SIGNO DE BOURNE
La demostración de una fístula colo-vesical puede ser difícil con radiología. El enema opaco, la cistografía y la TC pueden no llegar a demostrarla. Sin embargo, la presencia de contraste baritado tras un enema opaco en una muestra de orina, detectado mediante una radiografía de la muestra, es signo de fístula colo-vesical, aunque no se demuestre ésta con otros métodos de imagen.
La fotografía muestra un líquido de alta densidad en un tarro de orina, con un poso de bario en el fondo.
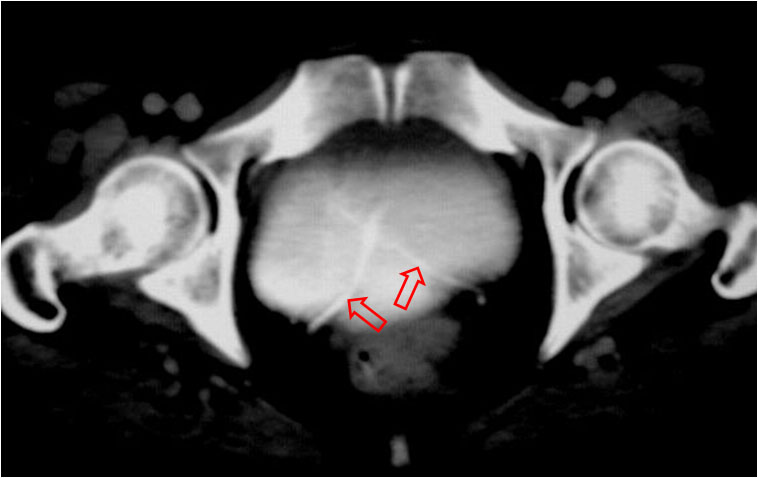
SIGNOS DE LA COLMENA Y DEL HERALDO
Signos de fístula colovesical en la cistografía. El extremo vesical de la fístula se asocia con la imagen de una deformidad biconvexa triangular (flechas verdes) que acaba en un punto bien definido, como si se insinuase el contraste en la boca de la fístula. De hecho puede verse contraste fuera de la vesícula, por encima de ese ángulo que forma el borde superior vesical.
En nombre del Signo de la colmena se debe a que la vejiga queda deformada adoptando una forma que recuerda a la celda de una colmena.
El Signo del heraldo es un signo temprano visible en el borde superior de la vejiga, en forma de semiluna. Es un hallazgo descrito en 1961 del que no hemos encontrado imágenes. Hemos marcado con flecha roja el borde semilunar de la vejiga, pero no sabemos si se trata en realidad de este hallazgo.
Heraldo en realidad significa “oficial o caballero que actuaba como mensajero o encargado de anunciar las noticias importantes” o “cosa que anuncia la llegada de otra”. Por ello algunos diarios han tomado este nombre, como El Heraldo de Aragón o el Herald Tribune. No vemos la relación entre este término y la deformidad de la vejiga descrita, a no ser que, al ser un signo precoz, anuncie la fístula antes de que sea visible.
También es posible que se trate de una mala traducción o una confusión entre heraldo y escudo heráldico. Por la forma de la imagen, que recuerda a un escudo o blasón, pensamos que el signo debiera llamarse, más bien, Signo del escudo heráldico.
SIGNO DEL CHORRO O JET URETERAL
En urografía intravenosa, no es infrecuente ver una imagen lineal radiodensa correspondiente al chorro de contraste que alcanza la vejiga desde el uréter, visible por la menor densidad del contenido vesical (mezcla de contraste y orina). Este signo indica que el uréter es permeable y excluye, por tanto, obstrucción. Debe diferenciarse de un uréter ectópico, el cual nunca cruza la línea media.
También puede verse el jet ureteral en la TC y en ecografía en tiempo real.
SIGNO DEL CHORRO O JET URETERAL INVERTIDO
Signo de crecimiento prostático en la fase excretora precoz de la urografía intravenosa. El crecimiento prostático provoca el levantamiento de los orificios de entrada de los uréteres a la vejiga y hace que el jet ureteral sea dirigido hacia arriba en vez de hacia abajo.
En la imagen vemos una gran hipertrofia prostática que levanta el suelo vesical (flecha negra) y altera la entrada de ambos uréteres (flechas rojas), si bien no vemos el jet.
SIGNO DE LA LÍNEA BLANCA
Signo que permite diferenciar un falso defecto de repleción vesical en la urografía debido a gas superpuesto, de un verdadero defecto por lesión intravesical. Consiste en la presencia de una delgada línea blanca, de unos 2 mm, que rodea al falso defecto y que corresponde a la pared rectal delimitada por el gas y por la grasa de los tejidos blandos circundantes.
El valor de este signo es muy relativo, ya que, cuando la repleción vesical no es completa, puede verse una imagen similar alrededor de un tumor vesical. Además, la presencia del gas en la radiografía de abdomen previa, el cambio de su morfología a lo largo del estudio o la falta de superposición en proyecciones oblicuas son más útiles. En la imagen vemos el gas rectal en la placa simple realizada antes de la administración de contraste. Las flechas marcan la línea blanca de la pared rectal.
SIGNO DE LAS OREJAS VESICALES
Variante de la normalidad visible hasta en un 10 % de niños, en la urografía intravenosa. Consiste en la presencia de prolongaciones laterales de la vejiga (flechas negras), que desaparecen con la distensión vesical. Corresponden a la herniación extraperitoneal, normalmente bilateral, de la vejiga que ocurre en niños menores de un año y que después normalmente desaparece.
En este caso se trata de un varón adulto en el que persisten estas prolongaciones.
El paciente también tiene calcificaciones prostáticas (flecha roja).
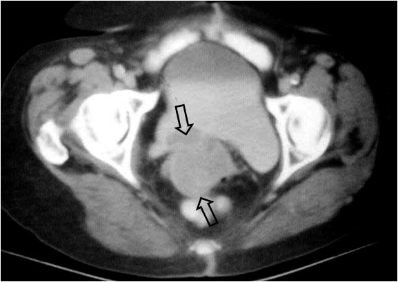
SIGNO DE LA PRÓSTATA FEMENINA
Signo visible en la urografía intravenosa o la cistografía de una mujer, correspondiente a una impresión en el suelo vesical similar a la impronta prostática del varón. Puede ser producida por lesiones neoplásicas o inflamatorias de la zona.
La imagen de TC corresponde a la misma paciente de la urografía, que presenta un tumor de cuello uterino -flechas negras- que infiltra la vejiga. Se trataba de un adenocarcinoma mucosecretor. La imagen recuerda a la impronta prostática en el TC.
Otro ejemplo de este signo en una paciente con hipertrofia del músculo elevador del ano.
SIGNO DEL RESPLANDOR SOLAR
Signo de rotura vesical extraperitoneal en la cistografía. La extravasación del contraste hacia los tejidos blandos extraperitoneales y, especialmente hacia el espacio prevesical de Retzius, da un aspecto característico de «llamaradas» o «resplandor solar“ (flechas verdes).
Obsérvese la fractura de rama ilio-pubiana derecha (flecha azul) y la diástasis de la articulación sacroilíaca izquierda (flecha amarilla).
SIGNO VESICAL
Signo visible en la radiografía simple de abdomen que permite diferenciar entre una vejiga muy distendida (globo vesical) y una masa pélvica de otro origen. La distensión de la vejiga se ve como una densidad homogénea redondeada u oval de borde superior definido, que ocupa la pelvis obliterando las zonas laterales de la pelvis y desplazando lateralmente el ciego y el sigma.
Las flechas negras marcan el borde superior vesical bien definido. Obsérvese el borramiento de planos grasos en la pelvis (flecha naranja), el desplazamiento lateral del ciego (flecha blanca) y superior del sigma (flecha roja).
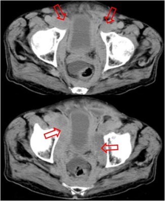
SIGNO DE LA VEJIGA DE PERA
Los traumatismos pélvicos, las adenopatías ilíacas bilaterales, la lipomatosis pélvica y otros procesos, producen una compresión bilateral de la vejiga, que adopta forma de lágrima o de pera.
En la imagen vemos la vejiga de pera en un paciente con traumatismo pélvico. Puede verse la fractura de la rama iliopubiana izquierda y la fractura de ala sacra con luxación sacroilíaca izquierda.
Otro ejemplo de vejiga de pera de origen diferente. Dos cortes contiguos de TC pélvico en un paciente con linfoma muestra el signo debido a la compresión por las masas adenopáticas bilaterales (flechas).
SIGNO DEL ESPAGUETI
Se trata de un defecto de repleción lineal en la vejiga, en pacientes con hematuria macroscópica. Corresponde a un coágulo cuya forma lineal indica que proviene del uréter, que hace de molde. El signo sirve para orientar la búsqueda del sangrado por encima de la vejiga. Aunque el Signo del espagueti se describió como una hallazgo de la urografía, también puede verse en otros métodos de imagen: cistografía, TC, ecografía y RM.
La imagen que mostramos no es real, es una simulación hecha con Photoshop, solo con fines docentes. La principal referencia bibliográfica es un artículo de Komolafe en AJR: The «spaguetti» sign: an uncommon radiologic sign of upper urinary tract hemorrhage. Pincha en el enlace: http://www.ajronline.org/doi/abs/10.2214/ajr.137.5.1062.
¿Tienes una imagen de este signo y quieres compartirla? Puedes enviarla a la dirección de correo enavs1@gmail.com. La pondremos junto a este texto y te citaremos.
SIGNO DEL PASTEL EN EL CIELO
Se refiere a la posición anómalamente elevada de la vejiga en un paciente con traumatismo pélvico, en el que se produce una disrupción de los ligamentos que fijan la vejiga y un hematoma que la levanta. En un signo poco frecuente de ver, cuya presencia nos debe inducir a pensar en una lesión uretral asociada.
Puedes ver un ejemplo en el magnífico artículo de Dyer, ya citado, sobre signos clásicos en urorradiología: http://xray.ufl.edu/files/2010/02/uroradiology.pdf.
SIGNO DEL OJO DE LA CERRADURA
La identificación de hidronefrosis por ecografía en un feto varón o en un recién nacido obliga a descartar que la causa sea la presencia de válvulas de uretra posterior. Ésta se reconoce por el engrosamiento de la pared de la vejiga y por la dilatación de la uretra posterior. El ojo de la cerradura se refiere a la imagen de la vejiga (que forma la parte superior redondeada) y la uretra posterior dilatada (la parte inferior de la cerradura). Se entiende mejor viendo un ejemplo: http://radiopaedia.org/articles/keyhole-sign.
¿Tienes una imagen de este signo y quieres compartirla? Puedes enviarla a la dirección de correo enavs1@gmail.com. La pondremos junto a este texto y te citaremos.
















