Tutorial de ecografía escrotal, ahora en app para Android, en español e inglés.
Este Tutorial ha recibido certificados de mérito tanto en la RSNA en 2011 como en el Congreso
Nacional de SERAM de 2012. Cuenta con el aval de la SERAM y con el de más de 360 usuarios que le han dado una nota de 8,85/10 (tesis doctoral de Pilar Márquez, dirigida por los Dres. F. Sendra y E. Navarro).
Puedes encontrarla en Play Store y en la app de tu iPhone. Busca “ecografía escrotal”.
Tutorial of scrotal ultrasound, an App for Android and iPhone smartphones and tablets.
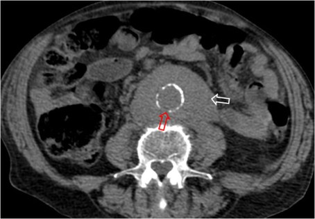
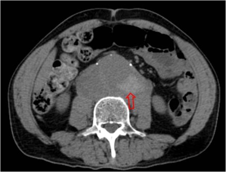
SIGNO DE LA AORTA PEQUEÑA
Signo de hipovolemia en la TC abdominal. Corresponde a vasoconstricción extrema de la aorta (flecha roja) como mecanismo que trata de compensar la hipovolemia que se ve en pacientes politraumatizados con grandes pérdidas hemáticas y en otras situaciones (shock séptico, cirugía, parada cardiaca, reacción alérgica,…). Se define como un calibre aórtico menor de 1,3 cm tanto dos centímetros por encima de las arterias renales como 2 cm por debajo. El ejemplo corresponde a un paciente politraumatizado con un bazo roto (flecha blanca).
Este signo forma parte del complejo de hipotensión en CT, antes llamado shock intestinal. Este término se refiere a un grupo de hallazgos abdominales en pacientes con hipotensión severa. Incluye: engrosamiento de asas de delgado (> 3 mm), realce de las paredes o hiperdensidad comparada con el psoas, vena cava inferior plana, aorta pequeña, heterogenicidad del páncreas con líquido peripancreático (no unánimemente aceptado), escaso realce del bazo (subjetivo), escaso realce hepático (25 UH menor que el bazo) e hiperrealce suprarrenal bilateral (hallazgo común en niños, controvertido en adultos).
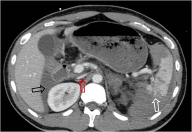
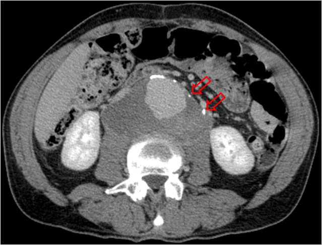
Otro ejemplo de aorta pequeña en otro politraumatismo. El contraste se introdujo por una vía femoral, de ahí el intenso relleno de la vena cava inferior.
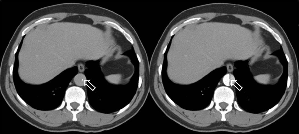
SIGNO DE LA VENA CAVA INFERIOR PLANA
Signo de hipovolemia en la TC abdominal. El colapso de la vena cava inferior (flecha roja) indica disminución del retorno venoso que puede requerir administración urgente de líquidos y monitorización de la presión venosa central. Se define por un diámetro anteroposterior menor de 9 mm en al menos tres cortes consecutivos. El caso es el mismo del primer ejemplo del signo anterior, en un corte más caudal.Podemos ver el bazo roto (flecha blanca) y líquido libre en el espacio hepatorrenal o de Morison (flecha negra).
Podemos ver otro ejemplo en la segunda imagen del Signo de la aorta pequeña.
Más información en:
RS Eisenstat y cols. The “flat cava” sign revisited. What is its significance in patients without trauma? AJR 2002; 178: 21-25. En: http://www.ajronline.org/doi/abs/10.2214/ajr.178.1.1780021.
RB Jeffrey, MP Federle. The collapsed inferior vena cava: CT evidence of hypovolemia. AJR 1988;150:431-432. En: http://www.ajronline.org/doi/pdf/10.2214/ajr.150.2.431?src=recsys.
SIGNO DEL COLGAJO (O FLAP) INTIMAL
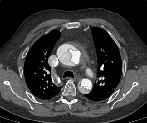
Signo de disección aórtica que puede verse tanto en ecografía, TC, resonancia magnética y arteriografía. Consiste en la presencia de una lámina -la capa íntima de la pared aórtica disecada- en el interior de la luz aórtica. En la imagen vemos un estudio de angioTC que muestra el colgajo tanto en la aorta ascendente como en la descendente. Puede distinguirse perfectamente la luz verdadera (más contrastada) de la falsa (menos densa).
Otro ejemplo del signo (flecha) en el que es más difícil diferenciar la luz verdadera de la falsa. A la izquierda del flap vemos una zona menos densa, es decir, se trata de la luz falsa.
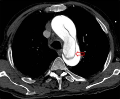
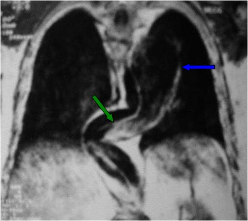
Corte coronal de resonancia magnética de tórax que muestra un aneurisma de la aorta torácica (flecha azul) con disección de la íntima (flecha verde).
SIGNO DEL DESPLAZAMIENTO DEL CALCIO INTIMAL
Signo de disección aórtica en la TC. Consiste en la presencia de una placa de calcio desgajada de la pared aórtica, acompañando al colgajo intimal. El signo se ha descrito en la placa simple (hay un ejemplo magnífico en http://www.wikiradiography.net/page/Calcium+Sign) y en la TC. En la imagen de la izquierda vemos la TC sin contraste mostrando el calcio intimal desplazado (flecha). El angioTC permite ver el flap intimal -con el calcio (flecha)- y la doble luz aórtica.
Izquierda: aorta normal. Centro: aorta arteriosclerótica con pared engrosada y placas de ateroma calcificadas. Derecha: En la disección aórtica, el desplazamiento de la capa íntima se acompaña de la placa calcificada, lo que explica el signo.
SIGNO DE LA DOBLE LUZ AÓRTICA
Signo de disección aórtica visible tanto en ecografía, como en TC, resonancia y aortografía. La aorta presenta una doble luz separada por una delgada lámina (el colgajo intimal). En los estudios con contraste se demuestra que la velocidad del flujo y la densidad es mayor en la luz verdadera que en la falsa.
Imagen de aortografía en un paciente con disección. La luz verdadera está marcada con la flecha roja y la falsa con la blanca. Puede verse un ejemplo del signo en la resonancia en el Signo del colgajo (o flap) intimal.
SIGNO DE LA MEDIA LUNA HIPERDENSA
Es un signo de rotura de aneurisma aórtico en la TC. La imagen de media luna hiperdensa corresponde a hemorragia aguda en un trombo mural preexistente o en la pared del aneurisma. La sensibilidad de este signo como indicador de rotura es del 77 %, y la especificidad es el 93 %. En ausencia de otros signos de rotura (hematoma periaórtico, extravasación del contraste, … hay que interpretarlo como signo de rotura contenida o inminente, lo cual debe ser considerado para el manejo urgente del paciente..
En la fotografía vemos un área hiperdensa (flecha) en un aneurisma de aorta lumbar, en un estudio de TC sin contraste.. En este caso la forma no es semilunar, ya que la morfología aórtica está muy deformada y el trombo mural tampoco tiene esa característica forma. En los siguientes signos vemos más imágenes de este caso que demuestran que toda la masa prevertebral era aorta.
Para más información me remito al artículo de Gonsalves en Radiology (1999): The hyperattenuating crescent sign. . En: http://pubs.rsna.org/doi/full/10.1148/radiology.211.1.r99ap1137.
SIGNO DEL CALCIO TANGENCIAL
Consiste en el desplazamiento del calcio de la pared aórtica, que se sitúa por fuera de la esperada circunferencia del aneurisma. En ocasiones, en aortas muy calcificadas, puede verse también una interrupción del anillo calcificado, con los márgenes abiertos, asimismo apuntando hacia fuera de la circunferencia. Corresponde a un punto de debilidad de la pared y suele ser el sitio de rotura.
Se trata, pues, de otro signo de rotura contenida o inminente. La imagen es del mismo paciente del signo anterior, ésta en fase portal. Obsérverse como los calcios intimales (flechas) están desplazados.
Aquí encontrarás más información sobre la rotura aórtica: http://www.radiologyassistant.nl/en/p452fe3aa7ef9c/aorta-aneurysm-rupture.html.
Y un artículo clásico de Siegel y cols en AJR: http://www.ajronline.org/doi/pdf/10.2214/ajr.163.5.7976888.
SIGNO DE LA AORTA CAÍDA o SIGNO DEL ABRAZO AÓRTICO
Se trata de otro signo de rotura contenida o inminente. Corresponde a una debilidad de la pared aórtica que provoca que la cara posterior de ésta aparezca como caída sobre el cuerpo vertebral (y ambos psoas, como en este caso -flechas rojas-). También se considera el signo presente cuando es visible un área en la que la pared posterior de la aorta no es identificable como una línea definida.
Este enlace te permite ver el abstract de un artículo de Radiology sobre este signo: http://pubs.rsna.org/doi/abs/10.1148/radiology.199.1.8633170.
Otra referencia es la Revista Argentina de Radiología: Signo del abrazo aórtico. M. Migiaro. RR 2014; 78:60-1.
SIGNO DE LA AORTA FLOTANTE o SIGNO DE LA AORTA DESPLAZADA
Signo visible en TC y también en la radiografía lateral de columna, en el caso de que la aorta esté calcificada. Consiste en el desplazamiento anterior de la aorta por ocupación del espacio retroaórtico por una masa, con frecuencia un linfoma (es la causa más frecuente de masa en este espacio). Otras causas son: metástasis ganglionares, sarcoidosis, amiloidosis, neuroblastoma y fibrosis retroperitoneal idiopática.
En la imagen la masa (flecha blanca) rodea a la aorta calcificada (flecha roja) y la despega de la columna lumbar.
La imagen está tomada, con permiso del autor, de la web radiodiagnosticando.com. Aquí está el enlace, donde puedes consultar otro caso: https://radiodiagnosticando.com/2014/06/17/caso-signo-de-la-aorta-flotante/
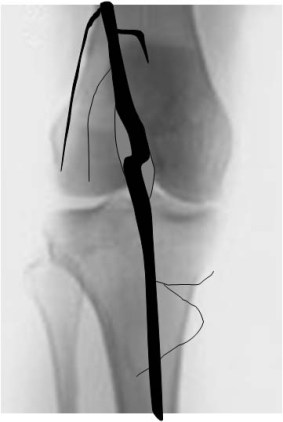
SIGNO DE LA PATA DE PERRO
Signo de aneurisma de la arteria poplítea, parcialmente trombosado, que puede verse en la arteriografía y en reconstrucciones coronales de angioTC. Consiste en una aguda angulación del recorrido de la arteria poplítea, con o sin dilatación de la luz vascular, tal como muestra el esquema.
El diagnóstico diferencial hay que hacerlo con: arteria poplítea tortuosa, ateroesclerosis poplítea, síndrome de atrapamiento de la arteria poplítea, enfermedad quística adventicial y quiste de Baker.
Puedes consultar el artículo de Uppal en Radiology en: http://pubs.rsna.org/doi/pdf/10.1148/radiology.214.2.r00fe26339.
SIGNO DEL COLLAR DE CUENTAS
Imagen que muestran las arterias renales en la arteriografía en la angiodisplasia. Consiste en la sucesión de zonas de estenosis y dilataciones fusiformes que afecta fundamentalmente al tercio distal de las arterias renales, pudiendo estar afectado el tercio distal y las ramas de primer orden.
SIGNO DE LA ARTERIA RENAL CORTADA
Este signo consiste en la interrupción abrupta de la columna de contraste de la arteria renal, que puede verse en angiografía o angioTC. Es visible en el traumatismo renal con lesión del pedículo vascular y representa trombosis arterial de la arteria principal o una rama segmentaria. El hallazgo puede acompañarse o no de extravasación de contraste.
Estamos buscando una imagen de este signo ¿Tú tienes una y quieres compartirla? Puedes enviarla a la dirección de correo enavs1@gmail.com. La pondremos junto a este texto y te citaremos.
Aquí puedes consultar un artículo de AJR de 1989 sobre diagnóstico por CT de lesiones traumáticas de la arteria renal: http://www.ajronline.org/doi/pdf/10.2214/ajr.153.5.1065.
SIGNO DEL YIN YANG
Es un signo visible en ecografía con doppler color, que representa el flujo bidireccional o en remolino que ocurre en un pseudoaneurisma. La imagen corresponde a una paciente con antecedente de punción de la arteria femoral para realización de un cateterismo. Cinco días más tarde acude a urgencias por abultamiento doloroso en la región inguinal. A la palpación se percibía un thrill.
El pseudoaneurisma es una lesión de la pared vascular en la que se produce una fuga de sangre a un espacio contenido por la adventicia del vaso y/o una fascia circundante. La sangre entra y sale de dicho espacio por un mismo orificio, el cuello, lo que justifica el flujo en remolino. En doppler, el color azul o rojo indica la dirección del flujo, que se acerca o aleja del transductor.
El nombre del signo hace referencia al conocido símbolo ancestral del taoísmo que representa la naturaleza dual de todos los elementos del universo, que están compuestos por fuerzas opuestas pero complementarias.
A este signo también se le ha llamado Signo de Pepsi, por el parecido de la imagen con el logotipo de la conocida bebida de cola. Sin embargo, este nombre no ha cuajado en la práctica radiológica.
En esta entrada puedes encontrar más información: http://radiopaedia.org/articles/yin-yang-sign-1.
También se ha llamado Signo del yin-yang a la imagen redondeada vista en una TC con contraste correspondiente a un aneurisma o pseudoaneurisma parcialmente trombosado. En la lesión pueden verse dos zonas de diferente densidad, una hiperdensa, correspondiente a la sangre realzada con el contraste que rellena la luz, y otra hipodensa, no realzada, que corresponde al trombo.
Aunque es común ver aneurismas parcialmente trombosados, es raro el caso en que la imagen recuerda al símbolo del yin y el yang. Es más habitual que el trombo tenga una forma de semiluna adyacente a la pared. En general el signo es más comúnmente referido a la imagen de pseudoaneurisma no trombosado que a la de aneurisma parcialmente trombosado. Sin embargo, en la serie Signs in imaging que Radiology publicó entre enero de 1998 y julio de 2008, el artículo dedicado al Signo del yin yang se refiere al aneurisma o pseudoaneurisma parcialmente trombosado.
Este artículo, de Tommaso Lupattelli (marzo de 2006), puede consultarse en: http://pubs.rsna.org/doi/pdf/10.1148/radiol.2383031884.















Excelente recopilación, en pro a un mejor diagnóstico no hay como el trabajo en equipo. Los detalles son los que nos distinguen de las demás especialidades que invaden al campo de la radiología.
Me gustaMe gusta