VESÍCULA Y VÍA BILIAR

SIGNO DEL DOBLE ARCOdoble arcoSigno ecográfico de colelitiasis. Consiste en la visualización de dos líneas arqueadas paralelas ecogénicas entre las que queda un espacio anecoico; existe sombra acústica distal. El arco periférico corresponde a la pared vesicular (flecha blanca) mientras que el segundo arco pertenece al borde del cálculo (flecha roja). El espacio anecoico que queda entre ambos corresponde a la luz vesicular.

 

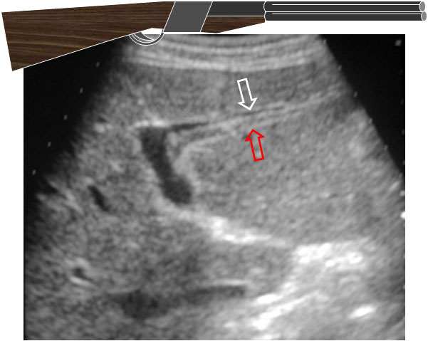
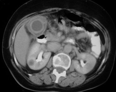
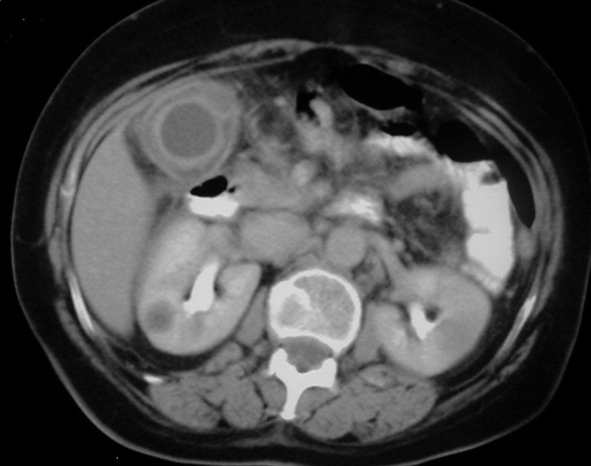
SIGNO DE LA ESCOPETA o CANAL PARALELOescopeta1Signo clásico en ecografía de dilatación de la vía biliar intrahepática. Un conducto biliar dilatado –flecha roja- corre paralelo a la rama portal acompañante –flecha blanca-, con calibre similar, dando una imagen de escopeta de doble cañón.escopeta2Corte axial de TC de abdomen del mismo paciente, que muestra dilatación biliar intrahepática donde puede verse una imagen similar al signo ecográfico (círculo).escopeta3Un corte más caudal muestra una masa en la cabeza del páncreas (flechas rojas) causante de la dilatación biliar (flecha blanca).

Un artículo de referncia: Weill, F y cols. Ultrasound study of the normal and dilated biliary tree. The «shotgun» sign. Radiology 1978; 127: 221-224.

 

SIGNO DE MERCEDES BENZ o SIGNO DE LA ESTRELLAmercedes benzLa presencia de gas en pequeñas fisuras en el interior de litiasis biliares recuerda la célebre estrella de la firma alemana de automóviles. Este signo, poco frecuente, es visible tanto en la radiografía simple de abdomen como en la TC.mercedes benz2Existe también un Signo del Mercedes Benz invertido, en el que la estrella está formada por depósitos cálcicos lineales, es decir que los brazos de la estrella son radioopacos.

 

SIGNO DEL PSEUDOCÁLCULOpseudocalculoSigno visible en la colangiografía que consiste en la terminación brusca de borde convexo que simula un defecto de repleción por un cálculo en el colédoco distal. Está producido por una contractura fisiológica transitoria de las fibras musculares del segmento distal del colédoco. No es un defecto de repleción y, por tanto, no debe verse el borde inferior -distal- del aparente «defecto de repleción», que sí es visible en los defectos por coledocolitiasis.

La importancia de reconocer este hallazgo estriba en evitar una cirugía innecesaria.

Referencia: Polya Samandar, MD. The pseudocalculus sign. Radiology 2002; 223:239-240.

 

SIGNO DE MURPHY ECOGRÁFICOmurphyEn pacientes con sospecha de colecistitis, la presencia de dolor a la presión del transductor del ecógrafo sobre la vesícula biliar es un signo muy específico. La diferencia con respecto al signo de Murphy clínico es que el ecografista ve la vesícula y comprueba que es ésta la causa del dolor.

 

SIGNO DE LA TRIPLE PAREDtriple paredEl edema de la pared vesicular produce, además de un engrosamiento de ésta, una imagen de triple pared, es decir, de tres capas visibles en ecografía (hiperecoica, hipoecogénica, e hiperecogénica) y en TC (hiperdensa, hipodensa, hiperdensa). Este hallazgo no es específico ya que, además de verse en las colecistitis, puede verse en pacientes con ascitis, hepatitis, etc.triple pared2Otro paciente con colecistitis en el que se aprecian claramente las tres capas de la pared vesicular.

 

SIGNO WESwesLas letras de «WES» corresponden a wall echo shadow. Signo ecografíco visto en la fosa vesicular en el que pueden verse dos líneas curvas paralelas ecogénicas separadas por un delgado espacio hipoecoico, con sombra acústica distal a la línea más profunda. Corresponde a una vesícula llena por litiasis única o por múltiples litiasis, en cuyo caso la línea ecogénica interna no es lisa. Equivale al conocido patrón II de colelitiasis y hay que hacer diagnóstico diferencial con la vesícula de porcelana y con la imagen producida por un asa interpuesta.

Un artículo de referencia es: Rybicki, FJ. The WES sign. Radiology 2000; 214:881-882.

 

SIGNO DEL PUNTO CENTRAL

Signo visible en diferentes técnicas (ecografía, TC y RM) en pacientes con enfermedad de Caroli. En esta enfermedad aparecen múltiples cálculos intrahepáticos y dilatación segmentaria de la vía biliar intrahepática, que se presenta como imágenes saculares, pseudoquísticas, que presentan un punto central. Estos puntos corresponden a venas portales rodeadas de ductos biliares intrahepáticos dilatados.

No disponemos de ninguna imagen de este signo, pero puede verse un buen ejemplo en Radiology asssistant:

http://www.radiologyassistant.nl/en/p49e17de25294d/biliary-ducts-pathology.html.

Otra referencia es el artículo de Choi en Radiology: «Caroli disease: central dot sign in CT». Radiology 1990; 174: 161–163.