SIGNO DEL CAMBIO MORFOLÓGICO
Signo de metástasis hepática en Resonancia Magnética. La diferencia de tamaño de una lesión cuando se comparan las imágenes obtenidas con secuencias T1 y T2, es indicativa de metástasis, debido al contenido acuoso peritumoral que es invisible en la secuencia T1.
Observa el cambio de la morfología de la lesión en las distintas secuencias.
SIGNO DEL ESTADO AMORFO
En Resonancia Magnética, se adjudica este signo a la lesión hepática no característica, heterogénea, con bordes irregulares y mal definidos, que representa el aspecto más frecuente de las metástasis. Las imágenes del signo anterior muestran también este signo.
SIGNO DE LA BOMBILLA
Se denomina así en Resonancia Magnética al nódulo o masa, de forma redondeada u ovalada, con bordes lisos y bien diferenciados y con señal de alta intensidad (similar a la del líquido cefalorraquídeo o la vesícula) en las secuencias potenciadas en T2. No corresponde a ninguna lesión específica, aunque el quiste simple y el hemangioma son las causas más frecuentes.
En la imagen vemos dos lesiones hepáticas brillantes de similar tamaño, correspondientes a quistes simples.
En este artículo de J Wittenberg y cols se cita este signo: http://www.ajronline.org/doi/pdf/10.2214/ajr.151.1.79.
SIGNO DEL LAVADO PERIFÉRICO
Signo de nódulo hepático maligno en Resonancia Magnética con contraste (gadolinio). La periferia del nódulo muestra un aclaramiento del contraste más rápido que el centro. Este hallazgo, no visto en lesiones benignas, guarda relación con la vascularización del tumor, mayor en la periferia, por ser la zona de crecimiento tumoral.
Es un signo poco sensible pero muy específico: 100 %. Se ha descrito en metástasis de tumor carcinoide y cánceres de mama, colon y estómago. El signo es más visible a los 10 minutos tras la administración de contraste.
Las imágenes corresponden a una simulación de lesión metastásica hepática en una secuencia de imágenes de RM tras la administración de contraste (gadolinio). Imágenes potenciadas en T1. Imagen 1: imagen obtenida precozmente en el que la lesión capta contraste de manera uniforme. Imagen 2: en una fase más tardía la periferia de la lesión va disminuyendo su brillo debido al lavado del contraste. Imagen 3: corte tardío en el que sólo una pequeña zona central de la lesión mantiene el realce por el contraste.
Para saber más puedes consultar: Mahfouz H-E y cols. Peripheral washout: a sign of malignancy on dynamic gadolinium-enhanced MR images of focal liver lesions. Radiology 1994; 190:49-52.
O También K M Elsayes y cols: Focal hepatic lesions: diagnostic value of enhancement pattern approach with contrast-enhanced 3D gradient-echo MR imaging. En http://pubs.rsna.org/doi/full/10.1148/rg.255045180.
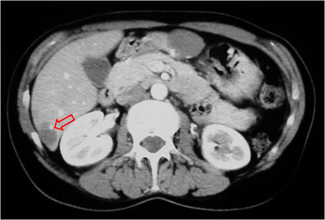
SIGNO DEL PUNTO BRILLANTE
Signo de hemangioma de comportamiento atípico. En el estudio de TC helicoidal de doble fase (fase arterial hepática y fase venosa portal), la mayoría de hemangiomas presentan un realce más precoz en la periferia y más tardío en el centro, pero hay hemangiomas atípicos que muestran una hipodensidad mantenida en las dos fases. La mayor parte de estos últimos muestran un punto brillante o más en al menos una de las dos fases.
El signo representa el relleno de contraste de un espacio vascular (flecha).
La referencia bibliográfica de este signo es: Hyun-Jung Jang y cols. Atypical small hemangiomas of the liver: «bright dot» sign at two-phase spiral CT. Radiology 1998; 208:543-548.
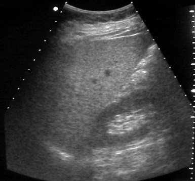
SIGNO DEL HÍGADO BRILLANTE
Signo visible en la ecografía, que consiste en el aumento de la ecogenicidad hepática de forma difusa, que se ve en la cirrosis y en la esteatosis hepática. En la imagen, el aumento de la ecogenicidad hepática se hace más evidente comparando con la ecogenicidad de la cortical renal.
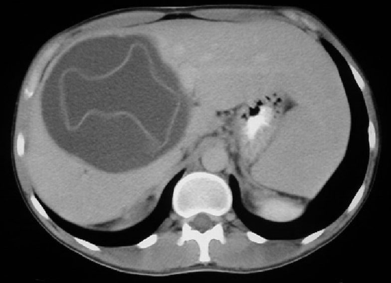
SIGNO DE LA DOBLE DIANA
Signo de absceso hepático piógeno en la TC con contraste. En fase precoz se observa un área central hipodensa (el absceso) rodeada de un anillo denso (la pared realzada) –flecha verde- y una zona externa de baja densidad (edema) –flecha amarilla-.
Puede encontrarse otro ejemplo y más información en http://www.eurorad.org/eurorad/case.php?id=10428.
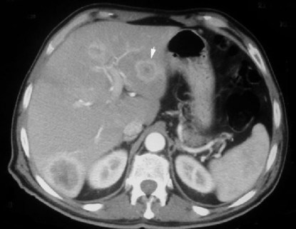
SIGNO DE LA RUEDA DENTRO DE LA RUEDA
El nombre de signo de la rueda dentro de la rueda o también llamado signo de la diana se da a la lesión redondeada con dos o más capas de diferente densidad o ecogenicidad. Puede verse en el hígado tanto en ecografía como en TC y está descrito en varias lesiones, como abscesos por Candida albicans y metástasis. En la imagen se ven metástasis por carcinoma de recto con este signo.
Lesiones hepáticas no filiadas mostrando este signo en ecografía.
SIGNO DE LA SERPIENTE
Signo de quiste hidatídico en el que se ha producido el colapso de las membranas parasitarias. Corresponde a una imagen lineal separada de la pared del quiste y plegada, visible tanto en ecografía como en TC y en resonancia.
Imagen de ecografía del mismo quiste hidatídico.
Otro signo, el del remolino, tiene el mismo significado que el de la serpiente, aunque el plegado de las membranas del quiste le confiere esta forma.
SIGNO DE LA VESÍCULA HIJA
En el quiste hidatídico hepático y otros órganos abdominales, la presencia de vesículas hijas (quistes dentro del quiste) puede verse tanto en la ecografía como en el TC (flechas blancas) y en resonancia magnética. Además del quiste del lóbulo hepático izquierdo, que muestra el signo, hay otro quiste hidatídico con pared calcificada en el lóbulo hepático derecho (flecha roja).
Más información en: von Sinner, WN. New diagnostic signs in hydatid disease: radiography, ultrasound, CT and MRI correlated to pathology. European Journal of Radiology 1991; 12:150-159.
Y también en el artículo de Iván Pedrosa y cols en Radiographics: Hydatic disease: radiologic and pathologic features and complications. En: http://pubs.rsna.org/doi/full/10.1148/radiographics.20.3.g00ma06795.
SIGNO DEL COLLAR PERIPORTAL
Signo visible en TC con contraste que consiste en una zona de baja atenuación alrededor de los vasos portales. Aunque se ha visto en pacientes con hepatitis vírica, edema periportal, etc, su principal valor es como signo de rechazo agudo en pacientes con trasplante hepático (donde su sensibilidad es de 1 y su especificidad de 0,86).
El signo se debe a la presencia de infiltración linfocitaria portal que ocurre en el rechazo.
El artículo de referencia es de R J Wechsler en Radiology: The periportal collar: a CT sign of liver transplant rejection. El abstract se enlaza aquí: http://pubs.rsna.org/doi/abs/10.1148/radiology.165.1.3306790.
SIGNO DE LA FOSA VESICULAR EXPANDIDA
Signo descrito en RM pero visible también en TC y ecografía, que consiste en un ensanchamiento del espacio pericolecístico o fosa vesicular y que está presente en pacientes cirróticos, formando parte de los cambios morfológicos hepáticos en estos pacientes, como la hipertrofia del lóbulo caudado y el segmento lateral del lóbulo hepático izquierdo o la atrofia del lóbulo derecho.
En pacientes normales, la vesícula está localizada entre el lóbulo hepático derecho y el segmento medial del lóbulo hepático izquierdo. En los cirróticos, la fosa vesicular está aumentada de tamaño, ocupada por grasa y, en ocasiones, pequeñas venas colaterales.
El signo ha sido descrito por Katsuyoshi Ito y cols. El artículo Expanded gallbladder fossa: simple RM imaging sign of cirrhosis puede consultarse en http://pubs.rsna.org/doi/full/10.1148/radiology.211.3.r99ma31723.
SIGNO DE LA LÍNEA RECTA
Signo inicialmente descrito por Tyrrel (1989) en la angioportografía CT (el contraste se administraba a través de un catéter colocado en la arteria hepática) consistente en una línea recta que separa dos zonas hepáticas de diferente perfusión. El signo se describió como hallazgo por la presencia de un tumor próximo al hilio que compromete o invade una rama portal, provocando un área de hipoperfusión de márgenes geográficos distal a la lesión.
Sin embargo, se trata de un signo inespecífico, que posteriormente, se ha descrito en muchas patologías, tales como esteatosis hepática, fibrosis confluente, hepatitis por radiación y anomalías vasculares como trombosis, compresión y shunt arterioportal.
Más información en:
El artículo de Tyrrel: http://pubs.rsna.org/doi/abs/10.1148/radiology.173.3.2813765?journalCode=radiology.
Artículo de Yuji Itai, M en Radiographics (1995): http://pubs.rsna.org/doi/pdf/10.1148/radiographics.15.5.75.
SIGNO DEL HILO Y LA VENA
Signo visible en fase precoz de la arteriografía hepática y que consiste en una opacificación lineal de la vena porta. Representa el crecimiento de un tumor (hepatocarcinoma más frecuentemente) en el interior de la porta, formando un molde dentro de la vena. El relleno vascular precoz se debe a la opacificación de espacios vasculares tanto arteriales como venosos localizados dentro del tumor y alrededor de él.
Además de en el hepatocarcinoma, el signo puede verse en otros tumores hipervasculares que crecen en el interior de una vena, como tumor renal dentro de la vena renal o sarcoma retroperitoneal dentro de la vena cava.
El nombre inglés del signo (thread and streak sign) es de difícil traducción -streak también significa raya-, y no resulta muy gráfico.
Puede consultarse el artículo de Björn-Werner Raab en Radiology «The thread and streak sign» de 2005 en este enlace: http://pubs.rsna.org/doi/pdf/10.1148/radiol.2361030114.
