SIGNO DE LA DIANA
El nombre de Signo de la diana o también llamado Signo de la rueda dentro de la rueda se da a la lesión redondeada con dos o más capas de diferente densidad o ecogenicidad. Se han descrito signos de la diana en numerosos órganos y patologías, así como en diferentes métodos de imagen.
También se ha llamado signo de la diana al Signo del sombrero mejicano.
Presentamos imágenes de absceso hepático por Candida en ecografía (1), rotura muscular en un corte transversal de ecografía (2), invaginación intestinal en ecografía (3), metástasis hepáticas de carcinoma de colon en CT abdominal con contraste iv. (4) y Signo del sombrero mejicano en un pólipo colónico visible en el enema opaco (5).
SIGNO DEL ARCO GÓTICO o DE LA TORRE DE AGUJA o DEL RELOJ DE ARENA o DE LA BOTELLA DE VINO
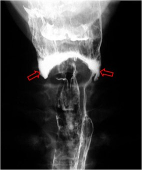
La presencia de edema en la tráquea provoca una pérdida de las convexidades de la tráquea subglótica y, por tanto, de los escalones que forma la columna de aire en la radiografía anteroposterior.
La tráquea subglótica adquiere una forma de «V» invertida o «torre de aguja” (the steeple sign), que también se ha descrito como «arco gótico». También se encuentra en la literatura como Signo del reloj de arena (hourglass sign) o Signo de la botella de vino.
Este signo puede verse tanto en el crup como en la epiglotitis, el edema angioneurótico y la traqueítis bacteriana. Obsérvese la morfología del luminograma laríngeo en este niño con crup.
Referencia principal: Mozhdeh Salour. The steeple sign. Radiology; 2000; 216: 428-429.
SIGNOS DEL PULGAR Y DEL MEÑIQUE
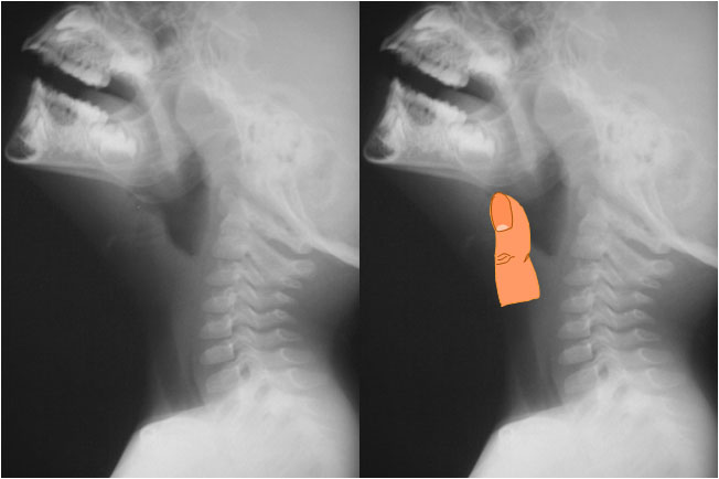
El Signo del pulgar es un signo de epiglotitis en la radiografía lateral de cuello. El engrosamiento de la epiglotis y de los repliegues ariepiglóticos tiene el aspecto y el tamaño aproximado de un dedo pulgar adulto. En la imagen de la izquierda puede verse el engrosamiento epiglótico y de los repliegues.
En cambio, en pacientes con dificultad de vías respiratorias altas de otro origen, el aspecto de la epiglotis es normal -como vemos en la imagen de abajo-, y se ha comparado con un dedo meñique (Signo del meñique). 
SIGNO DE LA VALLÉCULA
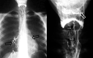
La retención de bario en los recesos faríngeos (valléculas) es signo de relajación incompleta o anormal del esfínter esofágico superior o de otro trastorno de la coordinación motora faringo-esofágica. En la imagen vemos el signo (flechas) en un paciente joven con un trastorno motor faringo-esofágico.
Obsérvese también el relleno en la radiografía de los senos piriformes (flecha blanca). La radiografía de tórax muestra el paso del bario al árbol traqueo-bronquial (flechas negras), prueba del trastorno deglutorio.
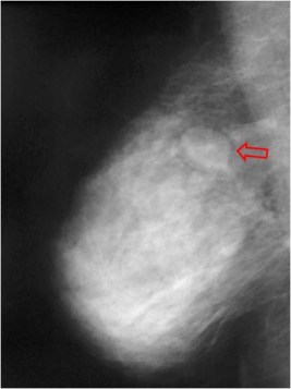
SIGNO DEL HALO EN LA MAMA
La buena delimitación de las lesiones mamarias en la mamografía, rodeadas de un fino halo hipodenso, fue erróneamente considerada durante mucho tiempo como signo de benignidad.
En este caso, la ecografía confirma que se trata de una lesión quística. Pero también algunas lesiones sólidas, tanto benignas como malignas, pueden presentar este signo.
El interés de mostrarlo es para insistir en su inespecificidad.
Puedes consultar en artículo de Cupples TE, Eklund GW y Cardeñosa G. Mammographic halo sign revisited. Radiology 1996; 199:105-108.
SIGNO DE LA LÁGRIMA
Signo de rotura de prótesis mamaria de silicona, visto en la resonancia magnética. Aparece una línea hipointensa separada de la cápsula fibrosa y plegada sobre sí (con la forma de una lágrima) -flecha-, por fuera de la cual se filtra la silicona libre (hiperintensa).
En este enlace encontrarás un póster del Congreso Europeo de Radiología de 2013 sobre hallazgos en RM sobre implantes de silicona:
http://posterng.netkey.at/esr/viewing/index.php?module=viewing_poster&task=viewsection&ti=381215.
SIGNO DEL LINGUINE
Signo de rotura intracapsular de implante mamario de silicona en la Resonancia magnética. El implante roto presenta múltiples imágenes curvilíneas de baja señal en el interior de la hiperintensidad de la silicona. Es el signo más específico de rotura intracapsular. En la imagen puede verse el signo (flecha roja) y salida de silicona fuera del implante (flecha blanca)
El nombre «linguine» o «linguini» (el plural) hace referencia a un tipo de pasta larga y fina como spaguetti pero aplanada, más estrecha que los fetucini.
Referencia: Safvi A. Linguine sign. Radiology. 2000;216 (3): 838-9. http://pubs.rsna.org/doi/full/10.1148/radiology.216.3.r00se16838.
OTROS SIGNOS DE ROTURA DE PRÓTESIS MAMARIA
En este enlace encontrarás un póster del Congreso Europeo de Radiología de 2013 sobre rotura de implantes mamarios. Aquí se mencionan signos como el Signo de la serpentina, Signo de la tormenta de nieve, Signo de la línea subcapsular, Signo de la cola de rata, y otros.
http://posterng.netkey.at/esr/viewing/index.php?module=viewing_poster&task=&pi=117671.
¿Tienes imágenes de estos signos y quieres compartirlas? Puedes enviarla a la dirección de correo enavs1@gmail.com. La pondremos junto a este texto y te citaremos.
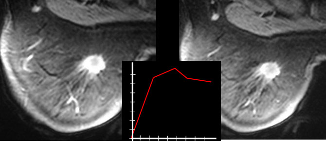
SIGNO DEL LAVADO PERIFÉRICO EN LA MAMA
Signo de cáncer de mama en el estudio de Resonancia Magnética con gadolinio. La periferia del nódulo muestra un aclaramiento del contraste más rápido que el centro (similar al signo del lavado periférico en el nódulo hepático).
Este signo en el cáncer de mama tiene una baja sensibilidad (51 %) pero una especificidad del 100%.
Las imágenes corresponden a una resonancia de mama con gadolinio, en las que vemos un nódulo de márgenes irregulares con realce periférico y una zona central hipoatenuada. Un corte posterior en el tiempo pero en el mismo plano -a la derecha- muestra el adelgazamiento del anillo periférico de captación. La gráfica ilustra la rápida captación del contraste (pendiente ascendiente) y el lavado posterior (pendiente descendente).
SIGNO DEL TATUAJE
Las microcalcificaciones dérmicas vistas en mamografía mantienen una relación fija entre ellas en proyecciones similares, como un tatuaje en la piel, a diferencia de las microcalcificaciones parenquimatosas, cuya relación no se mantiene.
Arriba: esquema de realización de la mamografía en posición cráneo-caudal. Abajo a la izquierda: mama vista de frente sobre la plataforma del mamógrafo. Simulación de calcificaciones dérmicas (flecha naranja) y calcificaciones parenquimatosas (flecha azul). Abajo a la derecha: con la compresión, las calcificaciones parenquimatosas cambian su relación entre sí mientras que las calcificaciones dérmicas la mantienen.
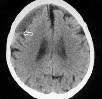
SIGNO DEL HEMATOCRITO
En los hematomas de múltiples localizaciones (espacios sub o epidural, intraventricular, subcapsular hepático, intramuscular,…), aparece, tras un tiempo variable, un nivel líquido-líquido, más denso (en TC) o ecogénico (en ecografía) en la zona declive, debido al depósito de elementos celulares de la sangre.
La imagen corresponde a un paciente con un hematoma subdural subagudo en el que puede verse este signo.
SIGNO DEL SACO INTRADECIDUAL
Signo ecográfico precoz de embarazo, más fácilmente visible por vía transvaginal. El saco gestacional está completamente rodeado por la decidua y, por su pequeño tamaño, no protruye o deforma la cavidad uterina (flecha roja). Este signo es más precoz que el signo del doble saco decidual.
En la imagen vemos un saco gestacional (flecha) rodeado completamente por la decidua.
Esquema de ecografía uterina con el signo intradecidual. El saco gestacional está completamente rodeado por la decidua engrosada, y no desplaza ni deforma la cavidad uterina. Aunque inicialmente se describió (Yeh) que el signo tenía una alta sensibilidad y especificidad, un estudio posterior (Laing y cols) revela datos mucho menos optimistas (sensibilidad entre 34 y 66 % y especificidad entre 55 y 73 %).
Esta es la referencia del artículo de Laing en Radiology: Laing, FC y cols. Intradecidual sign: is it effective in diagnosis of an early intrauterine pregnancy? Radiology 1997; 204:655-660.
SIGNO DEL DOBLE SACO
Signo ecográfico de embarazo, más fácilmente visible -aunque no exclusivamente- por vía transvaginal. El saco gestacional protruye y deforma la cavidad uterina, que es una cavidad virtual. La decidua capsularis -hiperecogénica- y la decidua vera -hiperecogénica- desplazada, forman la imagen de doble saco.
Esquema que muestra una ecografía uterina con el signo del doble saco decidual. El saco gestacional desplaza y deforma la cavidad uterina (línea hipoecogénica). El doble saco está formado por la decidua vera y la decidua capsularis, ambas hiperecogénicas.
SIGNO DE LA PARED o DEL HALO
Signo de quiste dermoide ovárico en la radiografía simple de abdomen, también conocido como signo del reborde. Consiste en la visibilidad de la pared del quiste, que se presenta como una delgada línea con densidad de partes blandas que rodea al quiste. Esto es posible porque la pared del tumor está delimitada por la grasa del contenido del quiste, por dentro, y la grasa peritoneal, por fuera.
Corte de TC pélvico que muestran el quiste dermoide en la fosa ilíaca izquierda (flechas). Obsérvese como la densidad grasa está presente a ambos lados de la pared.
Este caso, con explicaciones más completas, lo encontrarás en la revista Imágenes de FAARDIT: http://www.scielo.org.ar/scielo.php?pid=S1852-99922010000200009&script=sci_arttext.
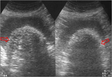
SIGNO DE LA PUNTA DEL ICEBERG
Signo específico de quiste dermoide ovárico visible en la ecografía tanto intravaginal como transabdominal. La presencia en una masa de pelo y grasa mezclados y las múltiples interfases que se producen, provocan una sombra acústica (flechas) que oscurece la parte más profunda de la masa.
En las fotografías se muestra un tumor dermoide en ecografía. se trata de la misma paciente del Signo de la pared.
Puedes consultar el artículo de Beller en Radiology: http://pubs.rsna.org/doi/abs/10.1148/radiology.209.2.9807564.
SIGNO DEL ANILLO HIPERINTENSO (en el adenoma suprarrenal)
Signo de adenoma suprarrenal en Resonancia magnética, en imágenes spin-echo con saturación de grasa. Corresponde a un anillo hiperintenso que rodea la masa suprarrenal y que puede tratarse de la cápsula tumoral o del tejido sano comprimido periféricamente. Este signo permite distinguir adenomas de metástasis, que no muestran el anillo.
Más información en: Tomoaki Ichikawa. Adrenal adenomas: characteristic hyperintense rim sign on fat-saturated spin- echo MR images. Radiology 1994; 193: 247-250.
































