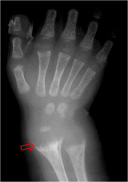
SIGNO DE LA BANDA METAFISARIA DENSA
Aumento de densidad de las metáfisis (flecha) visible en la radiografías convencionales, no acompañado de aplanamiento o deformidad del hueso. Corresponde a una rápida deposición de calcio en las metáfisis que acontece después de varias circunstancias en las que se compromete la osteogénesis. El resultado es el aumento del número y grosor de las trabéculas óseas en las metáfisis.
Este signo puede verse como variante de la normalidad, en las intoxicaciones por plomo u otros metales pesados, en la leucemia tratada, en el hipotiroidismo congénito, en el hiperparatiroidismo y en infecciones transplacentarias (toxoplasmosis, rubéola, citomegalovirus, herpes).
Referencia: Raber SA. The dense metaphyseal band sign. Radiology 1999; 211: 773-774.
SIGNO DE LA METÁFISIS EN COPA
La forma en “copa» de las metáfisis se ha descrito como signo de raquitismo, aunque no es específico, ya que también puede verse como variante de la normalidad, en el escorbuto y en varias displasias óseas (acondroplasia, pseudoacondroplasia, etc).
Otro ejemplo en las metáfisis distales de ambos fémures.
SIGNO DE LAS RAYAS DE LA CEBRA
En un signo visible en huesos largos de niños con osteogénesis imperfecta tratados con bifosfonato. Como este tratamiento se administra en ciclos, en cada uno de ellos se forma hueso compacto. De esta forma, con el tiempo se origina una imagen de rayas o bandas densas a lo largo de las metáfisis de los huesos.
Mi agradecimiento a José Abraldes, residente de mi hospital, quien me proporcionó las imágenes.
Se puede ver más imágenes de este signo en: http://radiopaedia.org/articles/zebra-stripe-sign.
Y también en:
http://radiologysigns.tumblr.com/post/101659386116/zebra-stripe-sign-horizontal-lines-of-dense-bone.
SIGNO DE LA BRIZNA DE HIERBA
Cuando la fase lítica de la enfermedad de Paget afecta a un hueso largo, los cambios líticos tienen un margen de avance que se manifiesta como un área radiolucente en forma de V, que lo separa del hueso sano. Esta imagen se ha comparado con una brizna u hoja de hierba. También se le ha denominado Signo de la llama de la vela.
También puedes consultar: http://radiopaedia.org/articles/blade-of-grass-sign.
O el artículo de Wittemberg K. The blade of grass sign. Radiology 2001; 221: 199-200. En el siguiente enlace:
http://pubs.rsna.org/doi/full/10.1148/radiol.2211991689.
SIGNO DE LA BURBUJA O AMPOLLA DE HUESO
El Signo de la burbuja o ampolla de hueso (blister of bone) hace referencia a una lesión ósea lítica, que insufla el hueso a modo de burbuja, que adelgaza la cortical y que presenta finos septos en su interior. La cortical puede romperse, de forma espontánea por el crecimiento del tumor o con pequeños traumatismos, por lo que no es infrecuente el sangrado tanto en el interior de la lesión como en los tejidos adyacente. Este signo es muy característico de quiste óseo aneurismático.
Puedes ver otro ejemplo en: http://www.gentili.net/signs/36.htm.
SIGNO DEL FRAGMENTO CAÍDO
Pequeño fragmento óseo que yace en la posición más declive de una lesión ósea radiolucente y que corresponde a una fractura patológica de un fragmento de cortical adelgazada en un quiste óseo solitario. El hecho de que el fragmento caiga solo es posible por el contenido líquido de la lesión, lo que descarta todas las lesiones óseas solitarias sólidas. Aunque este signo fue descrito en radiografía convencional, puede verse también en TC y en resonancia magnética.
Kileen KL. The fallen fragment sign. Radiology 1998; 207:261-262.
http://radiologysigns.tumblr.com/post/24182144557/fallen-fragment-sign.
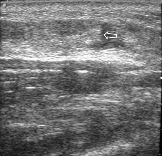
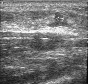
SIGNO DEL BADAJO Y SIGNO DEL HALO O DIANA
Ambos son signos ecográficos de rotura muscular. En el corte longitudinal al eje muscular, el «badajo» corresponde a la imagen redondeada del extremo retraído del músculo, rodeado de hematoma.
En este esquema está representado un fragmento muscular que sufre una rotura (arriba). Abajo, las fibras afectadas por la rotura se retraen y aparece un hematoma (en rojo) en la zona de la sección de fibras. La “punta” del haz de fibras roto impronta en la zona del hematoma con un aspecto que ha sido definido como signo del badajo de campana (flecha).
Signo ecográfico de rotura muscular en el corte transversal al eje del músculo. El signo corresponde al músculo retraído rodeado de un halo de hematoma.
El Signo del halo también se ve en la rotura muscular pero es un signo visible en el corte transversal al eje del músculo. El signo corresponde al músculo retraído rodeado de un halo de hematoma.
En el mismo esquema anterior, se representa un corte transversal a la altura de la lesión (la línea negra). El signo corresponde al músculo roto y retraído rodeado de hematoma.








