SIGNO DEL MOLDE
Recibe este nombre el aspecto de la luz del yeyuno en el esprúe avanzado o no tratado, en el estudio de tránsito intestinal baritado. Los pliegues mucosos aparecen borrados y el bario que llena la luz del intestino adopta la forma de un tubo relleno de cera endurecida. Habitualmente se asocia a segmentación marcada e hipersecreción (que no están presentes en esta imagen, que es una fotografía localizada en fosa iliaca izquierda de un tránsito intestinal).
Otro paciente con esprúe avanzado mostrando este signo. La apariencia de las asas intestinales en la radiografía se ha equiparado también al aspecto de la pasta de dientes.
En la literatura médica no es infrecuente encontrar este signo con su nombre original en francés: moulage o Signo del moulage.
Recibe este nombre el aspecto de los pliegues intestinales engrosados, lisos, rectos y perpendiculares al eje longitudinal de la luz en el estudio del tránsito intestinal baritado. El signo se presenta cuando existe infiltración difusa de la submucosa por edema o hemorragia intramural (traumatismo, isquemia, toma de anticoagulantes, etc).
El aspecto de los pliegues en pila o columna de monedas es más evidente en el yeyuno que en el íleon, debido al mejor desarrollo y mayor tamaño de los pliegues yeyunales.
Por el aspecto de los pliegues intestinales, este signo también se ha denominado Signo de los pliegues en empalizada o en hilera de estacas.
Otro ejemplo de este signo.
Signo de esclerodermia en el tránsito intestinal. Describe un acercamiento de las válvulas conniventes, que conservan el grosor normal, debido a dilatación de la luz intestinal (flechas blancas). Se afecta con más frecuencia el yeyuno y el íleon proximal. Este hallazgo se debe a la afectación de las capas musculares de las asas intestinales en la esclerodermia.
Semiológicamente este signo es similar al anterior, el Signo de las pilas de monedas, aunque el nombre de Signo del intestino enjuto es exclusivo de la esclerodermia.
Resulta difícil la traducción del nombre original en inglés de este signo (hide-bound bowel). En sentido figurado hide-bound significa rígido, estricto, términos que no se ajustan al aspecto de las asas en la esclerodermia. El término está tomado de la descripción de la apariencia de la piel en esta enfermedad, que se encuentra engrosada, endurecida y adherida a planos profundos, y se compara a la piel gruesa de animales domésticos como la vaca o el caballo, pegada al hueso.
El arículo de referencia es: Perry J. Pickhardt. The «hide-bound» bowel sign. Radiology 1999; 213:837-838. En: http://pubs.rsna.org/doi/full/10.1148/radiology.213.3.r99dc21837.
SIGNO DEL HALO
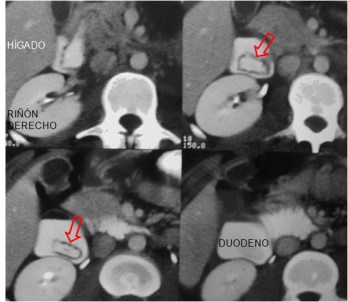
Signo de divertículo duodenal intraluminal en el tránsito baritado y en la TC. El signo recibe el nombre por la imagen lineal radiolucente que queda entre el contraste baritado que rellena el divertículo y el de la luz duodenal, y que corresponde a la pared del divertículo.
La secuencia de cortes en el TC abdominal con contraste oral e intravenoso en el mismo paciente, muestra el signo en el divertículo intraluminal duodenal.
El divertículo duodenal es una rara anomalía del desarrollo que, a diferencia de la atresia duodenal, no provoca obstrucción completa de la luz ya que la fijación del divertículo a la pared duodenal afecta a menos de la mitad de la luz o, si es mayor, éste presenta una fenestración que permite el paso del contenido alimenticio.
Las imágenes de este caso están tomadas del artículo de Sanchis-Querol, E y cols. Divertículo duodenal intraluminal como causa de pancreatitis recidivante. Diagnóstico mediante TC. Radiología 2000; 42: 566-568. Han sido incluidas en este trabajo con permiso de la SERAM.
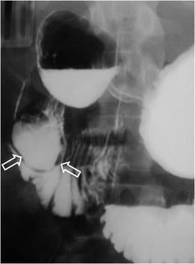
SIGNO DE LA MANGA DE AIRE
Las imágenes del signo anterior sirven también para ilustrar el Signo de la manga de aire. Se trata de un hallazgo que puede verse en el EGD y en la TC abdominal con contraste oral y que consiste en un saco lleno de bario localizado enteramente en el duodeno, rodeado de un halo radiolucente (Signo del halo) que lo separa del bario duodenal (fuera del divertículo). Es la típica apariencia de un divertículo intraluminal duodenal.
El nombre deriva del parecido con una manga de aire, instrumento que puede verse junto a las carreteras en zona de viento, habitualmente de colores rojo y blanco -en franjas alternas-, que indica la dirección del viento y su velocidad.
O sea, tanto el Signo del halo como el Signo de la manga del aire son diagnósticos de divertículo duodenal intraluminal y son complementarios: el primero describe la pared del divertículo y el segundo se refiere al contenido limitado por la pared diverticular.
El artículo de Roland Materne en Radiology (The duodenal wind sock sign. Radiology 2001; 218: 749-750) puede verse en: http://pubs.rsna.org/doi/full/10.1148/radiology.218.3.r01mr02749.
SIGNO DEL OJO DE BUEY
Aspecto que, en el estudio baritado, tiene el defecto de repleción nodular con pequeña úlcera en la parte más elevada, donde se acumula el bario. Puede verse en diferentes entidades: metástasis de melanoma y de otros tumores, sarcoma de Kaposi, linfoma, etc. Vemos un caso en una paciente con un melanoma conocido.
No es un signo exclusivo del intestino delgado. A continuación mostramos un ejemplo en una lesión gástrica de la que no tenemos el diagnóstico.
El nombre de Signo del ojo de buey también se ha utilizado en otras localizaciones y patologías, siempre referido a lesiones con densidades diferentes y disposición concéntrica. También se usan los nombres de Signo de la diana, Signo del anillo y Signo del halo. En esta dirección (http://radiopaedia.org/articles/bulls-eye-sign-general-1) puedes encontrar algunas de esas patologías.
SIGNOS DE CRECIMIENTO PANCREÁTICO en el EGD
SIGNO DE LA ALMOHADILLA ANTRAL
Signo visible en el estudio con contraste del estómago, consistente en una indentación o impronta extrínseca sobre la curvatura mayor del estómago (flechas) debida a varias causas que produzcan aumento de tamaño de la cabeza pancreática, entre las que se encuentran el carcinoma pancreático, tumores benignos de páncreas, pancreatitis, pseudoquiste pancreático. En realidad es un signo muy inespecífico que puede deberse a otras patologías de asiento retroperitoneal, como adenopatías, etc. Una vesícula distendida también puede provocar la impronta sobre el antro gástrico en la posición oblicua anterior derecha.
En la imagen, un paciente con seminoma: el signo es debido a la presencia de adenopatías retroperitoneales.
Referencia: Asrani, AV. The Antral Pad Sign. Radiology 2003; 229: 421-422. En: http://pubs.rsna.org/doi/full/10.1148/radiol.2292020446.
La causa más frecuente de crecimiento de la ampolla de Vater (flechas) es la inflamación edematosa secundaria a la pancreatitis aguda. Se manifiesta como un defecto de repleción duodenal en el estudio baritado. También puede observarse una imagen similar en pacientes con úlcera duodenal aguda o con impactación de un cálculo de colédoco.
La imagen corresponde al signo visto en un paciente con pancreatitis.
SIGNO DEL TRES INVERTIDO o DE FROSTBERG
Signo de crecimiento de la cabeza pancreática (por carcinoma, pancreatitis, etc) en el estudio baritado. La parte central del 3 corresponde a la zona de fijación de la pared duodenal, donde está la papila. Las dos impresiones por encima y por debajo de este punto (flechas) corresponden al crecimiento pancreático, asociado al edema o infiltración de la pared duodenal (que puede ocasionar pérdida de pliegues en ésta). También se ha descrito en el carcinoma duodenal.
Esta imagen corresponde a un paciente con carcinoma pancreático.
El signo también se conoce como Signo de Frostberg o Signo del 3 invertido de Frostberg.
Otro ejemplo de este signo en un paciente con pancreatitis.
SIGNO DE JANO
Es un signo de transección intestinal en el traumatismo abdominal, visible en el estudio de TC con contraste intravenoso. Consiste en una interfase abrupta entre dos zonas de un asa intestinal, una con hiperrealce de contraste (por tanto hiperdensa) y la otra sin realce (hipodensa).
El nombre del signo corresponde al dios romano Jano, hijo de Apolo. Se le representa con una figura de dos caras opuestas. Es considerado el dios guardián de las puertas y los puentes, de las transiciones, vigilante del pasado y del futuro. Por ello, el primer mes del año, que representa la transición a un nuevo tiempo se dedicó a Jano (Ianuarius en latín, del que derivó enero).

En la siguiente referencia podéis encontrar una imagen del signo: Multidetector CT findings of bowel transection in blunt abdominal trauma.




