Tutorial de ecografía escrotal, ahora en app para Android, en español e inglés.
Este Tutorial ha recibido certificados de mérito tanto en la RSNA en 2011 como en el Congreso
Nacional de SERAM de 2012. Cuenta con el aval de la SERAM y con el de más de 360 usuarios que le han dado una nota de 8,85/10 (tesis doctoral de Pilar Márquez, dirigida por los Dres. F. Sendra y E. Navarro).
Puedes encontrarla en Play Store y en la app de tu iPhone. Busca “ecografía escrotal”.
Tutorial of scrotal ultrasound, an App for Android and iPhone smartphones and tablets.
SIGNOS DE ASCITIS EN CT
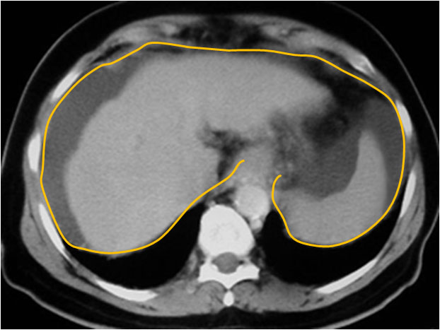
SIGNO DE LA INTERFASE NÍTIDA
Este es un signo que permite diferenciar ascitis de derrame pleural en la TC. Ya fue descrito en el apartado de Patología pleural. Cuando existe una interfase nítida entre líquido y el hígado o el bazo (flecha), se trata de ascitis; cuando la interfase no es nítida, se trata de derrame pleural.
SIGNO DEL ÁREA DESNUDA
Otro signo útil para distinguir entre ascitis y derrame pleural en TC. En la imagen del signo anterior vemos que el líquido ascítico no se acumula en la parte posteromedial del hígado (flecha). El líquido intraperitoneal no puede acumularse en esta zona debido a que el peritoneo se repliega sobre la cúpula hepática sin llegar a cubrir la parte posterior del hígado, es decir, que no hay cavidad peritoneal por detrás del hígado y, por tanto, la ascitis no puede ocupar este espacio.
En esta otra imagen vemos líquido en posición dorsomedial al hígado (flecha). Debe tratarse necesariamente de derrame pleural. Obsérvese como la interfase entre el hígado y el líquido no es nítida.
SIGNO DE LAS CRURAS
No se trata de un signo de ascitis, sino de un signo para diferenciar derrame pleural de ascitis en la TC. Cuando en la tomografía vemos que las cruras diafragmáticas están desplazadas lejos de la columna por líquido (flecha), éste está situado en la cavidad pleural.
El líquido intraabdominal, a diferencia del derrame pleural, se sitúa lateral y anterior a las cruras.
SIGNO DEL DIAFRAGMA
Cuando en la TC vemos líquido situado medial al diafragma (marcado en amarillo), es de localización intraperitoneal. Si se localiza por fuera, se trata de líquido pleural. Este signo no es válido cuando existe un derrame pleural en un hemitórax con un diafragma invertido, ya que entonces el derrame pleural se encuentra por dentro en vez de por fuera.
SIGNOS DE ASCITIS EN LA RADIOGRAFÍA DE ABDOMEN
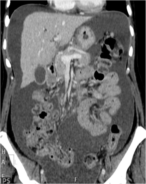
Esta imagen coronal de TC de abdomen nos puede ayudar a entender algunos de los signos de ascitis en la radiografía: el borramiento del ángulo inferior hepático, el ensanchamiento de la banda del flanco o la separación y disposición central de las asas de intestino delgado.
SIGNO DEL ÁNGULO HEPÁTICO
El ángulo infero-lateral del hígado es normalmente visible en la radiografía simple de abdomen gracias a la presencia de grasa properitoneal. El ángulo se borra por la presencia de líquido (ascitis) en esta localización, como vemos en la imagen.
Este signo tiene un valor limitado como indicador de la presencia de líquido intraperitoneal, ya que el ángulo hepático no se ve en más de un tercio de sujetos normales, especialmente en radiografías de escasa calidad técnica. Sin embargo, si la grasa extraperitoneal lateral al hígado se ve con claridad, debe verse también el ángulo hepático; de lo contrario, debe sospecharse la existencia de líquido intraperitoneal.
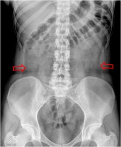
Normalmente en la radiografía simple de abdomen vemos una banda vertical poco densa (grasa del flanco) entre el colon ascendente o descendente y la pared abdominal. Cuando existe hemoperitoneo o ascitis, el líquido se introduce en este espacio, ensanchándolo y oscureciendo las haustras del colon y la línea peritoneal. En la imagen ampliada vemos la banda grasa del flanco estrechada y un aumento de la distancia desde esta línea hasta el colon.
Radiografía de abdomen normal que muestra las líneas grasas de los flancos (flechas).
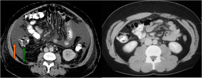
A la izquierda, corte de TC de abdomen con contraste oral e intravenoso que muestra abundante líquido ascítico, especialmente acumulado en los flancos. Obsérvese como el líquido (flecha naranja) desplaza medialmente el colon (flecha verde). A la derecha, un estudio normal para comparar.
SIGNO DE LA CRESTA ILÍACA
Cuando existe ascitis, el líquido aumenta la densidad del peritoneo en la radiografía simple de abdomen, cuya interfase con la grasa properitoneal produce una línea vertical radiotransparente sobre la cresta ilíaca.
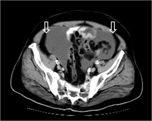
Corte de TC de pelvis con contraste oral e intravenoso que muestra abundante líquido libre abdominal. La presencia del líquido junto a la grasa properitoneal justifican la interfase –marcada con las flechas- en el signo de la cresta ilíaca.
SIGNO DE LAS OREJAS DE PERRO
En un paciente que presente líquido libre en la cavidad peritoneal, al adoptar la posición de decúbito supino, ésta desciende por efecto de la gravedad hacia las porciones más bajas de la pelvis, acumulándose en las reflexiones pélvicas del peritoneo. Al llenarse los recesos pélvicos laterales a ambos lados de la vejiga urinaria, se forma una imagen densa simétrica que recuerda las orejas de un perro.
Imagen coronal de TC en otro paciente con ascitis rellenando los recesos pélvicos (flechas) que justifican la imagen de la radiografía.
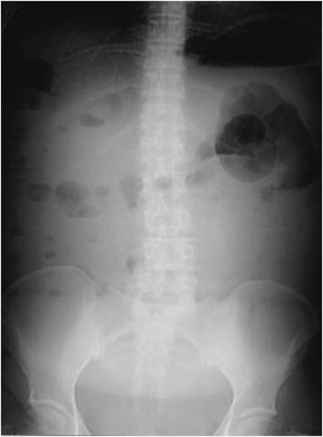
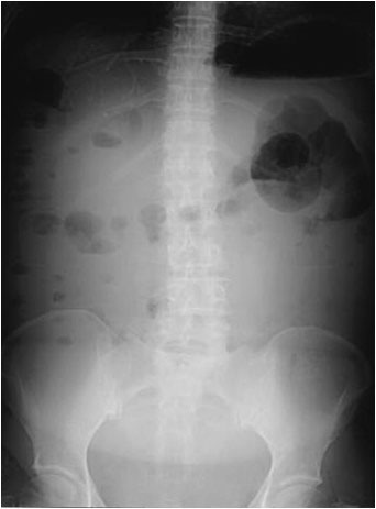
SIGNO DE LAS ASAS CENTRALIZADAS
Signo de ascitis en la radiografía simple de abdomen, justificado por la presencia de abundante líquido sobre el que flotan las asas intestinales. En la imagen se observa un aumento de densidad difuso (en “vidrio deslustrado”), y asas agrupadas en posición centroabdominal.
SIGNO DEL ABDOMEN EN VIDRIO DESLUSTRADO
Signo de ascitis masiva en la radiografía simple de abdomen. El signo consiste en el aumento de la densidad abdominal, la borrosidad de los contornos de los órganos intraabdominales y el borramiento de planos grasos, producidos como consecuencia de la presencia del líquido ascítico. El efecto recuerda a una imagen vista a través de un vidrio esmerilado.
Fotografía: imagen de Port Lligat desde la casa de Dalí. Los marcos de las ventanas están hechos con PowerPoint y el efecto esmerilado con Photoshop.



