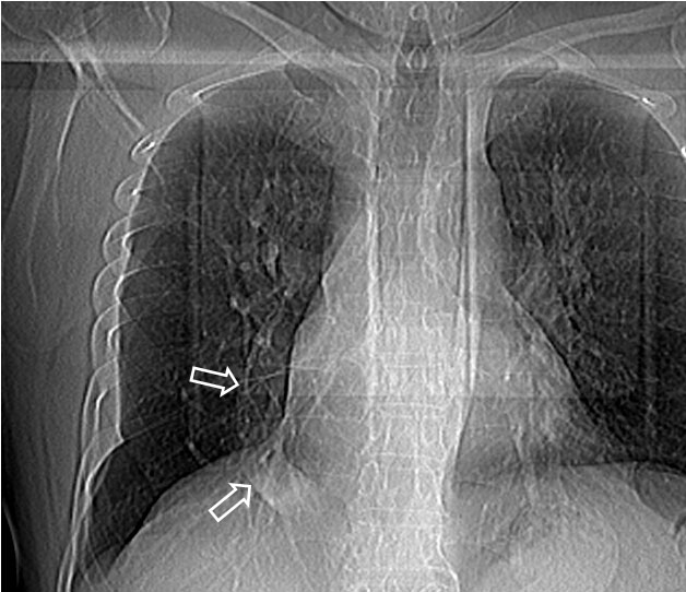
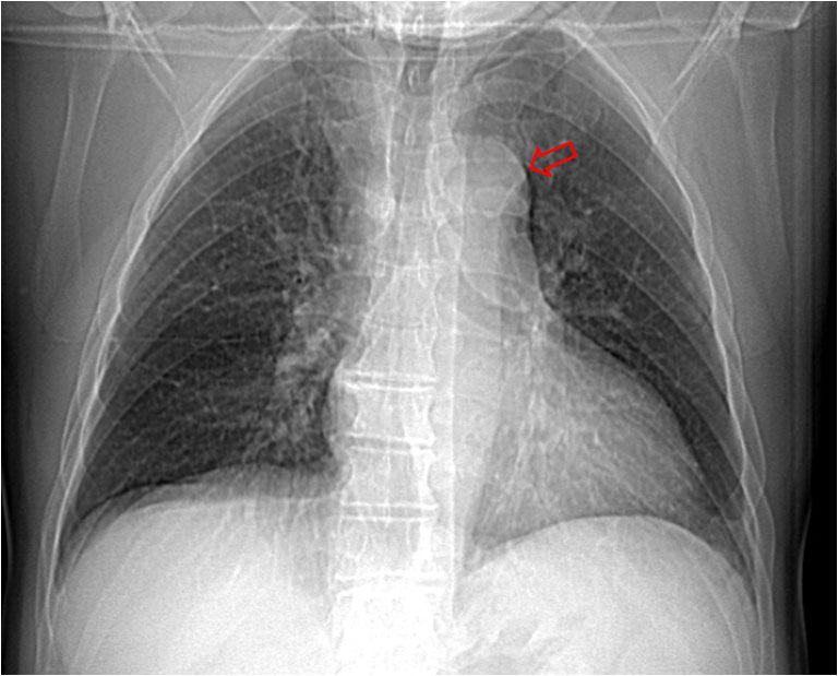
SIGNO DE WESTERMARK
Signo de tromboembolismo en la radiografía de tórax, poco frecuente de ver, que consiste en la asociación de hipodensidad del parénquima –causada por la hipovascularización del área afectada por el embolismo- y agrandamiento hiliar provocado por el alojamiento del émbolo en la arteria pulmonar (flecha). En la imagen la hipodensidad del parénquima afecta a los dos tercios superiores del pulmón derecho.
OTROS SIGNOS DEL ÁRBOL VASCULAR
SIGNO DE LA CIMITARRA
En la radiografía de tórax, la presencia de una sombra curva vascular localizada al lado derecho del corazón (flechas) y que desciende hacia el diafragma refleja un drenaje venoso pulmonar anómalo (síndrome de la cimitarra). El nombre del signo deriva del parecido de la imagen con una espada turca del mismo nombre.
A la izquierda, reconstrucción coronal oblicua que permite ver el vaso anómalo. A la derecha, el vaso visto en el corte axial (flecha).
SIGNO DEL ANGIOGRAMA
En la TC con contraste, el dibujo del árbol arterial sobre una consolidación del parénquima fue descrito inicialmente como signo de carcinoma bronquiolo-alveolar. Más tarde se ha descrito que no se trata de un signo específico ya que puede verse en otras causas de condensación (neumonías, contusión, atelectasia…).
La fotografía corresponde a un paciente con contusión pulmonar en la base derecha donde aparecen varios vasos contrastados (flechas).
Maldonado RL. The CT angiogram sign. Radiology 1999; 210: 323-324.
SIGNO DEL VASO AFERENTE
Aunque el signo del vaso aferente o vaso que alimenta el nódulo se describió inicialmente como un signo que representaba diseminación hematógena (embolismos sépticos, metástasis) , en realidad son varias las afecciones pulmonares en las que en la TC pueden verse imágenes vasculares que alcanzan los nódulos, por lo que este signo no resulta específico. Se ha descrito en la granulomatosis de Wegener, malformación arterio-venosa y vasculitis entre otras.
SIGNO DEL PEZÓN AÓRTICO
El pezón aórtico consiste en un pequeño abultamiento visible en el cortorno lateral del botón aórtico (flecha), visible en hasta un 10 % de pacientes. La imagen corresponde a la vena intercostal izquierda prominente. esta vena recoge la sangre de los primeros espacios intercostales y drena en la vena braquiocefálica izquierda. Puede estar dilatada en las radiografías es espiración o en decúbito, pero también puede ser un signo de obstrucción de la vena cava superior, obstrucción o ausencia de la vena cava inferior, insuficiencia cardiaca congestiva, agenesia de la hemiácigos, hipertensión portal o, más raramente, drenaje venoso pulmonar anómalo total o parcial.
La imagen de TC muestra una densidad curvilínea lateral a la aorta (flecha) correspondiente a la vena intercostal izquierda.
Otro ejemplo en una imagen se escanograma y el la TC con contraste iv.
Más información en:
http://www.learningradiology.com/archives06/COW%20224-Sup%20Intercostal%20v/lsivccorrect.html
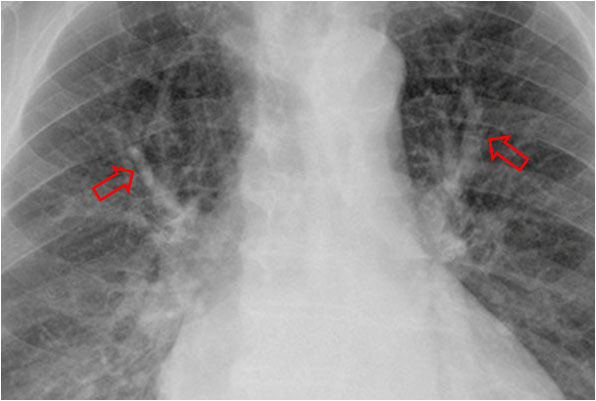
SIGNO DE LAS ASTAS DE CIERVO
Signo de hipertensión venosa pulmonar en la radiografía posteroanterior de tórax. Consiste en el engrosamiento de las venas de los campos pulmonares superiores (flechas) por redistribución del flujo, normalmente dirigido hacia las bases de forma preferente. Si la presión venosa pulmonar no se controla con este mecanismo fisiopatológico, se produce el edema intersticial y, finalmente, el edema alveolar.

















