Tutorial de ecografía escrotal, ahora en app para Android, en español e inglés.
Este Tutorial ha recibido certificados de mérito tanto en la RSNA en 2011 como en el Congreso
Nacional de SERAM de 2012. Cuenta con el aval de la SERAM y con el de más de 360 usuarios que le han dado una nota de 8,85/10 (tesis doctoral de Pilar Márquez, dirigida por los Dres. F. Sendra y E. Navarro).
Puedes encontrarla en Play Store y en la app de tu iPhone. Busca “ecografía escrotal”.
Tutorial of scrotal ultrasound, an App for Android and iPhones smartphones and tablets.
SIGNO DE LA DOBLE PARED O SIGNO DE RIGLER
En la radiografía simple de abdomen, la presencia de aire a ambos lados de la pared gástrica o intestinal, indica la existencia de neumoperitoneo.
La detección de este signo es importante en pacientes que, por su estado, no pueden adoptar la posición erecta o el decúbito lateral. Se ha descrito una imagen similar cuando se yuxtaponen dos asas intestinales distendidas, en pacientes sin neumoperitoneo.
Este signo puede verse también en la radiografía de tórax (1), en la TC (2), y en la placa de abdomen en decúbito supino con rayo horizontal (3) aunque, en general, se requieren cantidades mayores de neumoperitoneo para su demostración.
Un texto de referencia: Ly, JQ. The Rigler Sign. Radiology 2003; 228: 706-707.
http://pubs.rsna.org/doi/full/10.1148/radiol.2283020302.
SIGNO DEL TRIÁNGULO
Signo de neumoperitoneo en la radiografía simple de abdomen. El aire, cuando se acumula entre tres asas o entre dos asas y el peritoneo, se presenta como un triángulo de baja densidad.
En la imagen se observa un triángulo -flecha- en un paciente con perforación intestinal.
SIGNO DEL LIGAMENTO FALCIFORME
En la radiografía simple de abdomen, en presencia de neumoperitoneo abundante, el gas rodea al ligamento falciforme por ambos lados o lo delimita por uno, de forma que el ligamento aparece como una línea superpuesta a la parte medial del hígado, paralela a la columna (flechas).
La imagen de TC muestra el recorrido del ligamento (flecha), delimitado por el abundante neumoperitoneo.
SIGNO DEL LIGAMENTO TERES
La demostración del segmento extrahepático del ligamento teres en la radiografía simple de abdomen, es un signo de neumoperitoneo moderado o masivo. El ligamento se ve como una banda con densidad de partes blandas que cruza el cuadrante superior derecho desde el borde inferior hepático hasta la región umbilical (flechas). Otras veces sólo es visible el margen inferolateral y, en vez de una banda, se ve una interfase bien delimitada.
Localización del ligamento teres (flecha), visible por la presencia de neumoperitoneo. Es visible también el Signo de Rigler.
Signo de neumoperitoneo en la radiografía simple de abdomen, presente cuando el aire se sitúa rodeando la vesícula. Las imágenes corresponden a una radiografía simple de abdomen y a una fotografía localizada en hipocondrio derecho mostrando la vesícula en un paciente con neumoperitoneo.
Otro ejemplo de este signo (flecha).
Referencia: Radin, R y cols. The visible gallbladder: a plain film sign of pneumoperitoneum. AJR 1996; 167: 69-70.
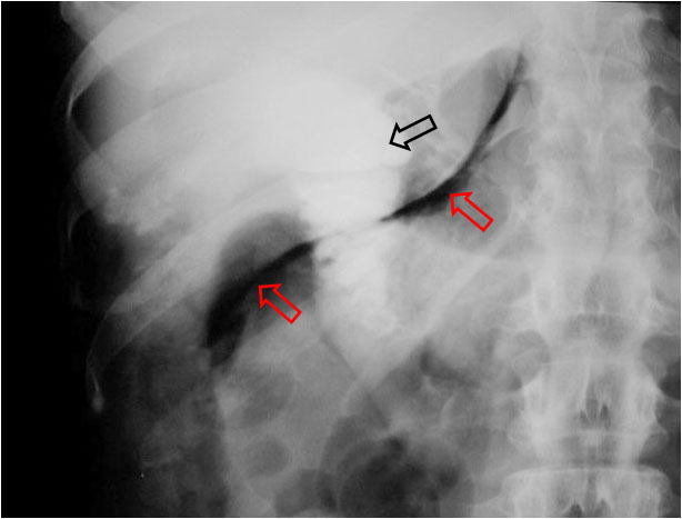
SIGNO DEL CUADRANTE SUPERIOR DERECHO
Signo de neumoperitoneo en la radiografía simple de abdomen. Se aprecia una colección aérea lineal (como la que marcan las flechas rojas en la imagen) o triangular que se dispone de inferolateral a superomedial. Si es triangular, la colección aérea presenta una morfología cóncava superolateralmente (ver Signo del Duce). Se cree que las colecciones lineales representan gas en el espacio subhepático derecho mientras que las triangulares reflejan la presencia de gas a nivel del receso posterior del espacio subhepático (saco de Morison).
La imagen corresponde a una perforación duodenal en el transcurso de una CPRE con papilotomía, de ahí la presencia de contraste en la vía biliar y en el duodeno (flecha negra).
SIGNO DEL SOMBRERO DEL DUX
Signo de neumoperitoneo en el espacio de Morison en la radiografía simple de abdomen (flechas). Su forma triangular recuerda al tocado del Dux de Venecia (a la derecha).
En alguna referencia aparece este hallazgo como signo del Duce. En realidad, el término Duce es una voz del italiano moderno derivada del latín Dux, ducis, que se traduce por “caudillo” (así se llamó a Mussolini). En realidad, no es un denominación apropiada ya que esta voz no existía en la época de la República de Venecia y Génova, en la que, para designar al primer magistrado de la ciudad –al que hace referencia el gorro o tocado-, se empleaba la palabra Dux, Doge o Dogo.
En la siguiente dirección encontrarás el famosos cuadro del retrato del Duz Leonardo Loredan, de Bellini, magníficamente descrito. http://www.artehistoria.com/v2/obras/5243.htm.
SIGNO DEL HÍGADO CLARO
Signo de neumoperitoneo en la radiografía simple de abdomen, descrito en neonatos. El acúmulo de aire intraperitoneal entre la cara anterior del hígado y el peritoneo puede observarse como una zona radiotransparente homogénea (flecha) o no. Debe confirmarse con una placa en bipedestación o en decúbito lateral izquierdo con rayo horizontal.
En la imagen vemos un neonato con enfermedad de la membrana hialina y neumoperitoneo masivo. La sonda nasogástrica está en la cavidad abdominal (flecha azul), por lo que el neumoperitoneo pudo ser debido a perforación gástrica yatrógena.
En esta otra imagen vemos un ejemplo de este signo en un adulto, en una placa de tórax. Para estar presente este signo se precisa un neumoperitoneo muy abundante.
SIGNO DEL DIAFRAGMA CONTINUO
La presencia de gas libre por debajo del diafragma permite delinear el músculo en toda su extensión. No debe confundirse este signo con el Signo del diafragma continuo en el neumomediastino o en el neumopericardio. En el neumoperitoneo se ve el contorno inferior del diafragma. En el neumomediastino y el neumopericardio se ve el margen superior.
Una página que muestra los signos del diafragma continuo en el neumomediastino y en el neumoperitoneo: http://onradiology.blogspot.com.es/2011/03/continuous-diaphragm-sign-of.html.
En este enlace puedes visitar un interesante blog de un residente de Málaga: http://radiodiagnosticando.com/2014/09/30/neumoperitoneo-vs-chilaiditis/.
SIGNO DE LAS ALAS DE GAVIOTA
A la imagen de aire libre infradiafragmático visto en la radiografía posteroanterior de tórax se ha llamado Signo de las alas de gaviota.
SIGNO DE LA CÚPULA
Signo de neumoperitoneo en la radiografía simple de abdomen. Por debajo del tendón central del diafragma, en el espacio subfrénico medio, el neumoperitoneo puede adoptar una morfología arciforme, con un margen superior nítido (el diafragma, señalado con flechas en la imagen).
El artículo de Geoffrey B. Marshall: The cupola sign, en Radiology, pueden encontralo en el siguiente enlace: http://pubs.rsna.org/doi/pdf/10.1148/radiol.2412040700.
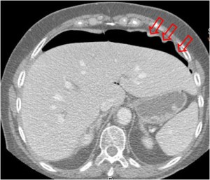
SIGNO DE LAS INSERCIONES DIAFRAGMÁTICAS
Signo de neumoperitoneo en la radiografía simple de abdomen, aunque también puede verse en la de tórax, como en este caso. El gas extraluminal dibuja las inserciones diafragmáticas derechas como dos o tres líneas curvas con densidad de partes blandas, cuyos extremos superomediales se unen en la zona del tendón central del diafragma.
A la izquierda, radiografía posteroanterior de tórax en bipedestación, que muestra un extenso neumoperitoneo bajo ambas cúpulas diafragmáticas. La imagen de la derecha es la ampliación del área subdiafragmática derecha. En ella se perfilan las inserciones diafragmáticas (flechas).
Imagen localizada de TC de abdomen en un paciente con neumoperitoneo (flechas negras). Las flechas rojas señalan las inserciones diafragmáticas.
Para saber más: Depiction of diaphragmatic muscle slips on supine plain radiographs: a sign of pneumoperitonmeum. Radiology 1997; 203: 431-433.
Este signo también recibe el nombre de Signo de los delfines, por la disposición curva y paralela de las inserciones diafragmáticas.
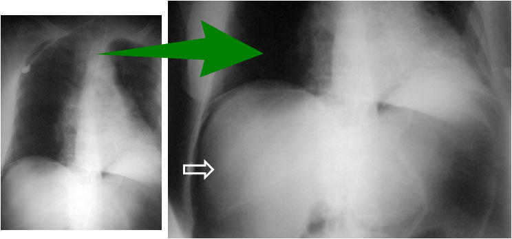
SIGNO DEL BALÓN DE RUGBY
Signo de neumoperitoneo masivo visible en la radiografía simple de abdomen. La forma que adopta el aire en la cavidad peritoneal recuerda la morfología de un balón de rugby. Este signo es más fácilmente visible en niños. Este caso corresponde a un neumoperitoneo masivo secundario a enterocolitis necrotizante en un neonato. En la zona ampliada podemos ver aerobilia.
Si quieres saber más: Miller, RE Perforated viscus in infants: a new roentgen sign. Radiology 1960; 74:65-67
Rampton, JW. The Football sign. Radiology 2004; 231: 81-82. http://pubs.rsna.org/doi/abs/10.1148/radiol.2311011290.
SIGNO DEL URACO
En la radiografía simple de abdomen, en presencia de neumoperitoneo abundante, el gas rodea al uraco por ambos lados, y éste aparece como una densidad lineal con base triangular situada en la pelvis (pincha en la lupa).
En esta página puedes ver otro ejemplo: http://www.barnardhealth.us/dynamic-radiology/inverted-v-sign.html.
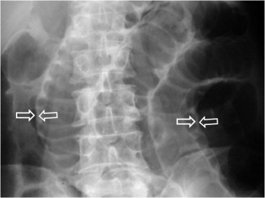
SIGNO DE LA V INVERTIDA
Signo de neumoperitoneo abundante en la radiografía simple de abdomen. El aire alrededor de los ligamentos umbilicales laterales dibuja éstos como dos líneas densas convergentes por arriba, en la zona de la pelvis (flechas).
Reconstrucción coronal en un plano anterior de TC abdominal en un paciente con neumoperitoneo abundante. Podemos ver el ligamento falciforme (flecha blanca), el ligamento teres (flecha roja) y los ligamentos umbilicales anteriores (flechas azules) que forman la V invertida.
Esta es una interesante página con signos de neumoperitoneo: http://www.barnardhealth.us/dynamic-radiology/inverted-v-sign.html.


