SIGNO DEL BORDE
Engrosamiento de la línea ileopectínea vista en la radiografía de pelvis, que corresponde a la afectación de este hueso en la enfermedad de Paget. Este signo, que corresponde a reacción osteoblástica en la zona, está presente en la mayoría de pacientes con enfermedad de Paget pélvica.
Más ejemplos en:
http://learningradiology.com/radsigns/radsignspages/B-radsigns.htm.
http://www.gentili.net/signs/5.HTM.
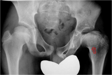
SIGNOS DEL PSOAS-ILIACO, GLÚTEO MEDIANO Y OBTURADOR INTERNO
Presentamos estos tres signos por tener el mismo significado.
Son signos radiológicos de derrame articular en la cadera, visibles en la proyección anteroposterior. Consisten en el abultamiento de las densidades de estos músculos (el psoas-ilíaco es medial a la cabeza y cuello femorales, el glúteo mediano es lateral al cuello y el obturador interno es superomedial al acetábulo) con el consiguiente desplazamiento de los planos grasos adyacentes. Son signos inespecíficos y pueden verse en sinovitis transitoria, artritis séptica y otras causas de derrame articular.
En estas imágenes ampliadas se explican los detalles de los tres signos. La flecha verde marca el desplazamiento lateral del plano graso de separación de la cápsula articular y el glúteo mediano. La flecha naranja señala el mismo plano no desplazado, en el lado no patológico. La flecha amarilla marca el desplazamiento del plano de separación del músculo psoas-ilíaco mientras que la flecha azul señala el mismo plano no desplazado en el lado normal. Finalmente, la línea roja indica la situación del plano graso de separación de la cápsula articular y el músculo obturador interno.
No debe confundirse el Signo del psoas-iliaco con el Signo del psoas, que consiste en el borramiento del margen del músculo visible en algunas apendicitis (excepcionalmente) y otras patologías. El borramiento también puede verse por cuestiones técnicas de la radiografía, solapamiento de material fecal, etc, por lo que resulta muy inespecífico.
SIGNO DE LA CUERDA COMBADA
Signo de enfermedad de Legg-Calvé-Perthes (osteonecrosis de la cabeza femoral) evolucionada. Consiste en la existencia de una línea curva radiodensa en la base del cuello femoral (flecha) que, probablemente, representa el borde anterior o lateral de una cabeza femoral severamente deformada.
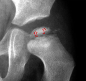
SIGNO DE LA SEMILUNA
Línea curva subcondral radiolucente cuya localización típica es la cara anterolateral de la cabeza femoral (aunque puede ocurrir en otras localizaciones) y corresponde a necrosis avascular. Esta lesión deriva en colapso de la superficie articular de la cabeza femoral.
En la imagen, este signo (flechas) en un niño con enfermedad de Perthes.
Referencia: Pappas JN. The musculo-skeletal crescent sign. Radiology 2000; 217: 213-214. En:
http://pubs.rsna.org/doi/full/10.1148/radiology.217.1.r00oc22213.
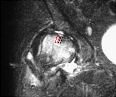
SIGNO DE LA DOBLE LÍNEA
Signo de osteonecrosis avascular visible en la resonancia magnética, en imágenes potenciadas en T2. En la osteonecrosis avascular se ve una línea de alta intensidad de señal rodeada por un anillo paralelo de hiposeñal, con frecuencia de bordes serpiginosos. La línea hiperintensa (flecha negra) corresponde a tejido de granulación hiperémico y la línea externa hipointensa (flecha roja) corresponde a hueso escleroso.
Otro ejemplo en un paciente con infartos óseos múltiples en fémur distal y tibia proximal.
Referencia: Zurlo JV. The double-line sign. Radiology 1999; 212: 541-542, en el siguiente enlace:
http://pubs.rsna.org/doi/full/10.1148/radiology.212.2.r99au13541.
SIGNO DEL MORDISCO O LA DENTELLADA
Signo de necrosis ósea avascular de la cadera. Corresponde a una zona periférica radiolucente de osteolisis cuya morfología recuerda una mordedura. Este aspecto es debido a la fragmentación, compresión y reabsorción del hueso necrótico como complicación del déficit vascular.
Hay un ejemplo en esta interesante página, con múltiples signos de músculo-esquelético.
http://www.orthopaedicsone.com/display/Main/Bite+Sign.
Y un artículo clásico de Martel W y Sitterley BH: Roentgenologic manifestations of osteonecrosis. AJR 1969: 106:509-522. http://www.ajronline.org/doi/pdf/10.2214/ajr.106.3.509.
SIGNO DEL DOBLE CUERNO ANTERIOR
Signo de rotura meniscal en cortes sagitales de Resonancia magnética. El fragmento meniscal se desplaza junto al cuerno anterior, apareciendo dos cuernos anteriores (flechas): el más anterior, que es el verdadero, y el posterior, que es el fragmento roto y desplazado.
Otro ejemplo en: http://www.radiologyassistant.nl/en/p4b98adddb76db/knee-meniscus-special-cases.html.
SIGNO DEL DOBLE LIGAMENTO CRUZADO POSTERIOR
Signo de rotura meniscal en los cortes sagitales de Resonancia magnética. El fragmento roto (flecha blanca) se desplaza medialmente y se coloca bajo el ligamento cruzado posterior (flecha roja), dando la imagen de duplicación de éste.
Para saber más:
Ruff C et al. MR imaging pattenrs of displaced meniscus injuries of the knee. AJR 1998; 170:63-67.
Camacho MA. The double posterior cruciate ligament sign. Radiology 2004; 233:503–504, en http://pubs.rsna.org/doi/pdf/10.1148/radiol.2332020945.
http://radiopaedia.org/articles/double-pcl-sign.
http://www.radiologyassistant.nl/en/p4b98adddb76db/knee-meniscus-special-cases.html#i4bbb8db0246fb.
SIGNO DE LA PAJARITA AUSENTE
En los cortes sagitales de resonancia magnética de la rodilla, el cuerpo del menisco normal se parece a una pajarita (o corbata de lazo), es decir, se ven dos triángulos que apuntan uno al otro y se unen en el centro. Con cortes de 5 mm, debe verse en dos cortes consecutivos.
El signo de la pajarita ausente consiste en que el cuerpo del menisco es visible en menos de dos cortes consecutivos. Esto indica que existe una rotura longitudinal del cuerpo meniscal con desplazamiento del fragmento interno (rotura «en asa de cubo»).
Arriba a la izquierda: plano axial que muestra los meniscos normales. Arriba a la derecha: esquema de una rotura en “asa de cubo” del menisco externo. Las líneas rojas representan los planos de corte coronal.
Abajo a la izquierda: esquema del corte coronal en el menisco normal en el que se ve la imagen de pajarita. Abajo a la derecha: el signo de la pajarita ausente en la rotura meniscal.
Más información en Lieberman, KA. The absent bow tie sign. Radiology 2000; 215: 263-265.
y en este enlace: http://www.gentili.net/signs/91.htm.
SIGNO DEL MENISCO ROTADO
Signo de rotura meniscal en cortes sagitales de resonancia magnética. El fragmento roto emigra anteriormente y se coloca sobre el cuerno anterior, lo que da una imagen de cuerno anterior anormalmente alto (mayor de 6 mm).
Corte coronal del mismo paciente en el que se observa la asimetría de los meniscos por rotura del externo (flecha amarilla) y la posición anómala del fragmento medial (flecha blanca). La flecha roja señala el menisco normal.
SIGNO DEL CAJÓN ANTERIOR
Signo de rotura del ligamento cruzado anterior en Resonancia magnética. Consiste en el desplazamiento anterior (subluxación) de la tibia con respecto al fémur, equivalente al signo clínico del cajón anterior. La línea blanca de puntos indica la localización teórica del ligamento cruzado anterior. Se observa derrame en varios compartimentos articulares (D).
http://www.gentili.net/signs/1.htm.
SIGNO DEL SURCO FEMORAL LATERAL
Signo indirecto de rotura del ligamento cruzado anterior (LCA) en la radiografía simple. Se trata de una depresión anormalmente profunda del surco cóndilo-patelar lateral o surco femoral lateral (flecha). Este surco es una pequeña depresión normal en la superficie articular del cóndilo, entre la curvatura que articula con la rótula y la que gira sobre la tibia. El surco anormalmente profundo se produce en la fractura osteocondral impactada, que acontece al tiempo que la rotura del LCA, ya que el mecanismo de ambas lesiones es el mismo: rotación de la articulación y valgo forzado, en el que chocan el platillo tibial contra el cóndilo femoral.
Imágenes de resonancia magnética de la rodilla, que muestran cortes sagitales de una secuencia potenciada en T1. La fotografía de la izquierda muestra como el surco femoral lateral es anormalmente profundo y se acompaña de una disminución de la señal del hueso adyacente por edema medular (flecha blanca). A la derecha, corte en el que debería verse el LCA, ausente por rotura.
Referencias:
Cobby MJ y cols. The deep lateral femoral notch: an indirect sign of a torn anterior cruciate ligament. Radiology 1992; 184: 855-858.
Pao, DG. The lateral femoral notch sign Radiology 2001; 219: 800-801. En:
http://pubs.rsna.org/doi/pdf/10.1148/radiology.219.3.r01jn12800.
SIGNO FBI
Las iniciales FBI hacen referencia a fat-blood interface, es decir, al nivel líquido-grasa que se ve en radiografías laterales de rodilla (con rayo horizontal) y que corresponde a lipohemartrosis. Indica la existencia de una fractura subyacente, que puede ser visible o estar oculta.
La radiografía anteroposterior de rodilla muestra la fractura del platillo externo de la meseta tibial (flecha roja) y el marcado aumento de partes blandas por el derrame articular (flecha blanca).
Más ejemplos en: http://www.gentili.net/signs/29.htm y http://radiopaedia.org/articles/fbi-sign.
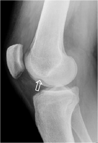
SIGNO DEL DIENTE
Signo de entesopatía rotuliana que se manifiesta como prolongaciones osteofitarias en la inserción tendinosa del cuádriceps o su continuación rotuliana. En la imagen vemos el signo en imágenes axial, sagital y coronal. Este hallazgo es normalmente asintomático.
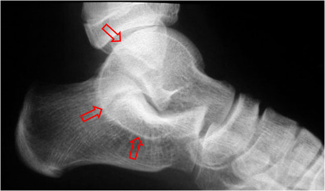
SIGNO DE LA C
Signo de coalición subtalar (fusión calcáneo-astragalina) en la radiografía lateral del tobillo. La «C» se forma por el límite medial de la cúpula talar y el límite posteroinferior del sustentaculum tali.
En la radiografía lateral de tobillo hemos marcado con flechas la «C» que da nombre al signo.
La fusión calcáneo-astragalina (flecha) se comprueba en el corte coronal de TC de tobillo.
Referencia: Lateur LM y cols. Subtalar coalition: diagnosis with the C sign on lateral radiographs of the ankle. Radiology 1994; 193: 847-851.
SIGNO DE LA LÁGRIMA
Signo de derrame articular en el tobillo, en la proyección lateral. Se manifiesta como una densidad de partes blandas en forma de lágrima (flecha), situada por delante de la articulación, que desplaza y deforma la almohadilla adiposa preastragalina.
Dodge, JP. The ankle teardrop sign. Radiology 2004; 231: 789-790.
http://www.gentili.net/signs/41.htm
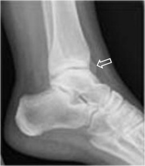
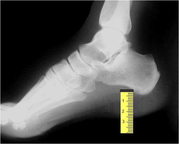
SIGNO DE LA ALMOHADILLA DEL TALÓN
El engrosamiento de los tejidos blandos del talón mayor de 23 mm es un signo de acromegalia, aunque no es específico, ya que también puede verse por obesidad, edema periférico, mixedema , traumatismo o infección del talón. La radiografía corresponde a un paciente con acromegalia.
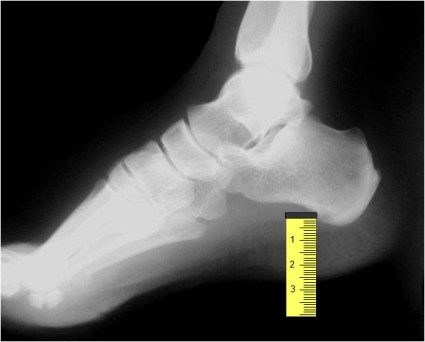
Otro ejemplo del signo de la almohadilla grasa del talón en una fractura del calcáneo.
Referencias: Steinbach HL, Russell W. Measurement of the heel-pad as an aid to diagnosis of acromegaly. Radiology 1964; 82: 418-423. En: http://pubs.rsna.org/doi/abs/10.1148/82.3.418.
http://www.gentili.net/signs/12.htm.























