SIGNO DEL CARTÍLAGO COSTAL
La morfología de la calcificación de los cartílagos costales suele indicar el sexo del paciente. En los varones calcifican los márgenes de los cartílagos en forma de raíl (señalados con flechas negras en la imagen de la izquierda), mientras que en las mujeres calcifica la porción central, en forma de porra (imagen derecha, flechas rojas). También se ha descrito como calcificación en forma de vagina en los varones y en forma de pene en las mujeres.
SIGNO DE LA COSTILLA GRANDE
En la radiografía lateral de tórax las costillas derechas –flecha blanca- se ven de mayor tamaño que las izquierdas –flecha roja-. Este hallazgo se identifica mejor si la radiografía está algo oblicua y no hay una superposición de las costillas, como vemos en la fotografía. La diferencia de tamaño está justificada por la mayor magnificación de las costillas derechas dado que, en la posición del paciente para la radiografía, el lado derecho está más alejado de la placa, según muestra el siguiente esquema.

SIGNO DEL DESPLAZAMIENTO VERTICAL
Este es otro signo en la radiografía lateral de tórax que permite identificar si las costillas son derechas o izquierdas. En la posición del paciente para realizar la proyección lateral, las costillas derechas –marcadas en azul- están más lejos de la placa y sus imágenes proyectadas en ésta tienen un mayor grado de divergencia vertical que el de las costillas izquierdas, marcadas en rojo.
Estos signos pueden encontrarse en un clásico artículo de Radiographics:
http://pubs.rsna.org/doi/full/10.1148/radiographics.19.1.g99ja02105
SIGNO DE LA SOMBRA DEL PEZÓN
No es infrecuente que se vean los pezones en las radiografías posteroanteriores de tórax, y que planteen -en ocasiones- dudas de diagnóstico diferencial con nódulos pulmonares o lesiones extrapleurales.
Aunque a veces todo el contorno del pezón es visible, el aspecto más típico es el de una sombra redonda con un margen inferior y externo nítido y una interfase aire-partes blandas mal definida en el margen interno. Esto se debe a que al presionar el tórax contra el chasis, el pezón tiene a abultar hacia afuera creando lateralmente una interfase aire-agua (partes blandas) nítida.
SIGNO DEL MONÓCULO
Signo que permite diferenciar una arteria pulmonar de un nódulo pulmonar. Una arteria vista de frente, aparece como una densidad redondeada similar a un nódulo (flecha negra); sin embargo puede diferenciarse al ver el bronquio que la acompaña como anillo denso que rodea un círculo radiotransparente (flecha blanca).
SIGNO DE LA COMA INVERTIDA
Hallazgo en la radiografía posteroanterior de tórax que consiste en una línea fina radiodensa y curva que surca verticalmente el campo superior del pulmón derecho y acaba en una densidad ovalada situada por encima de la salida del bronquio lobar superior derecho. La densidad corresponde a la vena ácigos y la línea a la cisura accesoria que delimita el lóbulo de la ácigos. Ambas densidades forman una coma invertida. Se trata de una variante anatómica relativamente frecuente, visible en una de cada 200 radiografías aproximadamente.
SIGNO DE ADMIRACIÓN
Signo de normalidad en la radiografía lateral de tórax. El signo de admiración está formado por el luminograma traqueal (flechas rojas) y el bronquio principal izquierdo (flecha blanca). Se trata de dos imágenes radiolúcidas, una lineal y otra redondeada, que forman el signo de cierre de admiración (!). El bronquio principal derecho tiene un trayecto más oblicuo que el izquierdo y puede no ser visible en la radiografía lateral.
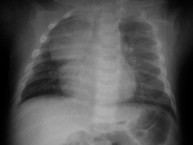
SIGNO DE LA VELA TÍMICA
En la radiografía anteroposterior de los recién nacidos, el timo normal puede verse como una densidad paramediastínica, más frecuente en el lado derecho, con forma triangular o de vela de barco. En la imagen las flechas señalan el timo.
No debe confundirse este signo de la vela tímica con el signo del spinnaker o de las alas de ángel, que se ve en el neumomediastino del neonato y corresponde al timo levantado por el gas mediastínico (Ver Signos de tórax / mediastino).
SIGNO DE LA OLEADA TÍMICA
Las impresiones costales sobre el timo producen un borde ondulado de éste en la radiografía de tórax del recién nacido. Esto permite distinguir el timo normal de los tumores tímicos y otras masas mediastínicas anteriores, que tienen una consistencia dura y no presentan la indentación costal.
SIGNO DE LA ESCOTADURA
En la radiografía del signo de la oleada tímica también puede verse una escotadura o muesca (notch sign) entre el timo normal y la silueta cardiaca. Esta imagen es, pues, un signo de normalidad que nos permite reconocer el timo.








