Tutorial de ecografía escrotal, ahora en app para Androi, en español e inglésd.
Este Tutorial ha recibido certificados de mérito tanto en la RSNA en 2011 como en el Congreso
Nacional de SERAM de 2012. Cuenta con el aval de la SERAM y con el de más de 360 usuarios que le han dado una nota de 8,85/10 (tesis doctoral de Pilar Márquez, dirigida por los Dres. F. Sendra y E. Navarro).
Puedes encontrarla en Play Store y en la app de tu iPhone. Busca “ecografía escrotal”.
Tutorial of scrotal ultrasound, an App for Android and iPhone smartphones and tablets.
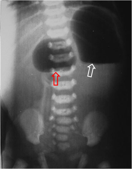
SIGNO DE LA DOBLE BURBUJA
Signo de obstrucción duodenal visible en la radiografía simple de abdomen del neonato, que consiste en la distensión por gas del estómago (flecha blanca) y de la porción del duodeno proximal a la obstrucción (flecha roja). Las causas incluyen: atresia duodenal, páncreas anular, vólvulo intestinal, membrana duodenal, malrotación y vena porta preduodenal.
Este signo también es visible en la ecografía prenatal. En este caso el aspecto ecográfico es el de dos imágenes quísticas correspondientes al estómago y duodeno proximal. Puede verse un ejemplo en http://radiopaedia.org/articles/double-bubble-sign.
SIGNO DE LA TRIPLE BURBUJA
En la obstrucción yeyunal congénita (atresia), el gas y el líquido se acumulan en el estómago (1), el duodeno (2) y el yeyuno proximal (3), apareciendo una triple burbuja en la radiografía simple de abdomen. La imagen es patognomónica.
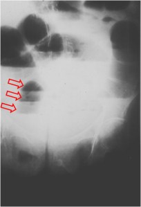
SIGNO DEL COLLAR DE PERLAS o DEL ROSARIO DE CUENTAS
Hilera de burbujas en disposición vertical u oblicua, vista en la radiografía de abdomen en decúbito supino o en bipedestación. Representa pequeñas cantidades de aire atrapado en las válvulas conniventes del intestino delgado, predominantemente lleno de líquido. Se presenta en la obstrucción mecánica del intestino delgado, aunque rara vez también puede verse en el íleo paralítico, gastroenteritis o tras la aplicación de un enema salino.
Este artículo de Paul C Nevil en Radiology es una buena referencia: http://pubs.rsna.org/doi/pdf/10.1148/radiology.214.1.r00ja11157
También reciben el nombre de Signo del collar de perlas el aspecto angiográfico de las arterias renales en la displasia muscular y la apariencia ecográfica de los ovarios en el síndrome del ovario poliquístico.
Este signo también se ha llamado Signo del rosario de cuentas. Aquí vemos un ejemplo en un cuadro obstructivo de delgado:
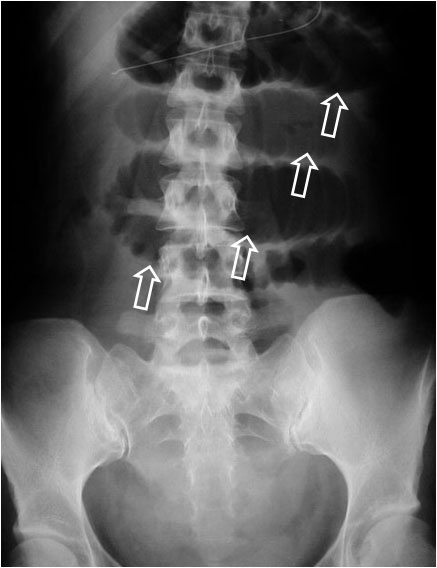
SIGNO DE LA ESCALERA
Signo visto en la radiografía simple de abdomen en la obstrucción intestinal, llamado así por el aspecto de las asas intestinales dilatadas y rellenas de aire, superpuestas unas sobre otras (flechas).
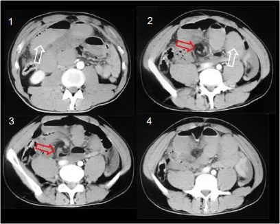
Signo altamente sugerente de vólvulo de intestino delgado, presente en la TC abdominal. Se ve como una imagen de distorsión vascular con vasos y tractos dispuestos en remolino, y ocurre cuando un asa intestinal rota alrededor de un punto fijo de obstrucción provocando la torsión del mesenterio a lo largo del eje de rotación. El signo es más visible cuando el corte es perpendicular al eje de rotación.
La imagen muestra una secuencia de cortes de TC en el mismo paciente. En la imagen 1 se ven asas de intestino delgado dilatadas y rellenas de líquido debido a la obstrucción (flecha blanca). En las imágenes 2, 3 y 4 puede verse el signo del remolino a diferentes alturas (flecha roja). La imagen 3 presenta el asa aferente y el eferente adelgazadas y terminando en “pico”.
Aunque en pacientes con obstrucción por bridas o por hernias internas puede verse una distorsión vascular que parece un remolino, en estos casos no suele alcanzarse un giro completo de 360 grados que caracteriza al vólvulo de intestino delgado.
El artículo The whirl sign de Bharti Khurana en Radiology puede consultarse en: http://pubs.rsna.org/doi/full/10.1148/radiol.2261011392.
Si bien el Signo del remolino fue descrito en la obstrucción de intestino delgado por vólvulo, posteriormente se ha visto también en la volvulación del sigma y en la de ciego. En la sección de Signos de abdomen / Tubo digestivo / Colon / Obstrucción de colon puede encontrarse un magnífico ejemplo.
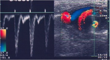
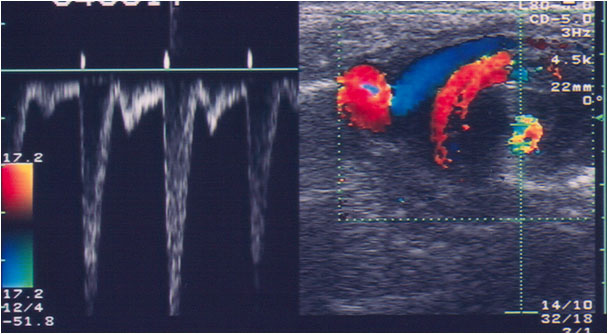
SIGNO DEL REMOLINO EN SENTIDO HORARIO
Signo de vólvulo de intestino delgado en pacientes pediátricos, en la ecografía doppler. El vólvulo provoca un plegamiento de la vena mesentérica superior y el mesenterio alrededor de la arteria mesentérica superior. En doppler se ve una imagen de remolino en el sentido de las agujas del reloj con el movimiento caudal del transductor en el plano axial.
La imagen de la izquierda muestra el espectro del doppler en el que se observa un patrón de alta velocidad. A la derecha, la imagen en modo B corresponde al arremolinamiento de los vasos mesentéricos.
Artículo de referencia: Shimanuki, Y y cols. Clockwise whirpool sign at color Doppler US: an objective and definite sign of midgut volvulus. Radiology 1996; 199: 261-264. Puedes consultar el abstract en http://pubs.rsna.org/doi/pdf/10.1148/radiology.199.1.8633156.
SIGNO DEL TECLADO
Signo de obstrucción intestinal en ecografía. Corresponde a las válvulas conniventes alineadas (flechas) dentro de un asa distendida, fija y con líquido. El aspecto recuerda a la disposición ordenada en paralelo de las teclas de un piano.
En la imagen se muestra este signo en un paciente con obstrucción por bridas.
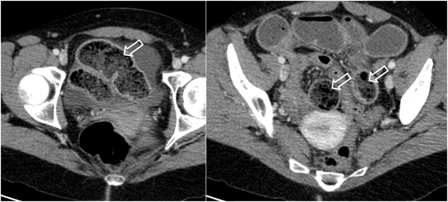
SIGNO DE LAS HECES EN INTESTINO DELGADO
En la TC abdominal, la presencia de burbujas de gas dentro del intestino delgado (patrón «en miga de pan») es siempre anormal, y con frecuencia se debe al enlentecimiento del tránsito intestinal, digestión incompleta del contenido digestivo, sobrecrecimiento bacteriano y aumento de la absorción de agua. Estas alteraciones suelen deberse a obstrucción de intestino delgado aunque también se ha descrito en otras anomalías severas de delgado como enfermedad infecciosa o metabólica. La combinación de este signo y dilatación de asas de delgado es altamente sugestiva de obstrucción , especialmente cuando existe colapso del intestino distal.
En las imágenes vemos este signo (flechas blancas) en una paciente con fibrosis quística y síndrome de obstrucción de intestino distal.
El artículo de referencia es de Fuchsjäger, MH: The small-bowel feces sign. Radiology 2002; 225: 378-379. En: http://pubs.rsna.org/doi/full/10.1148/radiol.2252010976.


