SIGNO DE LA HOJA DE GINKGO
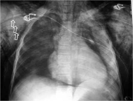
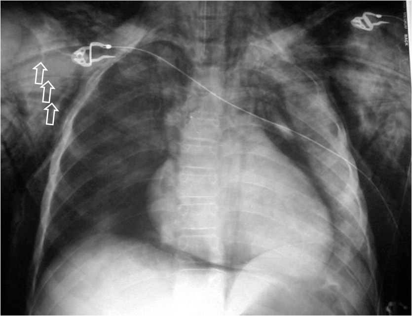
Signo de enfisema subcutáneo en la radiografía de tórax, que se ve como unas líneas radiolucentes que siguen la distribución de las fibras de los músculos pectorales mayores. En la imagen podemos verlo de forma bilateral (en la derecha se señalan con flechas). En esta misma radiografía pueden verse, además, signos de neumomediastino como el signo de la V de Naclerio y el signo de la V de las venas braquiocefálicas (ver el aparatado de Mediastino).
El nombre del signo viene dado por su parecido con las estriaciones que tienen las hojas de este curioso árbol. El Ginkbo biloba es el árbol más antiguo que existe, de forma que no tiene parientes cercanos en la clasificación taxonómica. Era conocida su existencia por restos fósiles y se pensaba que estaba extinguido. Un científico alemán en el siglo XVII lo encontró en Japón y lo trajo a Europa. En Japón es común encontrarlo en la proximidad de monasterios y era conocido por sus propiedades medicinales. Una curiosidad más es que un ejemplar de esta árbol situado a cerca de un kilómetro de donde cayó la bomba de Hiroshima, comenzó a rebrotar apenas un año después, por lo que allí es todo un símbolo de supervivencia y regeneración. Con esta breve historia no se nos olvida el valor de este signo.
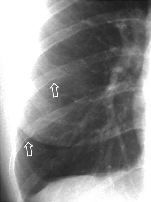
SIGNO EXTRAPLEURAL O SIGNO DE LA EMBARAZADA
Las lesiones extrapleurales tienen bordes nítidos en su interfase con el pulmón por estar delimitadas por la pleura; son convexas hacia el pulmón (flecha) y forman con éste ángulos obtusos en sus extremos superior e inferior. Por la morfología, a este signo también se le conoce como signo de la embarazada. La radiografía es de un paciente con un tumor fibroso pleural benigno.
SIGNO DEL BORDE INCOMPLETO
Otro signo que define a las lesiones extrapleurales es que presentan un margen visible (el que está en contacto con el pulmón adyacente) y un margen no visible (en contacto con la pared torácica). Por ello, el borde completo de la lesión no es del todo visible. En la imagen de la izquierda vemos una lesión extrapleural apical derecha correspondiente a un neurofibroma en un paciente con neurofibromatosis. A la derecha, un tumor fibroso pleural benigno en la base izquierda.
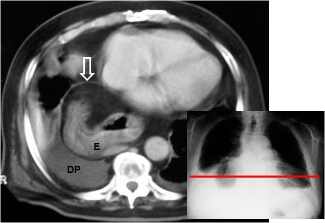
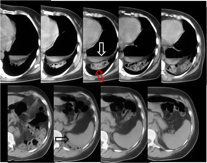
SIGNO DEL DIAFRAGMA AUSENTE
Signo de rotura diafragmática en TC, que consiste en la ausencia de un segmento del diafragma en uno o más cortes. La imágenes corresponden a un paciente con rotura traumática del hemidiafragma izquierdo. En la secuencia de cortes en la zona de transición toraco-abdominal no se ve el hemidiafragma izquierdo en ningún momento. Flecha roja: ángulo esplénico del colon herniado. Flecha blanca: estómago herniado con nivel hidroaéreo. Flecha verdenegra: bazo.
Otro ejemplo de diafragma ausente, esta vez en el lado derecho. Se trata de un paciente con traumatismo toracoabdominal. La radiografía de tórax muestra un cortorno alterado del hemidiafragma derecho. En la imagen puede verse parte del diafragma (línea marcada con la flecha blanca) en una posición anómala. Sin embargo, el diafragma no es visible entre el estómago herniado (E) y el derrame pleural derecho (DP).
SIGNO DE LOS BARROTES DE LA CELDA
Signo descrito en la radiografía posteroanterior del tórax en pacientes con metaplasia mieloide. La densa esclerosis de las costillas cruzando ambos hemitórax recuerda los barrotes de una celda. También puede presentarse en pacientes con anemia de células falciformes y otros cuadros que cursan con aumento de la densidad de la matriz ósea.
Esta imagen corresponde a un paciente con fluorosis y aumento de la densidad ósea, no sólo en las costillas, sino de forma difusa en el esqueleto, como puede verse en las radiografías de columna lumbar.
SIGNO DEL GARFIO COSTAL
La presencia de una o más costillas con una incurvación anómala en forma de garfio en el sitio de una fractura refleja una rotación de la costilla solo posible si existe otro punto de fractura de dicha costilla, aunque no sea visible en la radiografía. El reconocimiento de este signo es importante, especialmente cuando afecta a dos o más costillas (volet costal), ya que la mortalidad de este tipo de lesiones es de hasta el 35 % y puede reducirse si se toman medidas terapéuticas precoces.
Puedes encontrar más información en: The costal hook: an indicator of occult flail segment in chest trauma. European journal of radiology 1991; 13: 69-71.
SIGNO DE LAS MUESCAS COSTALES O SIGNO DE ROESLER
La presencia de muescas o erosiones óseas en el borde inferior de las costillas 3ª a 9ª en la radiografía anteroposterior de tórax se ha descrito como un signo característico de coartación aórtica. En esta entidad se produce una circulación colateral con dilatación de las arterias intercostales, cuya flujo pulsátil va provocando estas erosiones. No es un signo específico ya que se ha descrito en otras causas de aumento de tamaño de otros componentes del paquete vasculonervioso intercostal, como ocurre en la neurofibromatosis o en la dilatación venosa en el síndrome de vena cava superior.
SIGNO DE LA SILUETA DEL CATÉTER
Signo útil para identificar la posición de un catéter de drenaje pleural en la radiografía anteroposterior de tórax. Es, en realidad, una variante del signo de la silueta.
A veces, la situación anómala de un catéter mal colocado puede pasar desapercibida en la radiografía. Si el catéter está en la cavidad pleural, rodeado de aire libre o de pulmón bien ventilado, tendrá unos márgenes bien definidos. Pero si el tubo está en las partes blandas de la pared torácica, la densidad similar de los tejidos blandos y del plástico de tubo hace que las paredes de éste no sean visibles.
En la imagen, margen nítido del catéter bien colocado (flechas).
Esquema que muestra un catéter situado en el espacio pleural en un paciente con neumotórax (izquierda) y en los tejidos blandos de la pared torácica (derecha). En el primer caso el catéter se dibuja con nitidez; en el segundo, se pierde su contorno por el contacto con los tejidos blandos.
SIGNO DEL ROSARIO COSTAL
Signo de raquitismo en la radiografía de tórax, consistente en el ensanchamiento del extremo distal de los arcos costales (flechas), junto a las articulaciones costocondrales. Por fortuna, este signo es cada vez menos frecuente.
Proyección lateral que muestra las nodulaciones costales.
Más imágenes en estos enlaces: http://radiopaedia.org/articles/rachitic-rosary
http://www.healthimaginghub.com/education/radiology-teaching-files/452-rickets.html










