SIGNO DEL CORAZÓN DE MANZANA
Los tumores malignos del colon pueden producir una estenosis circunferencial con márgenes abruptos entre la zona de estrechamiento y la sana, cuyo aspecto, en el enema de bario, recuerda a una manzana mordisqueada. Este tipo de estenosis también se denomina «en servilletero».
El signo también puede verse en la TC, aunque en el enema es más reconocible y fue descrito en esta exploración.
Realmente no es un signo exclusivo del colon, aunque lo incluyamos en esta sección. Puede presentarse en el intestino delgado, aunque en más raras ocasiones. Las imágenes de abajo corresponden a un paciente que presenta el Signo del corazón de manzana por neoplasia maligna en yeyuno. Representa, como en el colon, un crecimiento del tumor que estenosa concéntricamente la luz intestinal.
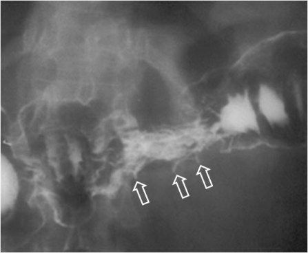
SIGNO DEL COLON RAYADO
Los implantes metastásicos en la serosa del colon producen una reacción desmoplásica causante de la rigidez y retracción de la pared del colon, que se manifiesta por estrías o pliegues transversales en el colon, en el estudio con doble contraste (flechas).
Esta imagen muestra la afectación similar en un asa de intestino delgado.
El artículo de referencia es de S Ginaldi, MM Lindell, Jr y J Zornoza en AJR de 1980: The striped colon: a new radiographic observation in metastatic serosal implants. Disponible en: http://www.ajronline.org/doi/pdf/10.2214/ajr.134.3.453.
SIGNO DE LA HUELLA DE DEDO
Festoneamiento de la pared intestinal visible tanto en la radiografía simple de abdomen como en el estudio baritado, debido a edema intramural. Se ve tanto en colitis isquémicas como inflamatorias (colitis ulcerosa, enfermedad de Crohn, etc), procesos malignos (linfoma, metástasis), amiloidosis, endometriosis, pneumatosis intestinal o edema angioneurótico hereditario.
Hay bonitos ejemplos en: https://www.mja.com.au/journal/2003/179/2/bowel-wall-thumbprinting-pseudomembranous-colitis, y en http://onradiology.blogspot.com.es/2011/07/indications-of-thumbprint-sign-in-chest.html.
SIGNO DEL COLON CORTADO
Imagen de stop (flecha) en el luminograma del colon a nivel de la flexura esplénica, con el colon proximal distendido y descompresión del colon distal. Puede verse tanto en la radiografía simple de abdomen como en la TC y en el enema opaco, en pacientes con pancreatitis, pero también se ha visto en la trombosis vascular mesentérica y en la colitis isquémica.
Se debe a que el exudado inflamatorio de la pancreatitis infiltra el ligamento pericólico, provocando un espasmo o una estenosis mecánica en la flexura, al nivel donde el colon regresa al retroperitoneo. La distensión del colon transverso se debe a íleo adinámico local. Este signo (también llamado colon cut off ) puede simular una verdadera obstrucción.
El signo también se ha descrito en el carcinoma de colon, la enfermedad inflamatoria intestinal y la isquemia mesentérica.
La referencia es el artículo de Pickhardt en Radiology. Se puede consultar en el siguiente enlace:
http://pubs.rsna.org/doi/pdf/10.1148/radiology.215.2.r00ma18387.
SIGNO DE LAS BURBUJAS DE JABÓN o POMPAS DE JABÓN o SIGNO DE NEUHAUSER
En el íleo meconial, en la radiografía simple de abdomen, la mezcla de meconio con el gas intestinal da un aspecto moteado como pompas o burbujas de jabón.
En la literatura también aparece en singular, Signo de la burbuja de jabón, y como Signo de Neuhauser. Aunque clásicamente se refiere al íleo meconial, no es un signo específico, pudiendo aparecer también en la enfermedad de Hirschsprung, en la atresia ileal y en la enteritis necrotizante.