El manejo diagnóstico y terapéutico de la invaginación ha cambiado desde mi época de residente hasta ahora. La radiografía simple y la ecografía nos permitían el diagnóstico, y el enema opaco era la técnica para la desinvaginación. Hoy es la ecografía la técnica empleada.
De todas formas, he decidido incluir aquí estos signos de lo que yo llamo la paleo-radiología como tributo a los radiólogos que me formaron y que salvaron a muchos niños con cuadros de invaginación.
SIGNO DE LA MEDIA LUNA o SIGNO DEL MENISCO
Signo de invaginación intestinal en la radiografía simple de abdomen. Corresponde a la semiluna de gas intraluminal (flechas) que queda atrapado entre el asa invaginada y el asa invaginante.
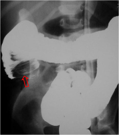
También vemos una media luna en el enema opaco, esta vez formada por el bario que rellena el colon hasta el ángulo opaco. El defecto de repleción redondeado corresponde a la cabeza de la invaginación. Alrededor se acumula en bario con forma semilunar.
Hemos encontrado este signo con el nombre de Signo del menisco, y así aparece en el artículo de Jimena Mariano en la Revista argentina de radiología de 2009.(http://www.scielo.org.ar/pdf/rar/v73n2/v73n2a12.pdf)
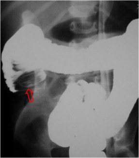
SIGNO DE LA DISECCIÓN DE LA INVAGINACIÓN
Signo de invaginación intestinal del lactante, visto en el enema opaco, que hace referencia al avance del contraste baritado entre el asa invaginante y el asa invaginada (flecha).
Hay otro buen ejemplo en esta página: http://www.mypacs.net/cases/40200015.html.
SIGNO DEL MUELLE
Signo de invaginación intestinal en el enema de bario. Se llama así por el aspecto del contraste que penetra entre el asa invaginada y el asa invaginante (flecha). También se denomina Signo de la espiral.
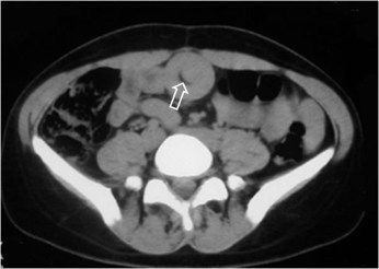
SIGNO DE LA ESCARAPELA
Signo de invaginación intestinal visible tanto en ecografía como en la TC abdominal, consistente en la imagen de bandas concéntricas de diferente ecogenicidad o densidad, correspondiente al asa invaginada en el interior de la invaginante, vista en un corte axial al asa. En ecografía, las bandas hiperecogénicas están formadas por la mucosa y la muscularis de la mucosa, y las hipoecogénicas corresponden a la submucosa.
En la literatura anglosajona, este signo es más frecuentemente descrito como Signo de la diana o Signo del donut.
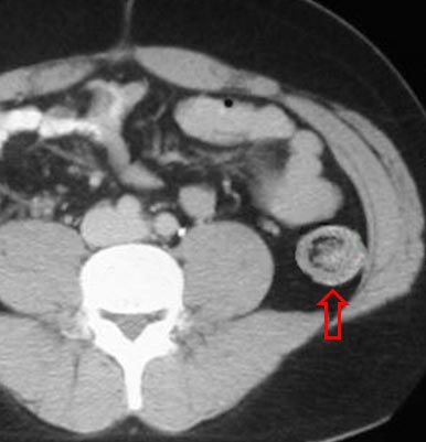
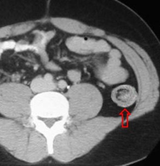
SIGNO DE LA SEMILUNA EN DONUTS
La invaginación intestinal provoca una imagen de donut o diana visible tanto por ecografía como por TC. La presencia de grasa mesentérica acompañando al asa invaginada, se ve como una semiluna (hiperecogénica en ecografía, hipodensa en TC) dentro de la imagen del donut.
Corte axial de TC de abdomen de otro paciente que muestra una semiluna con la densidad grasa del mesenterio en una invaginación ileo-ileal.
La referencia bibliográfica es un artículo de G del Pozo, J C Albillos y D Tejedor en Radiology: Intussusception: Us finfings with pathologic correlation. The crescent-in-doughnut sign. El abstract puede consultarse en: http://pubs.rsna.org/doi/abs/10.1148/radiology.199.3.8637988.
