SIGNO DEL DELTA VACÍO

Este es un signo visible en la TC craneal con contraste intravenoso, que consiste en un área triangular de alta densidad con una zona central hipodensa, localizada en la zona del seno sagital superior, es decir en la línea media posterior de la caja craneal. Fue descrito por Buonnano en 1978.
El signo representa la trombosis del seno sagital (el área central hipodensa) rodeado de una rica circulación colateral dural (el triángulo hiperdenso periférico). El nombre delta hace referencia a la letra griega delta mayúscula, de forma triangular.
En la siguiente dirección se accede al artículo de Radiology acerca de este signo.
http://pubs.rsna.org/doi/full/10.1148/radiol.2243990978
Otros signos de trombosis venosa con menos sensibilidad y especificidad que el signo del delta vacío son el signo del triángulo denso, el signo de la cuerda, el aumento de densidad de la hoz o del tentorio, las hemorragias corticales y subcorticales, edema e infartos venosos.
No debe confundirse el signo del delta vacío con el signo del pseudodelta, visible en la TC sin contraste (Ver Otros signos de Neuro).
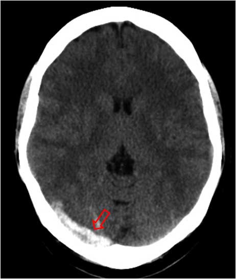
SIGNO DEL TRIÁNGULO DENSO
Este es un signo visible en la TC craneal sin contraste intravenoso, que consiste en un área triangular de alta densidad localizada en la zona del seno sagital superior, es decir en la línea media posterior de la caja craneal. Representa el trombo ocupando el seno venoso.
La hiperdensidad, como en el signo de la arteria cerebral media hiperdensa y otros signos afines, se debe a que el trombo presenta una mayor densidad que la sangre circulante debido a una mayor cantidad de fibrinógeno y proteínas y a una menor cantidad de suero.

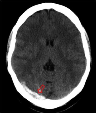
En el mismo paciente, un corte mas caudal muestra el trombo extendiéndose por el seno transverso derecho.
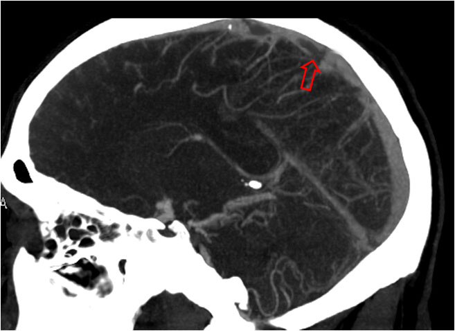
SIGNO DE LA CUERDA
Es un signo visible en la TC craneal sin contraste y que corresponde a pequeñas venas corticales trombosadas. Es un hallazgo poco frecuente consistente en una imagen lineal densa sinuosa que ocupa un surco de la convexidad (flecha), que puede confundirse con hemorragia subaracnoidea. Se observa además una pequeña zona hiperdensa en el lóbulo parietal derecho correspondiente a un infarto venoso hemorrágico.
En el mismo paciente, un corte más apical en la TC craneal sin contraste (a la izquierda) muestra la hiperdensidad del seno longitudinal (flecha) por trombosis. La imagen de la derecha es una reconstrucción sagital de línea media del angioTC. La flecha señala un defecto de repleción por trombo en el interior del seno. Existe otro defecto más anterior. Se trataba, pues, de una trombosis parcial. Por esa razón no se ve el signo del triángulo denso en el primer corte.
Aquí tienes una referencia: http://radiology-files.blogspot.com.es/2012/08/cord-sign-in-cerebral-venous-thrombosis.html



