SIGNO DE LAS ÚLCERAS EN BOTÓN
Úlcera de la mucosa que se extiende a la submucosa del colon, de cuello estrecho y profundo y base ancha (en forma de «T» o»botón de camisa») que se ve en la colitis ulcerosa, la enfermedad de Crohn, amebiasis, etc.
En algunas zonas, las úlceras se unen formando un carril paralelo a la pared del colon, como se muestra en el esquema. En la imagen, un paciente con colitis ulcerosa.
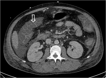
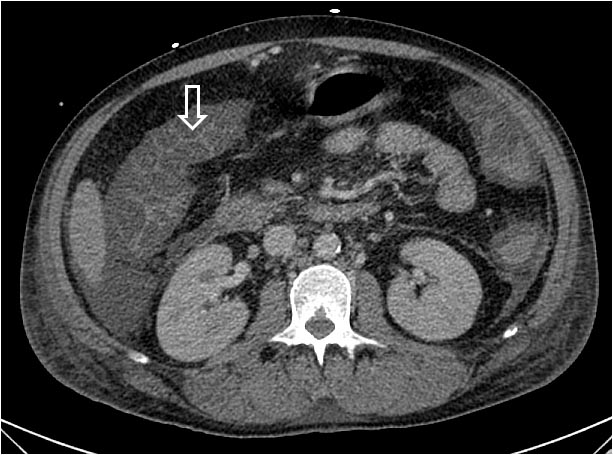
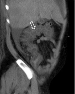
Signo de edema o inflamación severa del colon, de cualquier etiología, visto en TC. Corresponde al engrosamiento de la pared del colon con retención del contraste oral entre las haustras engrosadas (flevchas), aunque el signo también puede estar presente en TC sin contraste. Fue descrito inicialmente en la colitis por Clostridium difficile (colitis pseudomembranosa), pero después se ha demostrado que no es específico, pudiendo estar presente en otras colitis infecciosas por otros gérmenes (Salmonella, citomegalovirus,…) en colitis isquémica, en vasculitis (lupus) e incluso en el edema relacionado con cirrosis.
Otras imágenes del signo en otro paciente. Cortes axial (derecha) y sagital (izquierda), donde se observa la afectación del ángulo hepático del colon.
El artículo que describe la inesecificidad del signo es de Macari, M y cols: The accordion sign at CT: a non specific finding in patients with colonic edema. Radiology 1999; 211: 743-746. Se puede consultar en: http://pubs.rsna.org/doi/full/10.1148/radiology.211.3.r99jn32743.
SIGNO DE LA CABEZA DE FLECHA o PUNTA DE FLECHA
Signo visible en la TC con contraste oral, que debe alcanzar hasta el ciego. El signo hace referencia al engrosamiento focal del ciego centrado en el orificio apendicular. El contraste rellena la luz del ciego y se dispone en forma de cabeza de flecha apuntando hacia el apéndice. Es un signo indirecto de apendicitis.
Su valor es escaso. En primer lugar porque en la mayoría de los casos, el diagnóstico de apendicitis puede hacerse con ecografía o con TC sin contraste oral.
Artículos de referencia:
Rao, P.M. y cols. Appendicitis: use of arrowhead sign for diagnosis at CT. Radiology 1997; 202: 363-366.
Jason T. Rexroad. The CT arrohead sign. En: http://pubs.rsna.org/doi/pdf/10.1148/radiol.2271020086
SIGNO DE FLEISHNER o SIGNO DEL PARAGUAS INVERTIDO
Signo de tuberculosis que afecta a la válvula ileocecal, en el estudio baritado. El signo consiste en la apertura amplia de la válvula asociada a un estrechamiento de luz del íleon terminal. El aspecto es el de un paraguas invertido, con la tela vuelta del revés. Este signo no es específico de tuberculosis ileocecal, ya que también puede estar presente en algunos pacientes con enfermedad de Crohn severa.
La imagen muestra un paciente con afectación tuberculosa de la válvula, que muestra una amplia apertura, pero no existe estrechamiento de la luz ileal.

Existe otro Signo de Fleishner que se refiere al abultamiento del hilio en el tromboembolismo pulmonar, y que es visible en la radiografía PA o AP de tórax.



