SIGNO DE LUFTSICHEL
Signo de colapso del lóbulo superior izquierdo en la radiografía posteroanterior de tórax. Consiste en la hiperclaridad o lámina aérea alrededor del arco aórtico (flechas) producida por la hiperinsuflación del lóbulo inferior izquierdo, que asciende hasta el vértice pulmonar. El segmento 6 contacta con la parte posterior del botón aórtico, permitiendo que éste sea visualizado con gran nitidez.
El nombre del signo corresponde a los términos germanos luft (aire) y sichel (hoz).
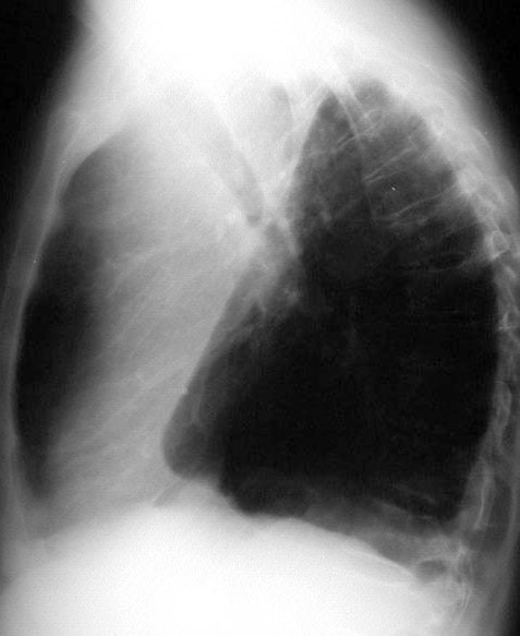
La proyección lateral confirma el colapso del lóbulo superior izquierdo, manifestado por el aumento de densidad anterosuperior, el desplazamiento anterior de la cisura mayor y la hiperinsuflación del lóbulo inferior.
Un par de referencias: Webber M and Davies P. The luftsichel: an old sign in upper lobe collapse. Clinical radiology 1981; 32: 271-275.
Blankenbaker, DG. The luftsichel sign. Radiology 1998; 208:319-320.
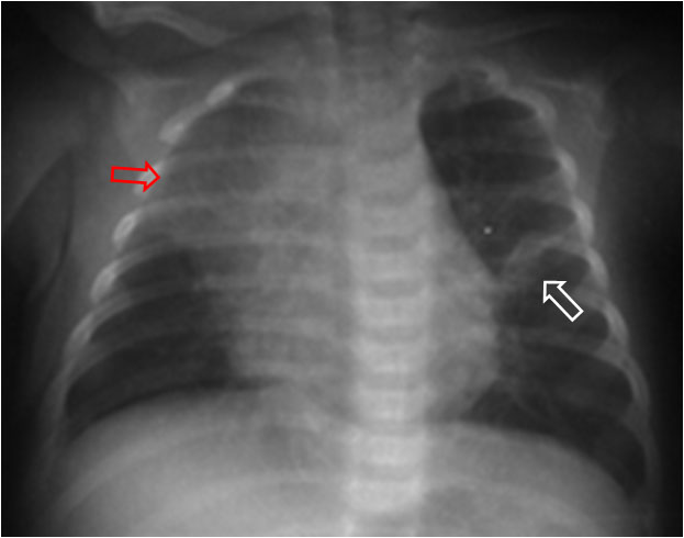
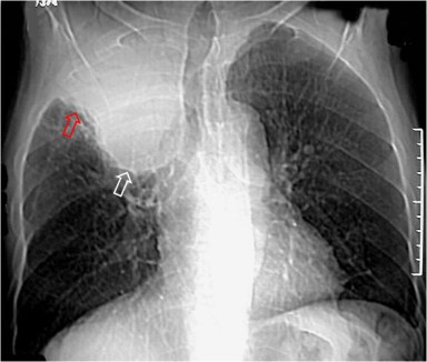
SIGNO DE LA S DE GOLDEN
Imagen en forma de «S» itálica que forma el margen cóncavo del lóbulo superior derecho colapsado (flecha roja) y el margen convexo de una masa hiliar derecha (flecha blanca) causante del colapso. En el colapso de otros lóbulos hay imágenes equivalentes a la «S» de Golden, pero no tan gráficas.
En la fotografía, tumor epidermoide hiliar derecho.
Más ejemplos en: http://radiopaedia.org/images/1436799 y http://radiologypics.com/2013/05/05/the-golden-s-sign-right-upper-lobe-collapse/
SIGNO DEL TALLE PLANO
En el colapso del lóbulo inferior izquierdo, la radiografía posteroanterior de tórax puede demostrar la desaparición de la convexidad del cono de la pulmonar al rotar el corazón ligeramente hacia una posición oblicua anterior derecha, lo que parece aplanar el contorno cardiomediastínico en el lado izquierdo (flat waist sign).
Aunque la fotografía no es óptima, existe un aumento de densidad retrocardiaco por el colapso del lóbulo inferior izquierdo.
Hay un buen ejemplo en http://chestatlas.com/gallery/v/Signs/Flat_waist_sign.jpg.html?g2_imageViewsIndex=1
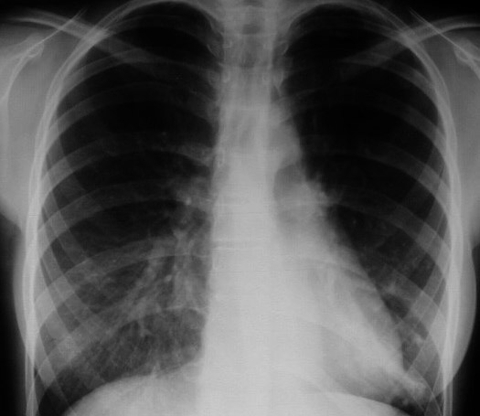
SIGNO DE LA CÚPULA DEL BOTÓN AÓRTICO
En el colapso del lóbulo inferior izquierdo, en la radiografía posteroanterior de tórax puede borrarse la parte alta del arco aórtico -flecha roja- al rotar ligeramente el corazón hacia una posición oblicua anterior derecha. El aumento de densidad retrocardiaco (flecha negra) se debe al lóbulo inferior izquierdo colapsado.
Resulta difícil la traducción en pocas palabras del nombre en inglés de este signo (top of the knob), tan conciso y sonoro.
SIGNO DEL TRIÁNGULO SUPERIOR
Signo de colapso del lóbulo medio derecho o del lóbulo inferior derecho que consiste en la presencia de una densidad triangular en la zona paramediastínica derecha (flecha roja) que corresponde a la zona de convergencia de las líneas pleuromediastínicas anteriores, desplazadas a la derecha por el colapso. El descenso de la posición de la cisura menor (flecha blanca) confirma la pérdida de volumen en el lóbulo medio, en este caso.
Otro ejemplo de este signo, en este caso por pérdida de volumen en el lóbulo inferior derecho. No es visible la cisura menor, pero puede observarse el descenso del hilio derecho.
SIGNO DEL PICO YUXTAFRÉNICO
Deformidad diafragmática (flecha) visible en la radiografía posteroanterior de tórax en el colapso del lóbulo superior derecho y, menos frecuentemente, del izquierdo. Probablemente es debido a que la pérdida de volumen tracciona del ligamento pulmonar inferior. También puede deberse, como en este caso, a una lesión residual en la base.
Ante la presencia de un pico yuxtafrénico hay que buscar otros signos de pérdida de volumen (desplazamiento de cisura, desplazamiento hiliar, signo del triángulo superior, etc).
Recomiendo este artículo de Kattan: The juxtaphrenic peak in upper lobe collapse. Radiology 1980; 134: 763-765.
SIGNO DE LA V o IMPACTACIÓN MUCOIDE
Signo visible en la radiografía de tórax que consiste en una imagen de aumento de densidad de morfología triangular o en «V» que apunta al hilio (flecha blanca). Corresponde a una pequeña atelectasia por tapón de moco y es frecuente verlo en niños con infecciones pulmonares víricas.
En la imagen vemos, además, un colapso del lóbulo superior derecho, de similar causa (flecha roja).
Signo descrito por el Dr. Félix Serrano Ramos y cols. Consiste en la hiperinsuflación de la base pulmonar que adopta una morfología en panal (flechas), cuyas celdillas representan lóbulos pulmonares secundarios hiperinsuflados por pérdida de volumen del lóbulo superior. Este hallazgo está en relación con la presencia de una cisura accesoria inferior.
Se ha descrito en pacientes con diferentes causas de pérdida de volumen: lobectomía superior, cambios fibróticos apicales por TBC o radioterapia, atelectasia obstructiiva por carcinoma, etc.
Otro ejemplo de este signo, con afectación en este caso de la base izquierda.
Paciente con nódulo en el lóbulo superior derecho (A). El estudio de TC en el momento del diagnóstico muestra una base pulmonar normal (B). Tras la lobectomía aparece una hiperinfuflación de la base pulmonar (C) alrededor de la cisura accesoria inferior, que es la imagen lineal que atraviesa la base pulmonar de adelante atrás. La última imagen (D) muestra la parte más inferior de la cisura accesoria, con un trayecto en arco que acaba en la pleura.
El Signo de la colmena se presentó en el Congreso de la SERAM de Zaragoza en 2006 como signo indirecto de pérdida de volumen en lóbulos superiores. Posteriormente se realizó un estudio retrospectivo que se presentó en el Congreso de 2008 (Sevilla) sobre su incidencia en pacientes a los que se había realizado una lobectomía superior, destacando su relación con la cisura accesoria inferior.
Puede consultarse el siguiente enlace: http://www.seram2008.com/modules.php?name=posters&d_op=diapositivas&file=diapositivas&idpaper=1262&forpubli=&idsection=2.
Agradecemos la cesión de las imágenes a los doctores Félix Serrano Ramos y Félix Serrano Puche.
No debe confundirse este Signo de la colmena con el patrón en panal de abeja de la fibrosis pulmonar.
SIGNO DE LA DOBLE LESIÓN
Término acuñado por Felson para indicar que a mayor separación entre dos lóbulos colapsados, menor es la probabilidad de que el carcinoma broncogénico sea la causa de ambos colapsos. Cuando los lóbulos colapsados están cada uno en un pulmón, la probabilidad es aún menor. Lógicamente hay causas de error: tumores sincrónicos, tumor causante de un colapso y causa distinta -tapón de moco, por ejemplo- para otro, etc.
En el ejemplo, presentamos una de las excepciones de este signo: una doble lesión causada por un carcinoma. La imagen de la tomografía convencional y el esquema ayudan a entender la radiografía:
En verde está marcada la vía aérea. Existe una interrupción del bronquio lobar superior (1) y del bronquio intermediario (2) con colapso segmentario en el lóbulo superior (en naranja) y en el lóbulo inferior (en amarillo). Existe una masa hiliar derecha que causa las interrupciones bronquiales y los colapsos (en gris). En azul se marcan las adenopatías paratraqueales.
SIGNO DE LA COLUMNA DESNUDA
En los colapsos importantes que afectan al pulmón izquierdo (tanto del lóbulo superior como del inferior), el desplazamiento mediastínico hacia la izquierda provoca que la parte inferior de la columna, normalmente oculta en la radiografía posteroanterior del tórax por el contorno cardiaco derecho, sea visible.
La imagen es la misma que la del signo de la cúpula del botón aórtico, pero se ha oscurecido para mostrar mejor la columna.
SIGNO DE LA COLA DE COMETA
Signo de atelectasia redonda en la TAC y la radiografía de tórax. Corresponde a la morfología de los vasos y los bronquios curvándose hacia la masa, creando aspecto de cola de cometa, tal como vemos en la base derecha.
La atelectasia redonda se ve con frecuencia en pacientes con exposición a asbestos. Se ha postulado que el origen está en la tracción que sobre el parénquima pulmonar hace la pleura visceral en la evolución de una pleuritis esclerosante.
El mismo corte de TC en ventana de mediastino, muestra placas pleurales calcificadas. El paciente tenía antecedentes de exposición a asbestos.
Más información en: The comet tail sign. Radiology 1999; 213: 553-554.
http://pubs.rsna.org/doi/full/10.1148/radiology.213.2.r99nv08553
SIGNO DEL BRONCOGRAMA LÍQUIDO
Signo de atelectasia obstructiva en ecografía y TC. Corresponde a la presencia de bronquios distendidos, rellenos de líquido, en pacientes con obstrucción endobronquial. En ecografía estos bronquios se ven como estructuras lineales, ramificadas, con contenido hipoecoico (flecha). Además, falta el broncograma aéreo, que debería estar presente en la atelectasia del pulmón no obstructiva.
Imagen de TC que muestra el signo del broncograma líquido (flecha).
