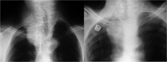
SIGNO CERVICOTORÁCICO
Observa estas dos imágenes que parecen similares. En ambas hay un aumento de densidad en la parte superior del contorno mediastínico derecho. Sin embargo, la de la izquierda se extiende por encima de la sombra de la clavícula, mientras que la de la izquierda acaba a la altura de ésta. En la radiografía posteroanterior de tórax, si una lesión mediastínica sobrepasa el borde superior de la clavícula, debe ser posterior, ya que el mediastino anterior no sobrepasa ese nivel. En el caso de la imagen izquierda hablamos de signo cervicotorácico positivo y en la imagen derecha de signo cervicotorácico negativo.
La imagen de la izquierda se trataba efectivamente de una lesión posterior, concretamente de una metástasis vertebral (flecha roja), mientras que la de la derecha es una elongación de troncos supraaórticos. La flecha blanca señala la arteria subclavia derecha. Esta está en contacto con el pulmón y por tanto puede verse su contorno lateral. Por encima de este plano (a la altura del borde medial de la clavícula) el vaso queda rodeado de la grasa mediastínica y por tanto su contorno desaparece (hace silueta).
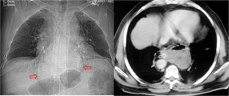
SIGNO TORACOABDOMINAL o DEL ICEBERG
Signo de utilidad para determinar la localización de una masa en la encrucijada toracoabdominal. Si la masa está bien definida y tiene bordes convergentes en forma de paréntesis –como en la imagen-, a ambos lados de la columna, es torácica, porque queda dibujada por el aire que la rodea. Por el contrario, cuando los bordes son divergentes, suele tratarse de masas abdominales (adenopatías, aneurismas).
SIGNO DE LOS CUATRO VASOS
En la TC de tórax normal, las cuatro arterias supraaórticas (ambas carótidas y ambas subclavias) sólo se ven en los cortes más craneales del mediastino, cuando se ha dividido el tronco braquiocefálico derecho. Por ello, cuando se ven los cuatro vasos inmediatamente por encima del cayado, suele existir alguna anomalía vascular mediastínica, normalmente con afectación del cayado.
En la imagen vemos los cuatro vasos (flechas) en un plano inmediatamente por encima del cayado aórtico.
Un corte en un plano inmediatamente inferior al anterior, a la altura del cayado, muestra la anomalía que causa el signo: la disposición a la derecha del arco aórtico.
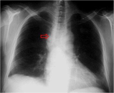
SIGNO DEL ESPACIO LIBRE
En la radiografía postero-anterior de tórax, en condiciones normales, existe un espacio libre delimitado por el arco aórtico, la arteria pulmonar izquierda y los vasos de lóbulo superior izquierdo. Este espacio también es conocido como ventana aorto-pulmonar). La ocupación de este espacio de lugar a la formación de un margen externo convexo en la ventana aorto-pulmonar, que puede ser el primer signo de la presencia de una adenopatía mediastínica izquierda y una señal de neoplasia o enfermedad granulomatosa.
Mostramos un paciente con adenopatías en la ventana aorto-pulmonar (flecha), que también presenta adenopatías hiliares.
Proyección lateral del mismo paciente que muestra un aumento de densidad correspondiente a las adenopatías hiliares y en la ventana aorto-pulmonar.
Radiografía PA normal con la ventana aorto-pulmonar normal (flecha).
SIGNO DEL ENGROSAMIENTO DE LA LÍNEA PARATRAQUEAL DERECHA
La línea paratraqueal derecha es una línea de densidad agua que desciende entre el margen derecho de la luz traqueal y el pulmón derecho. En sujetos normales esta línea no debe superar los 4 mm. El ensanchamiento igual o superior a 5 mm es una evidencia inequívoca de patología. El diagnóstico diferencial incluye adenopatías, inflamación o hemorragia mediastínicas, engrosamiento o derrame pleural y patología traqueal.
En la radiografía se puede ver el engrosamiento de la línea paratraqueal derecha (flecha) que corresponde a una masa.
La TC muestra la masa mediastínica que ensancha el espacio paratraqueal derecho que justifica el signo (flechas). En este caso se trata de un conglomerado de adenopatías.
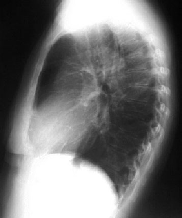
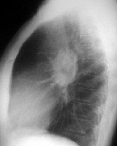
SIGNO DEL ENGROSAMIENTO DE LA LÍNEA PARATRAQUEAL POSTERIOR
La línea traqueal posterior se produce por la interfase entre la pared posterior traqueal derecha y la pleura que recubre el pulmón que ocupa el receso retrotraqueal derecho. El engrosamiento de la línea mayor de 4.5 mm es muy sugerente de carcinoma esofágico, aunque también se ha descrito en obstrucción esofágica (especialmente en la achalasia) y en pacientes con enfermedad pulmonar obstructiva crónica o con enfermedad granulomatosa.
En la primera imagen vemos que en el espacio paratraqueal posterior la línea de la pared traqueal se ha perdido, existiendo una interfase aire (luz traqueal) / densidad agua (ocupación del espacio paratraqueal posterior). También se aprecia un arqueamiento hacia adelante de la luz traqueal. La siguiente radiografía muestra una proyección lateral de tórax normal con la luz traqueal recta y la línea paratraqueal posterior conservada.
El corte de TC muestra la masa esofágica (flecha roja) que corresponde a un carcinoma de esófago. Observa como desplaza anteriormente la tráquea. En el estudio baritado del esófago puede verse una estenosis irregular de la luz producida por la neoplasia (flecha blanca).
SIGNO DEL AIRE ESOFÁGICO
La presencia de aire esofágico sin nivel hidroaéreo en la radiografía de tórax en bipedestación, se ha descrito como imagen sugestiva, aunque no típica, de esclerodermia. Se atribuye a disfunción de la musculatura lisa que conlleva una disminución del peristaltismo junto a la limitación de la capacidad de coaptación de las paredes esofágicas.
Cuando está presente, además un nivel hidroaéreo, la imagen sugiere obstrucción distal (tumor, estenosis o achalasia) y se acompaña de escasa o nula presencia de gas en la cámara gástrica.
La radiografía corresponde a un paciente con achalasia que muestra el signo del aire esofágico (flecha blanca). La flecha negra marca la luz traqueal y la roja el bronquio principal izquierdo, por lo que la carina está desplazada a la derecha. Hay un nivel hidroaéreo (flecha verde) en el tercio inferior y una densidad de partes blandas en la luz esofágica (flecha azul).
El estudio baritado del esófago confirma la dilatación de la luz esofágica con dificultad de vaciamiento por achalasia. Existe una estenosis irregular por carcinoma en el tercio medio que justifica la densidad de partes blandas intraluminal en la radiografía de tórax.
SIGNO DE LA SONDA ENROLLADA
La atresia esofágica es una anomalía congénita que puede sospecharse en la ecografía prenatal cuando existe polihidramnios y retraso en el crecimiento fetal.
En el recién nacido con sospecha de atresia esofágica, la demostración radiológica del bucle que forma la sonda nasogástrica en el nivel de obstrucción (flechas), es diagnóstica. En la imagen derecha vemos el estudio baritado, confirmando la atresia al demostrar un extremo ciego de la luz esofágica.
La presencia de aire en la cámara gástrica y en intestino indica que, además de la atresia, existe una fístula tráqueo-esofágica. Existen varias malformaciones vertebrales (hemivértebras y fusiones) así como trece pares de costillas.












