Miembro superior

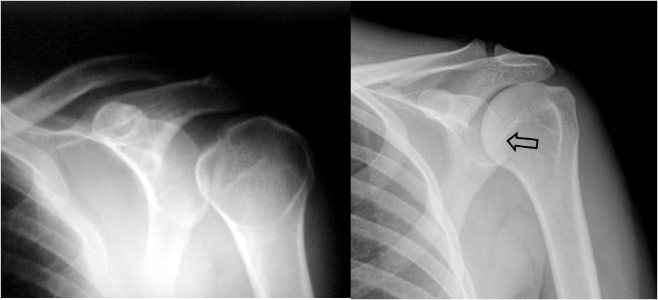
SIGNO DEL HOMBRO CAÍDO

HOMBRO CAIDP

Signo de subluxación inferior de la cabeza humeral, asociada a menudo a fractura, visible en la radiografía anteroposterior del hombro. La cabeza humeral está descendida, pero no existe luxación anterior o posterior del hombro. Suele asociarse a fractura del cuello humeral y es debida a hemartros o lesión músculo-ligamentosa asociada. También existen causas no traumáticas de hombro caído, como la hemiplejia o el compromiso del plexo braquial por un tumor.

La imagen muestra el signo en una luxación humeral (a la izquierda -flecha-) y una radiografía normal del hombro en la que se ve la posición de la cabeza humeral y su relación con la superficie articular eacapular y con la clavícula (a la derecha).

Para más información:  http://www.gentili.net/signs/69.htm.

Lev-Toaff y cols. «Drooping shoulder». Non traumatic causes of glenohumeral subluxation. Skeletal Radiology 1982 (12) 34-36.  http://link.springer.com/article/10.1007%2FBF00373173#page-1.

 

SIGNO DE LA SEMILUNA AUSENTE

SEMILUNA AUSENTE

En la radiografía anteroposterior de hombro normal, la cabeza humeral se solapa a la cavidad glenoidea, creando una imagen de semiluna. A la derecha podemos ver este hallazgo, marcado con la flecha negra.

En cambio, esta semiluna está ausente en la luxación posterior del húmero, tal como vemos en la fotografía de la izquierda.

Otro ejemplo en: http://www.gentili.net/signs/70.htm.

 

SIGNO DE LA ALMOHADILLA DEL CODO

CODO FAT PAD

En condiciones normales, existe una pequeña cantidad de grasa en la cápsula articular del codo, por fuera de la sinovial. En las radiografía laterales esta grasa no es visible ya que queda escondida en la concavidad del olécranon y en la fosa coronoidea.

Sin embargo, cuando se produce un derrame articular, traumático o no, se distiende la sinovial y se desplaza la grasa, produciendo unas radiolucencias triangulares anterior y posterior al extremo distal del húmero (flechas).

Referencias: http://pubs.rsna.org/doi/full/10.1148/radiol.2222000365.

http://www.gentili.net/signs/11.htm.

http://en.wikipedia.org/wiki/Fat_pad_sign.

Murphy WA, Siegel MJ. Elbow fat pads with new signs and extended differential diagnosis. Radiology 1977; 124: 659-665.

 

SIGNO DEL SUPINADOR CORTO

SUPINADOR2

Signo de fractura de la porción proximal del radio, especialmente del cuello, que consiste en el ensanchamiento, borramiento o desplazamiento de la línea grasa que cubre al músculo supinador corto.

En la imagen el plano graso está borrado (compara con la imagen normal, abajo). La flecha señala la fractura de la cabeza radial. En ocasiones está presente el signo y no es visible la fractura en las proyecciones convencionales, lo que nos obligará a realizar proyecciones adicionales o TC buscando una fractura oculta.

SUPINADOR

Radiografía lateral de codo normal que permite ver el plano graso que limita al músculo supinador corto (flechas).

 

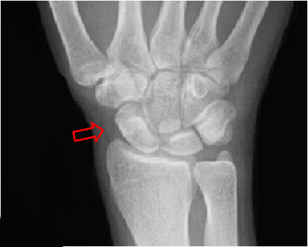
SIGNO DE LA BANDA DEL ESCAFOIDES

OLYMPUS DIGITAL CAMERA

La banda adiposa del escafoides es una imagen lineal o triangular de densidad grasa, que se localiza entre el escafoides y las vainas tendinosas del abductor largo y del extensor corto del pulgar. El borramiento o desplazamiento de esta línea se presenta en las fracturas del escafoides, de la apófisis estiloides radial o de la base del primer metacarpiano, aun cuando no se vea la línea de fractura. En el ejemplo puede verse el borramiento de la banda adiposa del escafoides y la fractura de este hueso.

ESCAFOIDES2La flecha marca la banda adiposa del escafoides en una radiografía normal.

 

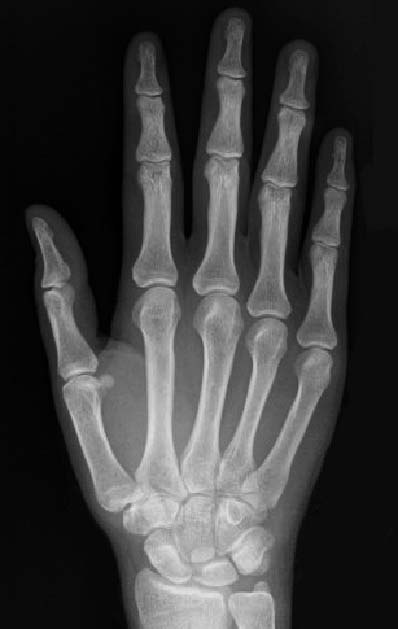
SIGNO DEL METACARPO

metacarpo

En sujetos normales, el trazado de una línea tangencial a los extremos distales de las cabezas del cuarto y quinto metacarpianos, se extiende distalmente a la cabeza del tercero. Sin embargo, cuando la línea corta la cabeza del tercer metacarpiano (signo del metacarpiano positivo) es por que existe un marcado acortamiento de los metacarpianos cuarto y quinto. Este hallazgo puede verse en el pseudohipoparatiroidismo, pseudo-pseudohipoparatiroidismo, disgenesia gonadal, hipertiroidismo neonatal, síndrome del nevus de células basales, displasia epifisaria múltiple, síndrome de Beckwith-Wiedemann, anemia de células falciformes , artritis reumatoide juvenil y traumatismos.

En la imagen puede verse el marcado acortamiento de los metacarpianos del tercer y cuarto dedo en un paciente con pseudohipoparatiroidismo.

metacarpo2

Imagen de una radiografía normal de la mano para comparar la altura de los metacarpianos.

 

SIGNO DE TERRY THOMAS

terry

Ensanchamiento del espacio articular entre el escafoides carpiano y el semilunar visible en la luxación escafo-semilunar. Recibe el nombre del actor británico Terry Thomas por el parecido de la imagen radiográfica con el de la dentadura del actor.

terry2

Otro ejemplo de este signo, a la izquierda. A la derecha, fotografía del célebre actor con su característica dentadura con separación de los incisivos superiores.

Pueden verse más signos en esta interesante página de músculo-esquelético: http://www.gentili.net/signs/.