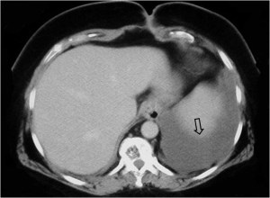
SIGNO DE LA INTERFASE

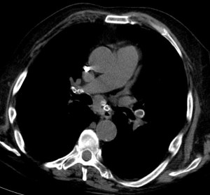
Este signo nos permite diferenciar entre derrame pleural y ascitis en un estudio de TC. Cuando existe una interfase nítida entre líquido y el hígado o el bazo, se trata de ascitis; cuando la interfase no es nítida, se trata de derrame pleural (flecha). El derrame pleural ocupa una posición más posterior y medial, mientras que la ascitis se localiza anterior y lateral al hígado y al bazo.

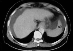
Esta segunda imagen corresponde a ascitis. Observa como la interfase entre el bazo y el líquido (flecha) es más nítida que en la imagen anterior. También lo es la interfase entre el hígado y el líquido.
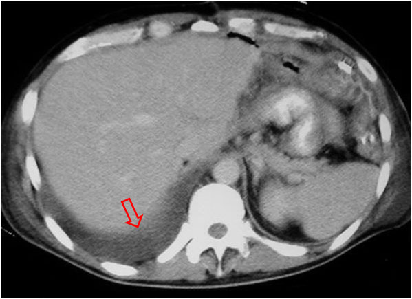
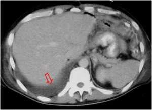
SIGNO DEL ÁREA DESNUDA
Cuando en la TC vemos líquido en situación dorsal al hígado (flecha), éste se encuentra en la cavidad pleural, ya que el líquido intraperitoneal no puede acumularse en esta zona debido a que el peritoneo se repliega sobre la cúpula hepática sin llegar a cubrir la parte posterior del hígado, es decir, que no hay cavidad peritoneal por detrás del hígado y, por tanto, la ascitis no puede ocupar este espacio.
En esta imagen también está presente, lógicamente, el Signo de la interfase.
En la imagen correspondiente a ascitis que presentamos en el signo anterior, observa cómo se respeta la zona posteromedial del hígado.
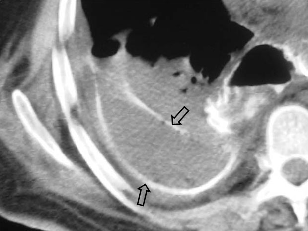
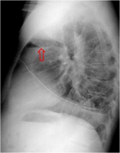
SIGNO DE LAS CRURAS O DEL PILAR DIAFRAGMÁTICO DESPLAZADO

Cuando en la TC vemos que las cruras diafragmáticas están desplazadas lejos de la columna por líquido, éste está situado en la cavidad pleural (flecha). El líquido intraabdominal, a diferencia del derrame pleural, se sitúa lateral y anterior a las cruras.
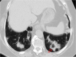
SIGNO DE LA PLEURA DESPEGADA o DIVISIÓN PLEURAL

Es un signo de empiema en la TC de tórax con contraste intravenoso. El signo consiste en el despegamiento de ambas hojas pleurales, que muestran un engrosamiento liso difuso y un realce con la administración de contraste. La imagen muestra la pleura visceral (flecha superior) y la pleura parietal (flecha inferior) despegadas. Ambas hojas se unen en los márgenes de la colección.

Otro ejemplo de este signo. El empiema muestra el despegamiento de las hojas pleurales visceral y parietal (flechas negras). Además, puede verse gas dentro del empiema (flecha blanca) y pulmón colapsado adyacente a la colección (flecha roja).
Para completar la información, recomiento este artículo clásico de Kuhlman y Singha: Complex disease of the pleural space: radiographic and CT evaluation. Radiographics, 1997; 17: 63-79.
En la Revista Argentina de Radiología, el signo aparece con el nombre de Signo de la división pleural: Gabriela Cristina Reinoso, RAR 2013 | Vol. 77 | Nro. 2.
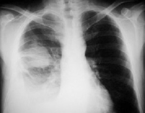
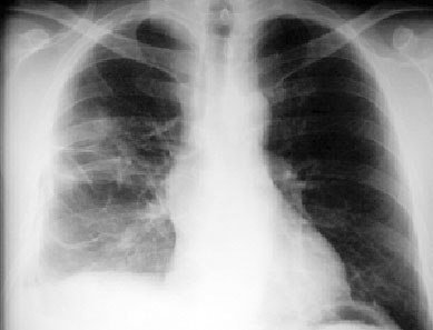
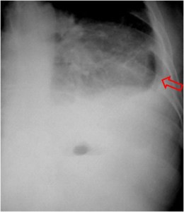
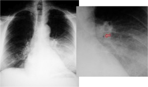
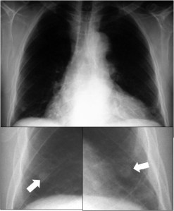
SIGNO DEL TUMOR FANTASMA O TUMOR EVANESCENTE


Signo que describe al derrame pleural atrapado en la cisura menor, especialmente en pacientes con insuficiencia cardiaca. El derrame loculado en la proyección posteroanterior se ve como una lesión nodular o masa que simula un tumor sólido (imagen superior). Sin embargo, la evolución rápida hacia la desaparición de esta lesión sugiere que se trata de derrame.
Vemos en las imágenes un tumor fantasma que desaparece en el control realizado cinco días más tarde.
En la primera imagen, la presencia de derrame pleural asociado y el engrosamiento del resto de la cisura menor, visible como una línea superpuesta al tumor fantasma, sugieren el diagnóstico.
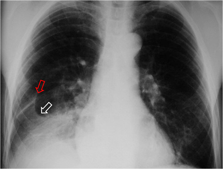
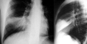
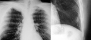
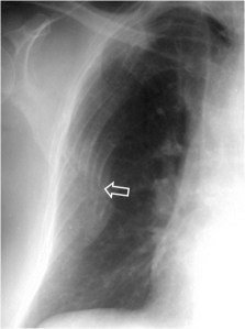
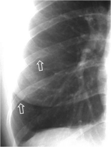
SIGNO DE LA CISURA INCOMPLETA, DE LA PSEUDOCAVIDAD O SIGNO DE LA ESPINA DE ROSA

Es un signo de derrame pleural en la cisura mayor visible en la radiografía de tórax, en un paciente con cisura mayor incompleta. Es más frecuente verlo en el lado derecho ya que en el izquierdo la silueta cardiaca puede ocultarlo.
La presencia de una zona radiotransparente perihiliar, circunscrita lateralmente por una línea curva bien marcada (flecha blanca), en cuya periferia se observan varios grados de opacidad, corresponde a la presencia de líquido en la cisura mayor incompleta. La línea curva termina en un extremo en punta (flecha roja), que estará más cercana al hilio cuanto más completa sea la cisura.
El nombre de pseudocavidad hace referencia a la radiolucencia perihiliar, mientras que el de espina de la rosa se refiere a la morfología de la opacidad, con el extremo en punta.
Para saber más puedes consultar el artículo The incomplete fissure sign (Lubner en Radiology, mayo 2008) en: http://pubs.rsna.org/doi/full/10.1148/radiol.2472050864
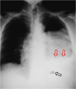
SIGNO DE LA BURBUJA DE AIRE

Cuando existe una aparente elevación del hemidiafragma izquierdo pero la burbuja gástrica permanece en su sitio, con el consiguiente aumento de distancia entre la burbuja gástrica y el aparente diafragma, hay que sospechar derrame subpulmonar y no elevación real del hemidiafragma. La fotografía muestra el signo; la flecha negra señala la burbuja gástrica; las flechas rojas marcan el aparente diafragma.

La imagen localizada permite ver mejor, además, el pinzamiento del seno costofrénico izquierdo por el derrame (flecha).
SIGNO DE LA DOBLE CISURA

Artefacto en la TC de tórax provocado por la respiración o movimiento del paciente: las cisuras mayores derecha e izquierda se ven dobles en el mismo corte (flechas rojas). También se ve un doble contorno cardíaco (flecha blanca) y dobles calcificaciones de la raíz aórtica (flecha azul).
Este artefacto se ve cada vez menos ya que los actuales equipos de TC tienen tiempos de adquisición muy cortos. Sin embargo, puede verse en pacientes con disnea o no colaboradores.
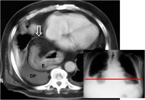
SIGNO DE LA AUSENCIA DE PARED SUPERIOR


Cuando en una radiografía de tórax se ve un nivel hidraéreo hay que establecer la diferencia entre intrapulmonar (absceso, quiste, tumor cavitado) o extrapulmonar (derrame encapsulado, empiema). La ausencia de la pared superior de una colección intratorácica con nivel hidroaéreo, en al menos una de las dos proyecciones de tórax, es un signo que permite diferenciar el encapsulado pleural de cavidades de localización intrapulmonar.
En las imágenes vemos un nivel hidroaéreo en hemitórax derecho (flechas rojas) sin que sea visible la pared de la cavidad. Se trata por tanto de una colección extrapulmonar.


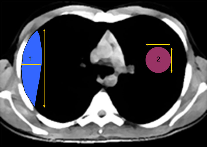
Estos esquemas permiten entender el significado del signo. Las colecciones intrapulmonares (izquierda) suelen tener una morfología redondeada, ya que están rodeadas por entero de pulmón y la resistencia de este al crecimiento de la colección es igual en todos sus puntos. Por ello, en las dos proyecciones los bordes superiores de la cavidad -delimitados por el aire que contiene la misma- son perpendiculares a la incidencia del rayo, y por tanto son visibles.
Las colecciones extrapulmonares (derecha) tienen a crecer limitadas por la pleura, que ofrece resistencia al crecimiento de la colección. Así, estas colecciones tienen una forma alargada (en «huso») a lo largo del espacio extrapulmonar. Por ello, en al menos una de las proyecciones, los bordes de la cavidad no son perperdiculares a la incidencia del rayo, y por tanto no son visibles. Como muestra el esquema, las colecciones posteriores (y también las anteriores, se ven bien en la proyección lateral y falta la pared superior en la proyección PA. Con las colecciones laterales ocurre lo contrario.
Recomiendo este artículo de F. Serrano en Radiología: Encapsulado pleural costal con nivel hidroaéreo. Signos de ayuda en el diagnóstico diferencial. Radiología 1979; 21:443-448.
SIGNO DE DISCORDANCIA DEL NIVEL HIDROAÉREO


La diferente densidad y longitud del nivel hidroaéreo de una colección intratorácica en las proyecciones PA y L de tórax , es un signo de derrame encapsulado pleural, que permite diferenciarlo de cavidades de localización intrapulmonar (absceso, quiste, tumor cavitado, etc.). Cuando el encapsulado es de localización posterior o anterior, en la proyección PA el nivel aparece largo y de baja densidad radiológica, mientras que en la lateral el nivel es corto y más denso. Los mismos hallazgos, aunque a la inversa, ocurren cuando el encapsulado es de localización lateral o medial.

Esquema de crecimiento de las colecciones extrapulmoanres (1) frente a las intrapulmonares (2). La morfología de las primeras justifica la diferencia de tamaño de un nivel hidroaéreo –cuando lo hay-. En cambio, en los abscesos y otras lesiones intrapulmonares, el nivel hidroaéreo tiene una longitud similar en las dos proyecciones.
(Las causas de la presencia de aire en un derrame encapsulado son: la fístula broncopleural, la introducción del aire tras la aspiración del líquido pleural, la infección por gérmenes productores de gas y el traumatismo espontáneo o quirúrgico).
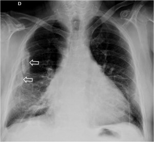
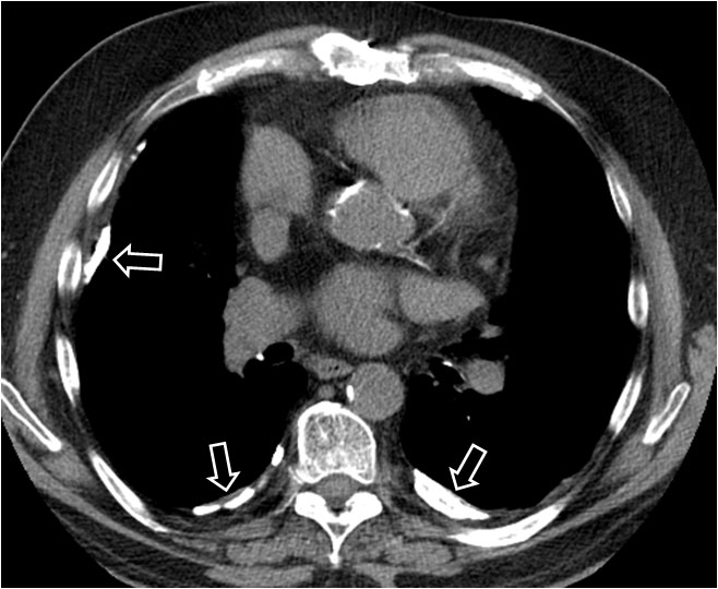
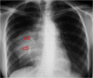
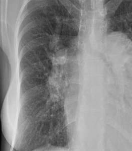
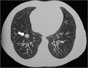
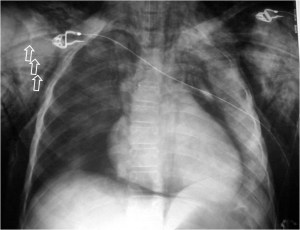
SIGNO DE LA HOJA DE ACEBO

Signo visible en la radiografía de tórax, que corresponde a placas pleurales calcificadas. Aunque las placas pleurales son amorfas o irregulares, su forma se ha comparado a la hoja del acebo (holly leaf sign). Se trata de calcificaciones bien definidas, de borde geográfico, que se localizan más frecuentemente en las porciones posterolaterales de los campos medios pulmonares. Pueden confundirse con patología parenquimatosa. La clave para identificarlas es reconocer la calcificación que no sigue el recorrido de las costillas ni la distribución broncovascular.

La imagen de TC muestra varias placas pleurales calcificads (flechas) en el mismo paciente de la radiografía.
Se encuentra un ejemplo en http://radiologysigns.tumblr.com/post/38705151739/holly-leaf-sign.