NEUMOMEDIASTINO

SIGNO DEL ANILLO ALREDEDOR DE LA ARTERIA PULMONAR

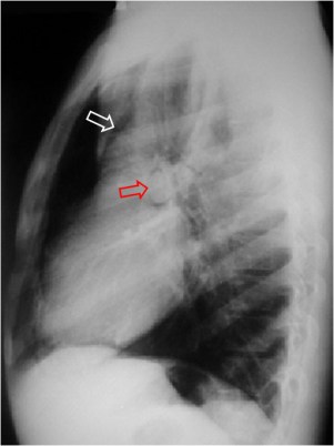
En la radiografía lateral de tórax puede verse la arteria pulmonar (flecha roja) rodeada de aire. También puede verse aire delimitando la raíz aórtica (flecha blanca).

En la radiografía lateral de tórax puede verse la arteria pulmonar (flecha roja) rodeada de aire. También puede verse aire delimitando la raíz aórtica (flecha blanca).

Es un signo de neumomediastino visible en la radiografía lateral de tórax. El aire extrapulmonar rodea la porción mediastínica (extrapericardial) de la arteria pulmonar derecha produciendo un anillo hipodenso alrededor de ésta.

Más información en: http://pubs.rsna.org/doi/pdf/10.1148/radiol.2413041063

 

SIGNO DE LA PLEURA VISIBLE

Las flechas señalan la pleura despegada del mediastino.

Las flechas señalan la pleura despegada del mediastino.

La presencia de neumomediastino provoca el despegamiento lateral de las dos hojas pleurales. En la radiografía PA de tórax esta imagen es más fácilmente visible en el margen izquierdo de la silueta cardiomediastínica. La pleura despegada es visible como una línea radioopaca que tiene un recorrido más o menos paralelo al contorno cardiomediastínico.

En esta dirección encontrarás un interesante artículo sobre signos de neumomediastino.

http://www.ajronline.org/doi/pdf/10.2214/ajr.166.5.8615238

 

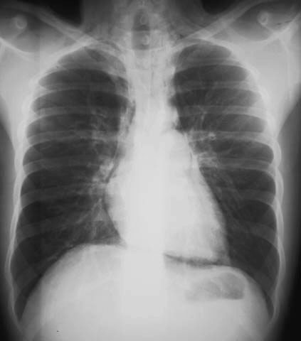
SIGNO DE LA V DE NACLERIO

Radiografía AP de tórax en un paciente con traumatismo torácico. A la derecha las flechas marcan el signo de la V de Naclerio.

Radiografía AP de tórax en un paciente con traumatismo torácico. A la derecha las flechas marcan el signo de la V de Naclerio.

Signo de neumomediastino en la radiografía de frente de tórax. Corresponde a la presencia de aire mediatínico que ocupa la parte inferolateral del mediastino. El brazo medial de la V lo forma el aire que delimita la porción inferior del margen mediastínico izquierdo, mientras que el brazo lateral de la Vestá producido por el aire entre la pleura parietal y el hemidiafragma izquierdo.

En las fotografías vemos el signo en un paciente con traumatismo torácico que también presenta enfisema subcutáneo extenso (marcado en amarillo) y una contusión pulmonar en el lado izquierdo (flechas azules).

Un artículo de Radiology sobre el signo se encuentra en: http://pubs.rsna.org/doi/pdf/10.1148/radiol.2451042197

 

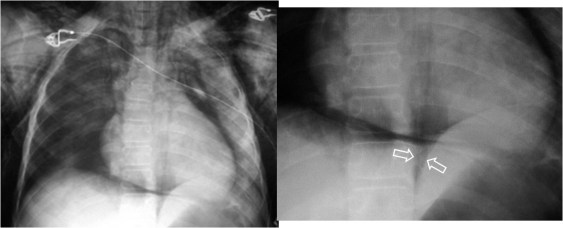
SIGNO DE LA V DE LAS VENAS BRAQUIOCEFÁLICAS

La flecha roja señala la vena braquiocefálica derecha y las flechas negras la izquierda.

La flecha roja señala la vena braquiocefálica derecha y las flechas negras la izquierda.

Es un signo de neumomediastino en la radiografía anteroposterior o posteroanterior de tórax. El aire dibuja la confluencia de las venas braquiocefálicas derecha e izquierda, configurando una «V». Para ver este signo se requiere una cantidad importante de neumomediastino.

 

SIGNO DEL DIAFRAGMA CONTINUO

diafcont1

Signo de neumomediastino en la radiografía anteroposterior o posteroanterior de tórax. El aire se introduce entre el pericardio y el diafragma y dibuja la porción central de éste, que normalmente está borrada por el contacto que hacen el diafragma y el corazón.

Puede verse también un Signo del diafragma continuo en pacientes con neumopericardio y con neumoperitoneo, pero en este último caso es el margen inferior del diafragma el que se delimita.neumopericardio1neumopericardio2

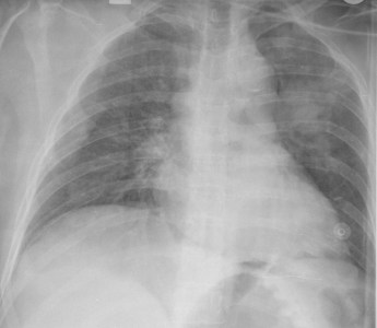
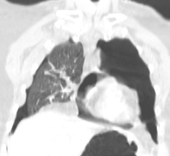
Signo del diafragma continuo en un paciente con neumopericardio. Se trataba de un accidente con traumatismo torácico. La radiografía muestra algunas fracturas costales izquierdas, un foco contusivo en campo medio izquierdo y un diafragma continuo. La reconstrucción coronal de TC demuestra que se trata de un neumopericardio. Además existe un neumotórax bilateral, más cuantioso en el hemitórax izquierdo.

 

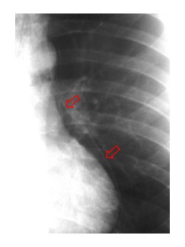
SIGNO DEL HEMIDIAFRAGMA IZQUIERDO CONTINUO

En la parte anterior del tórax son visibles los dos hemidiafragmas.

En la parte anterior del tórax son visibles los dos hemidiafragmas.

Signo de neumomediastino en la radiografía lateral de tórax, equivalente al signo del diafragma continuo en la placa anteroposterior o posteroanterior. En condiciones normales, el tercio anterior del hemidiafragma izquierdo está borrado porque el corazón hace silueta con él. En el neumomediastino, el gas entra entre el diafragma y el pericardio y permite ver el hemidiafragma izquierdo completo desde el seno costofrénico anterior hasta el posterior. Este hemidiafragma se reconoce por la disposición de la burbuja gástrica. En la imagen el hemidiafragfma derecho es el superior y el izquierdo el inferior.

 

SIGNO DE LAS ALAS DE ÁNGEL O DEL SPINNAKER

Las flechas muestran el timo elevado por la presencia de neumomediastino.

Las flechas muestran el timo elevado por la presencia de neumomediastino.

Signo de neumomediastino en el tórax del neonato. La presencia de aire en el mediastino anterior produce un levantamiento del timo que se separa de la sombra cardiaca. Esta imagen recuerda a una vela de barco hinchada por el viento (de ahí el nombre de «spinnaker»). Cuando es bilateral, aparece como las alas levantadas de un ángel.

Hay más ejemplos en esta dirección: http://radiopaedia.org/articles/spinnaker-sign

 

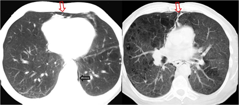
SIGNO DEL AIRE EXTRAPLEURAL

aireextra

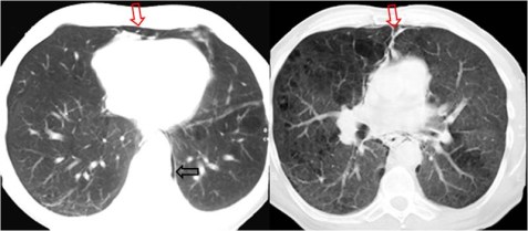
Este signo fue inicialmente descrito en la radiografía de tórax como la presencia de aire entre la pleura parietal y el diafragma. Pero es más fácil de reconocer en la TC, como en el caso que presentamos: las imágenes muestran una colección de aire extrapleural en el espacio retroesternal (flechas rojas), limitada por la pleura parietal.

Así mismo hay una pequeña cantidad de neumomediastino paravertebtal (flecha negra).

No debe confundirse este signo con el signo extrapleural o signo de la embarazada, que explicamos en la parte dedicada a los Signos de Pleura y pared.

 

SIGNO DE LA DOBLE PARED BRONQUIAL

Cuando el neumomediastino es abundante, puede extenderse rodeando las paredes bronquiales. Estas son visibles en la placa al tener aire por dentro y por fuera, por lo que recuerdan al signo de la doble pared o de Rigler en el neumoperitoneo.