Tutorial de ecografía escrotal, ahora en app para Android, en español e inglés.
Este Tutorial ha recibido certificados de mérito tanto en la RSNA en 2011 como en el Congreso
Nacional de SERAM de 2012. Cuenta con el aval de la SERAM y con el de más de 360 usuarios que le han dado una nota de 8,85/10 (tesis doctoral de Pilar Márquez, dirigida por los Dres. F. Sendra y E. Navarro).
Puedes encontrarla en Play Store y en la app de tu iPhone. Busca “ecografía escrotal”.
Tutorial of scrotal ultrasound, an App for Android and iPhone smartphones and tablets.
SIGNO DE LA CONVERGENCIA HILIAR
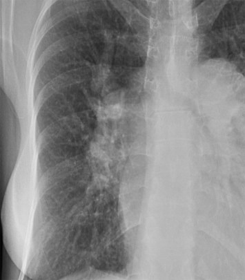
Signo visible en la radiografía de tórax que permite la diferenciación entre crecimiento hiliar causado por aumento del tamaño de los vasos del originado por una masa mediastínica yuxtahiliar. La convergencia de las imágenes vasculares hacia el hilio aumentado indica que éste corresponde a la arteria pulmonar aumentada de tamaño. En la imagen vemos un aumento de tamaño vascular del hilio derecho. Los vasos convergen hacia la arteria pulmonar.
Si los vasos no se dirigen hacia la lesión, el hallazgo sugiere que ésta se trata de una masa mediastínica (signo de la convergencia hiliar negativo).
SIGNO DEL HILIO TAPADO u OCULTACIÓN HILIAR
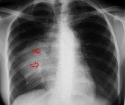
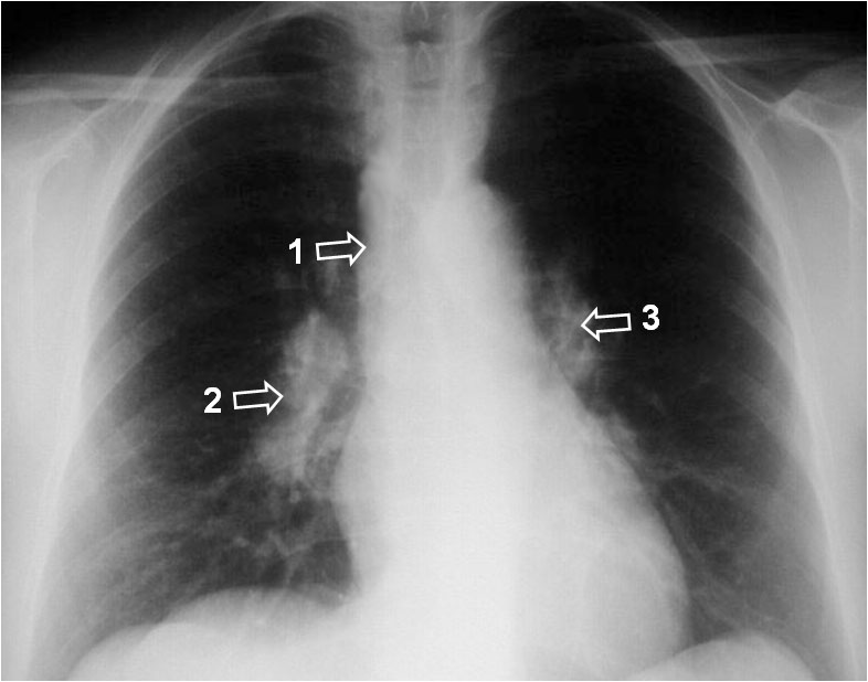
Signo visible en la radiografía posteroanterior de tórax que permite reconocer si una masa es hiliar o mediastínica. Cuando la masa es hiliar está en contacto con la arteria pulmonar y la borra. En cambio, cuando vemos la masa superpuesta a la arteria pulmonar (flechas) sin borrarla, entonces la lesión no es hiliar, sino que se sitúa anterior (más comúnmente) o posterior al hilio. La imagen corresponde a una paciente con un linfoma, es decir,una masa mediastínica anterior.
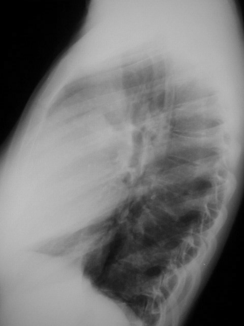
La radiografía lateral de tórax confirma la localización anterior de la lesión.
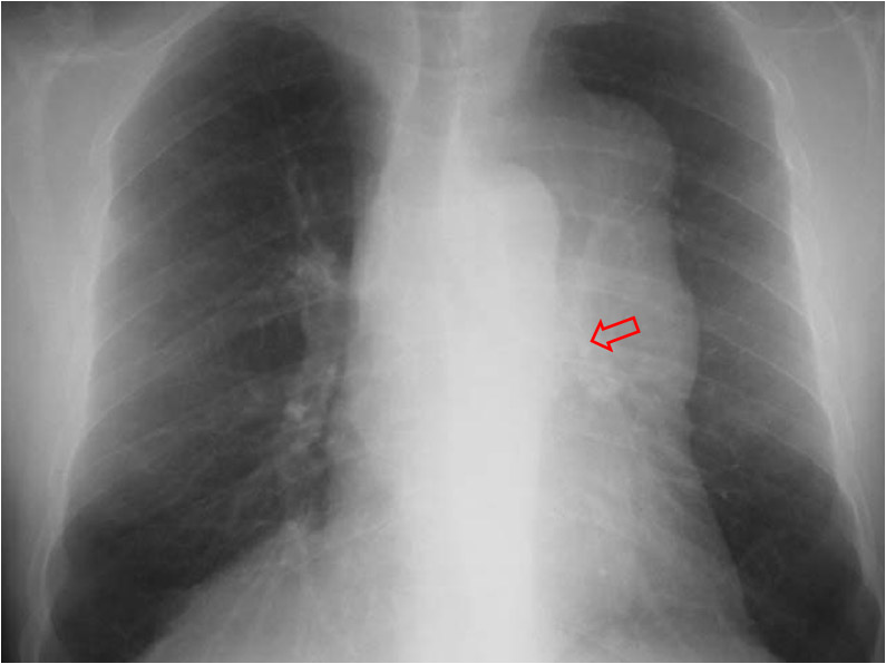
Otro ejemplo del signo del hilio tapado, esta vez correspondiente a un carcinoma tímico superpuesto al hilio izquierdo (flecha).
SIGNO DEL DONUTS
Signo visible en la radiografía lateral de tórax y que corresponde a la presencia de adenopatías subcarinales. La imagen de donuts corresponde a un anillo radiodenso que rodea por completo la luz bronquial.
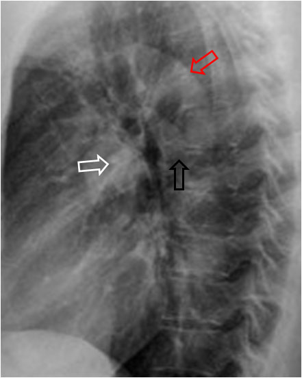
En la radiografía lateral normal del tórax, la luz del bronquio izquierdo está rodeada por una densidad en forma de herradura. por delante se sitúa el hilio derecho (imagen inferior, flecha blanca), por encima el cayado aórtico (flecha roja), y por detrás está el hilio izquierdo (flecha negra). Esta densidad en herradura está abierta por debajo.
Las adenopatías hiliares se ven como un aumento de tamaño y densidad de los hilios, tanto en la proyección posteroanterior como en la lateral. Las adenopatías subcarinales se ven en la proyección lateral con el signo del donuts.
SIGNO UN-DOS-TRES, SIGNO DE PAWNBROKERS O TRIADA DE GARLAND
La presencia de adenopatías en el espacio paratraqueal derecho (uno) y en ambos hilios (dos-tres) se ha descrito como un signo característico de la afectación ganglionar por sarcoidosis, visible hasta en un 85 % de pacientes en estadio I. Además, estas adenopatías se diferencian de las del linfoma por estar más separadas de la silueta cardiomediastínica (como se ve en la imagen, especialmente en el lado derecho) ya que son adenopatías bronquiales, mientras que las del linfoma son propiamente hiliares y están unidas a la silueta cardiomediastínica.
SIGNO DE LA CÁSCARA DE HUEVO
Las adenopatías hiliares con calcificación periférica en «cáscara de huevo» se han descrito en la silicosis pero no es específico. Este patrón de calcificación también puede verse en la sarcoidosis, tuberculosis, neumoconiosis de los trabajadores de carbón y, raramente, en el linfoma tratado con radioterapia y en la amiloidosis.








