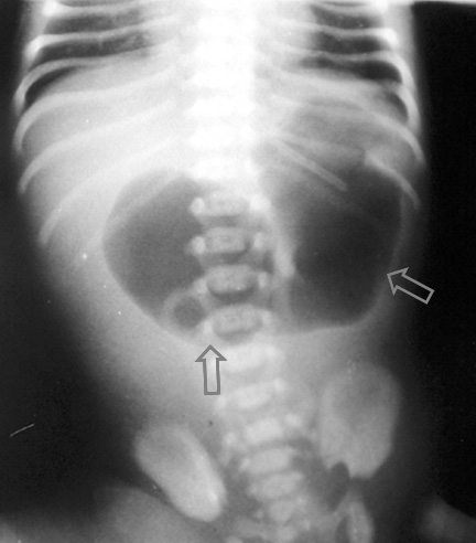
SIGNO DE LA BURBUJA ÚNICA
En el recién nacido, la presencia de la cámara gástrica distendida (flechas) con escasa o nula presencia de gas en el resto de abdomen, indica la existencia de una obstrucción en el tracto de salida gástrico, como atresia gástrica.
Aun cuando el estómago pueda estar distendido en recién nacidos normales, generalmente se aprecia una cierta cantidad de gas distal al estómago, en asas intestinales. Así que su ausencia (burbuja única) favorece el diagnóstico de obstrucción gástrica.
No debe confundirse el Signo de la burbuja única con el Signo de la burbuja (que diferencia burbujas de gas de lesiones polipoides) o con el Signo de las burbujas de jabón (en el íleo meconial). Tampoco, lógicamente con el Signo de la doble burbuja (en la obstrucción duodenal) y el Signo de la triple burbuja (en la obstrucción de yeyuno). Cada uno de estos signos se describe en la sección correspondiente.
En la radiografía simple de abdomen, el fundus gástrico lleno de líquido, produce una imagen redondeada con densidad de partes blandas que no debe confundirse con un tumor. En la imagen vemos el pseudotumor fúndico (flechas), también llamado pseudotumor del hipocondrio izquierdo. También se ha descrito el Signo del pseudotumor del hipocondrio derecho correspondiente al bulbo duodenal lleno de líquido.
La imagen de TC en la que se aprecia el fundus gástrico relleno de líquido y delimitado por la interfase con la grasa abdominal, justifica el signo de la placa de abdomen.
Signo de enfermedad de Crohn gástrica en el tránsito baritado. La afectación antral se manifiesta por estenosis suave y tubular, que se continúa con un cuerpo y fundus gástrico relativamente normales, lo que le da al estómago la morfología de un cuerno de carnero, tal como se mujestra en el esquema.
Este signo es muy difícil de ver, ya que la afectación gástrica en esta enfermedad es rara y, cuando existe, no suele verse en fase de avanzada deformidad gástrica.
Presentamos un caso de enfermedad de Crohn gástrica, en el que se ven grandes defectos de repleción pseudonodulares en la pared del estómago (flechas). La morfología del estómago está alterada pero no está presente el signo descrito. Las imágenes, del año 1974, fueron cedidas por el Dr. Guillermo Álvarez, de su maravilloso archivo de patología digestiva. Nuestro agradecimiento por su amabilidad.
Para saber más sobre este signo: http://www.ajronline.org/doi/pdf/10.2214/ajr.123.2.242.

