La espondilolisis consiste en la rotura de la pars interarticularis de la vértebra, más frecuentemente en L5. Parece que no se trata de una auténtica rotura, sino de una deficiencia congénita en la formación del hueso. Aunque puede producirse de una manera traumática, en estos casos se produce por microtraumatismos repetidos más que por un único evento traumático, por lo que hemos preferido situar los signos de espondilolisis en el bloque de Columna no traumática.
SIGNO DEL ANILLO INCOMPLETO
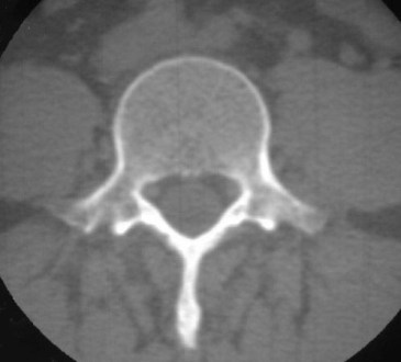
Cuando revisamos la columna lumbar de un paciente en una TC, cada vértebra debe tener al menos un corte en que se vea un anillo vertebral completo, formado por el cuerpo por delante, los pedículos y las láminas a los lados y, cerrando en la parte posterior, la base de las apófisis espinosas.
Sin embargo, la rotura de la pars interarticularis (espondilolisis) provoca una interrupción del anillo vertebral, separando los elementos posteriores de las masas laterales. La imagen corresponde a un anillo incompleto por espondilolisis bilateral (flechas). No debe confundirse esta imagen con las articulaciones interapofisarias, situadas por encima (las de L4-L5) y por debajo (L5-S1) de este plano.
Esta imagen corresponde al plano del anillo completo.
Arrtículo de referencia: Langston JW, Gavant ML. «Incomplete ring» sign: a simple method for CT detection of spondylolysis. JCAT 1985; 9: 728-729.
SIGNO DEL COLLAR DEL PERRITO
Signo de espondilolisis en la radiografía oblicua de columna lumbar. La imagen del perrito, un hallazgo clásico en radiología, está formada por: la apófisis transversa (la nariz), el pedículo (el ojo), la pars interarticularis (el cuello), la apófisis articular superior (la oreja) y la apófisis articular inferior (la pataa delantera).
El collar del perrito es la línea radiolucente (flecha) por rotura de la pars interarticularis.
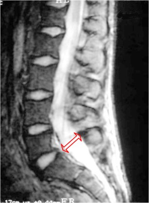
SIGNO DEL CANAL ANCHO
El aumento del diámetro anteroposterior del canal espinal en cortes sagitales de línea media en resonancia magnética se ha descrito como signo de espondilolistesis por espondilolisis, a diferencia de la espondilolistesis degenerativa.
El corte axial confirma el aumento del diámetro anteroposterior del canal y la espondilolisis L5 bilateral (bandas hipointensas marcadas con las flechas).
Aunque el signo se describió en RM, también es visible en las reconstrucciones sagitales de TC. El artículo que describe el signo es: Ulmer, JL y cols. Distinction between degenerative and isthmic spondylo-listesis on sagittal MR images: importance of increased antero-posterior diameter of the spinal canal («wide canal sign»). AJR 1994; 163: 411-416.
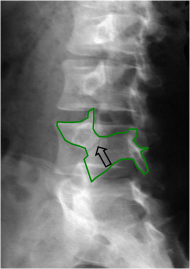
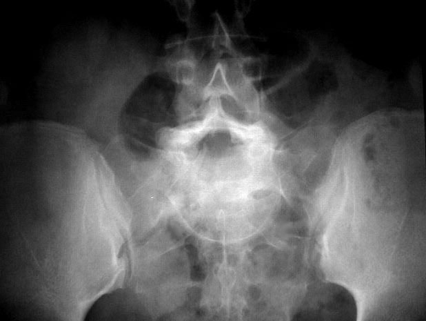
SIGNO DEL SOMBRERO DE NAPOLEÓN INVERTIDO
Signo de espondilolistesis L5-S1 en la radiografía anteroposterior de columna lumbar. El cuerpo vertebral de L5 desplazado y superpuesto al sacro da esta característica apariencia.
Este signo también lo hemos encontrado descrito como Signo de la línea de arco de Brailsford.
La misma imagen anterior con la imagen superpuesta del sombrero de Napoleón boca abajo.
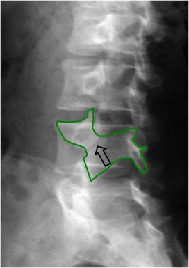
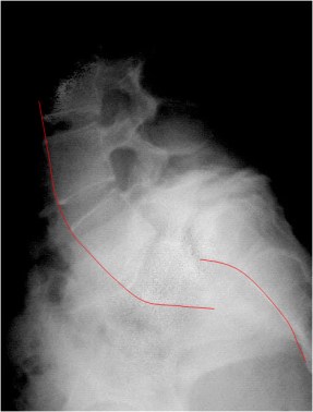
Aunque la radiografía lateral del mismo paciente no es muy buena, permite ver la marcada espondilolistesis L5-S1. La línea roja, que muestra los bordes anteriores de las vértebras lumbares y sacras, está claramente desalineada.
Este y otros signos de radiología músculo-esquelética pueden verse en la interesante página de semiología de Gentili y cols, http://www.gentili.net/signs/







