SIGNO DE LA BOTELLA DE COCA COLA
Singo visible en el estudio de órbitas con TC o RM y que se refiere a la apariencia que adoptan los músculos orbitarios en la orbitopatía tiroidea, más comúnmente causada por enfermedad de Graves.
La afectación muscular provoca un engrosamiento de los vientres musculares pero respeta la inserciones tendinosas en el globo ocular, por lo que esta forma del músculo recuerda a la botella del refresco.
Este signo permite diferenciar la enfermedad de Graves del pseudotumor orbitario, en el que también existe un engrosamiento de los músculos orbitarios pero que no respeta las inserciones tendinosas.
Los músculos más frecuentemente afectados son los rectos inferiores, seguidos de los mediales, superiores, laterales y, finalmente, los oblicuos.
Más información en: http://radiopaedia.org/articles/thyroid-associated-orbitopathy
SIGNO DE LA CABEZA DE MEDUSA
Signo clásico de la angiografía cerebral, también visible en la TC con contraste y en la resonancia magnética, que corresponde a un angioma venoso cerebral o una anomalía venosa congénita.
La imagen está formada por múltiples estructuras vasculares que convergen hacia un punto en el parénquima cerebral. En la TC con contraste se ven como líneas densas. En la RM la intensidad de señal puede ser variable en función de la secuencia. En la imagen se ven líneas hiperintensas en una secuencia T1 con gadolinio.
El nombre del signo, Medusa, hace referencia a un monstruo de la mitología griega que se representa como una cabeza con serpientes.
http://www.researchgate.net/publication/13674190_The_caput_medusae_sign
SIGNO DEL CEREBELO BLANCO o SIGNO INVERSO

Las imágenes muestran el cerebelo blanco. Se trataba de una niña que sufrió ahogamiento en una piscina.
Es un signo de edema cerebral difuso en la TC, también llamado signo del cerebelo denso o signo inverso (reversal sign). El cerebro muestra una disminución difusa de la densidad y una pérdida de la diferenciación entre la sustancia gris y la sustancia blanca, mientras que, el cerebelo -en cambio- está relativamente hiperdenso con respecto a los hemisferios cerebrales. También quedan respetados los tálamos y el tronco cerebral.
Este signo se ha descrito en cuadros de daño cerebral hipóxico como asfixia neonatal, ahogamiento, status epiléptico, meningitis bacteriana y encefalitis. Indica un daño cerebral irreversible con pésimo pronóstico.
No se conoce con exactitud la fisiopatología pero se postula que se produce por redistribución del flujo inracraneal con preservación de la circulación posterior y edema cerebral secundario.
La imagen corresponde a una niña que sufrió un ahogamiento en una piscina.
Más información:
http://www.neurologia.com/pdf/Web/5801/bl010043.pdf
http://pubs.rsna.org/doi/full/10.1148/radiol.2453050112
SIGNO DEL CEREBRO EN TORTA
Este signo describe la apariencia anormal del cerebro en la holoprosencefalia alobar, en la que existe una fusión de ambos hemisferios cerebrales con un ventrículo único en el centro.
La holoprosencefalia es una rara malformación congénita cerebral, en la que se produce un grado variable de división incompleta del prosencéfalo durante el desarrollo embrionario. De los tres tipos, alobar, semilobar y lobar, ésta última es la más severa, ya que representa la fusión completa de los hemisferios cerebrales, el diencéfalo, los ganglios de la base y los tálamos.
Este es un caso grave de holoprosencefalia alobar con una gran ventrículo central, tan grande que realmente el signo del pankake no es visible, ya que éste se debe a la fusión de los dos hemisferios. En este caso queda poco de los hemisferios, empujados a la periferia del cráneo. No obstante es una imagen muy interesante y que valía la pena poner.
Imagen del mismo paciente, en una reconstrucción sagital de la TC.
El caso ha sido enviado por Santiago Casares Pérez, un internista formado en Segovia y recientemente jubilado. Muchas gracias por enviarnos las imágenes. Así aprendemos todos.
¿Tienes una imagen de este signo y quieres compartirla? Puedes enviarla a la dirección de correo enavs1@gmail.com. La pondremos junto a este texto y te citaremos.
SIGNO DE LA COLA DURAL
Este signo es visible en imágenes de resonancia magnética con gadolinio y consiste en el engrosamiento y realce de la duramadre adyacente a una masa, y que simula la forma de cola surgiendo de la masa.
Aunque el signo se describió como específico de meningioma y se pensó que representaba infiltración tumoral de la duramadre, la cola pleural se ha visto en otros tumores como cloroma, linfoma cerebral primario, sarcoidosis, schwanoma vestibular, metástasis y goma sifilítico.
En el caso del meningioma, el signo está presente en un 60-72 % de pacientes y se cree que el hallazgo es debido a cambios reactivos en la meninge adyacente.
Más información acerca de este signo en: http://pubs.rsna.org/doi/full/10.1148/radiol.2331021332
SIGNO DEL CUCURUCHO DE HELADO (en el peñasco normal)
El signo del cucurucho de helado representa el aspecto normal de la articulación entre el yunque y el martillo en la imagen axial de la TC de peñascos. La bola del helado corresponde al martillo y el cucurucho al cuerpo del yunque.
Este hallazgo de normalidad debe buscarse en todos los estudios de peñascos para reconocer la normalidad de la cadena osicular.
SIGNO DEL CUCURUCHO DE HELADO (en el neurinoma acústico)

Neurinoma del VIII par en una TC con contraste (la bola de helado marcada en azul). El CAI (marcado en rojo pero no visible en esta ventana) corresponde al cucurucho.
Con el nombre de signo del cucurucho de helado se describe la típica apariencia del schwanoma del nervio acústico (VIII par craneal), en parte creciendo en el interior del conducto auditivo interno y en parte en el ángulo pontocerebeloso. La extensión intracanalicular es muy característica de este tumor, pero no exclusiva. El cucurucho corresponde a la porción en el interior del conducto auditivo interno y la bola de helado a la porción extracanilicular, que crece en el ángulo pontocerebeloso.
SIGNO DEL FUJIYAMA O MONTE FUJI
Es un signo visible en la TC craneal y corresponde a neumoencéfalo subdural a tensión. En neumoencéfalo, que puede presentarse como complicación de un traumatismo cráneo-facial o un procedimiento quirúrgico craneal, se coloca en la parte anterior de la caja craneal y se muestra como colecciones con valores de atenuación similares al aire que rodea ambos lóbulos frontales abombando su superficie y ensanchando la cisura interhemisférica.
El aspecto de los lóbulos frontales abombados y con una separación interhemisférica recuerda la silueta de un volcán, de ahí que el descriptor del signo, Ishiwata, le diera el nombre de Monte Fuji o Fujiyama.
Es muy importante el reconocimiento de este signo, ya que el neumoencéfalo a tensión es una emergencia neuroquirúrgica.
Si quieres saber más, aquí tienes enlaces interesantes: http://pubs.rsna.org/doi/full/10.1148/radiol.2322021556
http://www.sciencedirect.com/science/article/pii/S0048761914000544
SIGNO DEL INFUNDÍBULO
Este signo está en desuso. Pertenece a la larga nómina de signos radiológicos de exploraciones abandonadas con la llegada de nuevas técnicas. Era un hallazgo visible en la TC hipofisaria, una técnica que dejó de hacerse con la llegada de la resonancia. Para el diagnóstico de patología hipofisaria se realizaba un estudio de TC con contraste con el paciente en decúbito supino e hiperextenxión del cuello y angulación craneal del gantry, o con el paciente en decúbito prono con el cuello hiperextendido y angulación caudal del gantry.
En el síndrome de silla turca vacía, la demostración del infundíbulo hipofisario recorriendo la silla turca permitía el diagnóstico de silla turca vacía primaria, excluyendo otras causas (masas quísticas o cavitadas intraselares como quiste aracnoideo intraselar, adenoma hipofisario cavitado, craneofaringioma intraselar y quiste de la hendidura de Rathke) que elevarían el infundíbulo fuera de la silla.
Si quieres saber más y ver imágenes puedes consultar en: http://www.ajronline.org/doi/pdf/10.2214/ajr.136.2.293
SIGNO DEL OJO DEL TIGRE
Este signo se produce por la marcada disminución de intensidad de señal en los núcleos pálidos en secuencias T2, con una pequeña zona hiperintensa central, lo que recuerda al ojo de tigre. Este signo es visto en el Síndrome de Hallervorden-Spatz, hoy en día conocido como neurodegeneración por acumulo cerebral de hierro o neurodegeneración asociada a la pantotenato quinasa.
La disminución de señal es debida a la acumulación de hierro en los globos pálidos, y la zona central hiperintensa es atribuida a gliosis, aumento del contenido de agua y pérdida neuronal.
Esta enfermedad es un trastorno neurodegenerativo que cursa con disfunción extrapiramidad y demencia, y está causada por la mutación del gen de la
pantotenato quinasa 2.
El signo es importante para la diferenciación con la distrofia axonal infantil, que no muestra depósito de hierro. Sin embargo, no es un signo específico, ya que se ha descrito en otros trastornos parkinsonianos extrapiramidales como la degeneración gliónica cortical-basal el Steele-Richardson-Olszewski y el parkinsonismo sensible a levodopa.
En la siguiente dirección encontrarás el artículo de Radiology sobre este signo:
http://pubs.rsna.org/doi/full/10.1148/radiology.217.3.r00dc31895
¿Tienes una imagen de este signo y quieres compartirla? Puedes enviarla a la dirección de correo enavs1@gmail.com. La pondremos junto a este texto y te citaremos.
SIGNO DEL PSEUDODELTA

Hemorragia alrededor del seno longitudinal (flecha) en un paciente con TCE. A la derecha pueden verse hematomas subdurales en ambas convexidades -que comprimen el sistema ventricular- y un hematoma subdural de la hoz.
Puede verse un signo pseudodelta en TC sin contraste en pacientes con hemorragia subaracnoidea o subdural (con frecuencia tras traumatismo craneo-encefálico) o con empiema subdural alrededor del seno sagital o longitudinal.
La imagen es similar a la del signo del delta vacío, pero el signo del pseudodelta se ve en estudios sin contraste. La hipodensidad central corresponde a la sangre que circula por el seno sagital superior mientras que la hiperdensidad triangular periférica es debida a la hemorragia subdural o subaracnoidea aguda o a la infección meníngea.
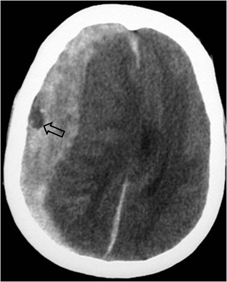
SIGNO DEL REMOLINO
El signo del remolino es visible en la TC sin contraste que consiste en una zona hipodensa con aspecto arremolinado en el seno de una colección de sangre epidural hiperdensa. Se trata de un signo de mal pronóstico que representa una zona de sangrado activo, es decir de sangre no coagulada y por tanto hipodensa dentro del hematoma típicamente hiperdenso (entre 50 y 70 unidades Hunsfield).
En un estudio (http://www.biomedcentral.com/1471-2377/12/109) Selario y cols encontraron el signo en el 30 % de hematomas epidurales revisados. Los pacientes tenían un pronóstico mucho peor que aquellos con hematomas epidurales sin remolino, con un 61 % de mortalidad al mes del hallazgo frente al 21 % de los pacientes que no presentaban el remolino.
Puedes encontrar más información en: http://pubs.rsna.org/doi/full/10.1148/radiology.218.2.r01fe09433
También existe un signo del remolino visible en la TC de abdomen e pacientes con vólvulo de intestino delgado.
SIGNO DE LA SAL Y LA PIMIENTA
Signo visible en RM en pacientes con paraganglioma, un tumor hipervascular. El nombre del signo hace referencia a la alternancia de focos hipointensos e hiperintensos en el tumor. Los focos hipointensos (la pimienta) son debidos múltiples áreas de vacío de señal vasculares, y los focos hiperintensos (la sal) corresponden a vasos con flujo lento o hemorragias.
Este signo no es específico de tumor glómico, ya que se ha descrito en otras lesiones hipervasculares como metástasis de hipernefroma o de carcinoma de tiroides.
También hay un signo de la sal y la pimienta visible en la radiografía simple de cráneo en pacientes con mieloma múltiple.
SIGNO DE LA SILUETA DEL PINGÜINO
Signo visible en cortes sagitales de línea media de RM cerebral, que se ha descrito como diagnóstico de parálisis supranuclear progresiva y la diferencia de enfermedad de Parkinson y de la atrofia multisistema tipo Parkinson.
La imagen sagital de línea media en pacientes con Parkinson no muestran anormalidades, mientras que en la parálisis supranuclear progresiva muestran marcada atrofia del mesencéfalo y en la atrofia multisistema tipo Parkinson se presenta una marcada atrofia de la protuberancia. En la parálisis supranuclear progresiva la forma del tegmento mesentefálico (la cabeza) y la protuberancia (el cuerpo) recuerda a la silueta lateral de un pingüino, en concreto el pingüino real, que posee una cabeza pequeña y un cuerpo grande.
Si te ha parecido interesante, puedes saber más en: http://www.neurology.org/content/64/12/2050.full
¿Tienes una imagen de este signo y quieres compartirla? Puedes enviarla a la dirección de correo enavs1@gmail.com. La pondremos junto a este texto y te citaremos.
SIGNO DE LA SUSTANCIA BLANCA DESPLAZADA

Dos ejemplos de este signo. A la izquierda, una imagen de TC con un hematoma epidural. A la derecha una RM con un meningioma.
Este en un signo que puede verse tanto en la TC como en RM y que permite reconocer las lesiones intracraneales extraaxiales diferenciándolas de las intraaxiales. En las primeras, fundamentalmente el meningioma y las colecciones extraaxiales (subdural y epidural), se produce un desplazamiento medial de la interlínea entre la sustancia gris y la sustancia blanca, mientras que en las lesiones intraaxiales periféricas la interlínea entre ambas sustancias no se altera.
Es cierto que el diagnóstico de meningiomas típicos y colecciones extraaxiales suele ser obvio en muchos casos, por lo que el valor de este signo en estas lesiones es escaso. Sin embargo, en los meningiomas atípicos, en los hematomas isodensos y en otras lesiones extraaxiales de otra naturaleza, la localización intra/extraaxial es clave para elaborar el diagnóstico diferencial de la lesión.
En el siguiente enlace encontrarás más información sobre el signo:
http://www.ajronline.org/doi/pdf/10.2214/ajr.135.5.1031
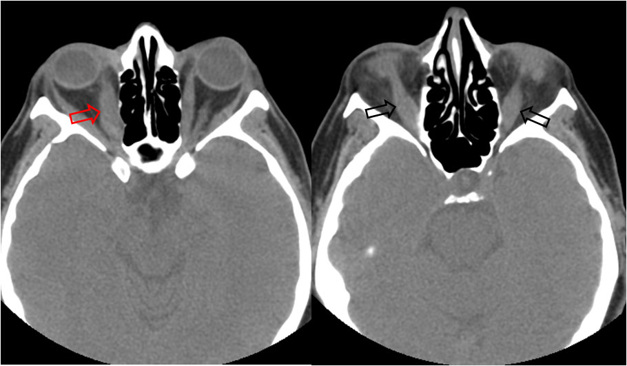
SIGNO DE LAS VÍAS DEL TRANVÍA EN EL NERVIO ÓPTICO
Signo visible en el estudio de órbitas con TC o RM con contraste intravenoso, y representa un meningioma de la vaina del nervio óptico. Las vías del tranvía corresponden a dos líneas densas paralelas que siguen el trayecto del nervio, entre las que queda la hipodensidad del nervio.
Este signo permite diferenciar el meningioma de la vaina del nervio óptico del glioma. Éste surge de las células gliales del propio nervio por lo que no se diferencia la tumoración del propio nervio. En cambio, el meningioma surge de la vaina respetando al nervio óptico.
Se ha descrito este signo en estudios de TC sin contraste, en los que las vías del tranvía están formadas por calcificaciones en el meningioma, que aparecen en un 20-50 % de casos.
Sin embargo, el signo de las vías del tranvía del nervio óptico no es específico del meningioma, ya que también se ha descrito en el pseudotumor orbitario, neuritis perióptica, sarcoidosis, leucemia, linfoma, metástasis, hemorragia perióptica, y en la enfermedad de Erdheim-Chester (a forma rara de histiocitosis de células no-Langerhans).
En el siguiente enlace encontrarás el artículo de Radiology sobre este signo:
http://pubs.rsna.org/doi/full/10.1148/radiol.2273010758
También se ha llamado signo de las vías del tranvía al aspecto de las bronquiectasias en radiografía convencional y TC, y a la calcificación de ligamentos interapofisarios en la espondilitis anquilopoyética, que puede verse en la radiografía AP de columna.
SIGNO DE LA PSEUDOHEMORRAGIA SUBARACNOIDEA


La hemorragia subaracnoidea se manifiesta como un aumento de densidad que puede ocupar las cisternas de la base (flechas) y los surcos de la convexidad y la línea media. Sin embargo, hay varias entidades que pueden simular este hallazgo, incluyendo la meningitis, la hipotensión intracraneal o el edema cerebral difuso, dando lugar al Signo de la pseudohemorragia subaracnoidea. El caso que presentamos corresponde a un daño hipóxico severo en un paciente pediátrico.
El mecanismo por el que aparece esta imagen en el edema difuso no está claro. Algunos autores piensan que el edema comprime los senos durales comprometiendo el drenaje venoso y dilatando las venas, cuya densidad resaltaría frente a la hipodensidad relativa del parénquima edematoso.

Mi agradecimiento a Félix Serrano Puche, compañero del Hospital Regional Universitario de Málaga, por darme a conocer el signo y proporcionarme el caso y la bibliografía.
Más información en:
Given CA III, Burdette JH, Elster AD y Williams DW. III. Pseudo-subarachnoid hemorrhage: a potential imaging pitfall associated with diffuse cerebral adema. AJNR Am J Neuroradiol 2003; 24: 254–256.
Gutierrez LG, Rovira A, Pezzi LAS, da Costa C y Tavares L. CT and MR in non-neonatal hypoxic–ischemic encephalopathy: radiological findings with pathophysiological correlations. Neuroradiology 2010; 52: 949–976.
Jung-Min K y Tae-Hoon E. The Pseudosubarachnoid sign. Clinical implications of subarachnoid hemorrhage misdiagnosis. Pediatric Emergency Care 2017; 33, e170-171.
MÁS SIGNOS
SIGNO DEL LIMÓN
Signo visible en resonancia y ecografía cerebral prenatal en fetos menores de 24 semanas de gestación con malformación de Chiari tipo II y en fetos con espina bífida. El signo recibe el nombre por la forma del cráneo, con unas muescas frontales características, que recuerda a la forma del limón.
Aquí hay un ejemplo: http://foodmedicaleponyms.blogspot.com.es/2011/08/lemon-sign.html
Y un artículo en español: http://www.sciencedirect.com/science/article/pii/S0048761914000465
SIGNO DE LA BANANA
Signo visible en resonancia y ecografía cerebral prenatal en fetos con malformación de Chiari tipo II. Se llama así por la forma semilunar o de plátano que adopta el cerebelo, que parece envolver a la protuberancia. La fosa posterior está disminuida de tamaño y la cisterna magna obliterada.
Más información en : http://radiopaedia.org/articles/banana-sign
SIGNO DE LA CEBRA
Signo visible en la TC en casos de hemorragia subaracnoidea cerebelosa secundaria a cirugía medular o craneal supratentorial. El mecanismo no está claro, pero parece debida a la pérdida de líquido cefalorraquídeo como resultado de la cirugía. El sangrado ocupando las folias cerebelosas forma una imagen de rayas paralelas que recuerda a la piel de la cebra.
SIGNO DE LA TAU
El signo de la TAU (letra griega parecida a la T) corresponde al aspecto de la arteria carótida interna con una arteria trigeminal persistente surgiendo de ella. Esta anomalía puede asociarse a aneurismas, malformaciones arteriovenosas, enfermedad moyamoya y otras anomalías.
Para saber más, este enlace lleva a un artículo de Manish Goyal en Radiology: http://pubs.rsna.org/doi/full/10.1148/radiol.2202991498
Más signos en http://www.ncbi.nlm.nih.gov/pmc/articles/PMC2765171/
SIGNO DEL PUNTO ANGIOGRÁFICO
Consiste en una o varias zonas de realce con contraste en un estudio de angiografía CT en un paciente con hemorragia cerebral. Esta zona no debe estar presente en la TC sin contraste. El significado de este hallazgo corresponde a un punto de sangrado activo y es un factor predictor del crecimiento de la hemorragia y del pronóstico del paciente. Se ha establecido un sistema de puntuación predictivo (spot sign score) que tiene en cuenta el número, el tamaño y la densidad de los focos de realce.
http://www.ncbi.nlm.nih.gov/pubmed/17322083
http://stroke.ahajournals.org/content/41/1/54
Mi agradeciemiento a Marta Molinero por la información sobre el signo.









