Tutorial de ecografía escrotal, ahora en app para Android, en español e inglés.
Este Tutorial ha recibido certificados de mérito tanto en la RSNA en 2011 como en el Congreso
Nacional de SERAM de 2012. Cuenta con el aval de la SERAM y con el de más de 360 usuarios que le han dado una nota de 8,85/10 (tesis doctoral de Pilar Márquez, dirigida por los Dres. F. Sendra y E. Navarro).
Puedes encontrarla en Play Store y en la app de tu iPhone. Busca “ecografía escrotal”.
Tutorial of scrotal ultrasound, an App for Android and iPhone smartphones and tablets.
SIGNO DE LAS ALAS DE MARIPOSA
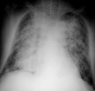
Signo de condensación alveolar bilateral en la radiografía posteroanterior (o anteroposterior) de tórax, propio del edema de pulmón de cualquier causa, aunque también puede verse en neumonías por gérmenes no habituales y hemorragia pulmonar. El signo recibe este nombre por la disposición perihiliar y simétrica de los infiltrados, que respetan la periferia pulmonar.
También se denomina signo de las alas de murciélago, pero está más extendido el término «alas de mariposa», que es, además, más gráfico.
La radiografía de este paciente con edema agudo de pulmón, muestra además, un tubo endotraqueal y un catéter de Swan-Ganz para medir las presiones de la arteria pulmonar.
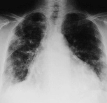
SIGNO DE LAS ALAS DE MARIPOSA INVERTIDAS
La presencia de infiltrados alveolares de disposición periférica y bilateral, respetando las regiones perihiliares, provoca una imagen opuesta a la del signo de las alas de mariposa. Este hallazgo se ve en la neumonía eosinófica.
La imagen de la TC muestra los focos de condensación alveolar periféricos y bilaterales, con predominio en el pulmón derecho.
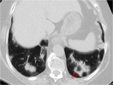
SIGNO DEL ALVEOLOGRAMA AÉREO
En la radiografía de tórax y en la TC pueden verse, en el seno de las condensaciones alveolares, pequeñas zonas de densidad aire que corresponden a alveolos libres de condensación. El alveolograma aéreo es, por tanto, signo de condensación alveolar y se ve más fácilmente en la periferia de ésta.
La imagen de TC muestra una condensación alveolar en en lóbulo inferior izquierdo con alveolograma.
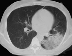
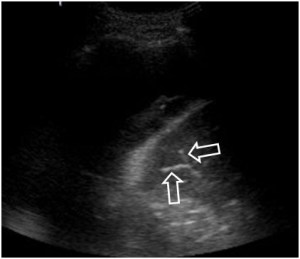
SIGNO DEL BRONCOGRAMA AÉREO
Signo de lesión alveolar visible tanto en la radiografía de tórax como en la TC y en ecografía que consiste en la presencia de los bronquios llenos de aire (visibles como líneas radiolúcidas -flechas-) rodeados de condensación alveolar. En la imagen vemos este signo en un paciente con carcinoma bronquioalveolar.
Así se ve el signo del broncograma en la TC (a la derecha) . Se trata de un paciente con neumonía en el lóbulo superior izquierdo. El broncograma aparece como una línea radiolucente que se afila y ramifica hacia la periferia, y se encuentra rodeada de condensación alveolar.
En la ecografía (signo del broncosonograma aéreo), el aire en los bronquios se ve hiperecogénico (flechas). Este caso corresponde a un colapso debido a un gran derrame pleural, que es la zona más oscura por encima y a la izquierda del pulmón.
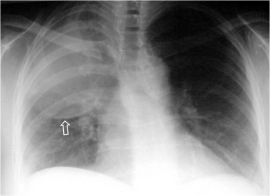
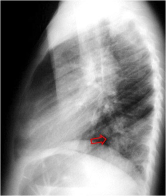
SIGNO DEL BRONQUIO 6
Este signo tiene el mismo significado que el signo del broncograma aéreo. La orientación del bronquio 6 (segmento apical del lóbulo inferior) hace que en vez de ver el broncograma como en otros lóbulos -dibujándose el trayecto bronquial- lo veamos de frente: sólo se ve una imagen redondeada de menor densidad que la consolidación (flecha).
La radiografía lateral confirma la localización en el segmento 6.
SIGNO DE LA CISURA ABOMBADA O DE LA HINCHAZÓN DEL LÓBULO
Este es un signo poco útil en la actualidad. Es visible en la radiografía de frente de tórax y se presenta como una condensación alveolar que se asocia a un abombamiento inferior de la cisura adyacente (flecha). Este signo, descrito inicialmente como característico de la neumonía por Klebsiella (neumonía de Friedlander), ha sido visto en otras entidades: neumonía por neumococo, H. influenzae, tuberculosis, absceso, neumonitis obstructiva, e incluso en el carcinoma bronquioalveolar.
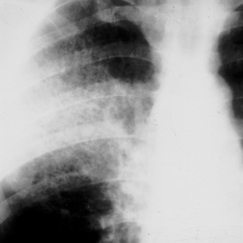
SIGNO DE LA DENSIFICACIÓN VERTEBRAL
Signo de condensación pulmonar en la radiografía lateral de tórax. En la radiografía lateral normal, la densidad de la columna torácica tiende a disminuir desde la parte superior hasta el diafragma; la alteración de ese patrón por la presencia de una densidad superpuesta a la columna (área marcada), indica la existencia de una consolidación pulmonar. Este signo adquiere especial valor cuando en la proyección posteroanterior la consolidación está oculta en el espacio retrocardíaco o en la base pulmonar.
SIGNO DE LA SILUETA
Es el más conocido y clásico de los signos radiológicos, y permite reconocer la localización de lesiones pulmonares. No es un signo específico de lesión alveolar, ya que puede verse en tumores, abscesos y otras lesiones. Más que un signo indicador de patología es un signo localizador.
El signo de la silueta se refiere a que cualquier opacidad pulmonar que esté en contacto con el borde cardíaco, la aorta o el diafragma, borrará su contorno; por el contrario, una lesión que no esté en contigüidad con estas estructuras, no borrará su contorno.
La imagen muestra una condensación neumónica en el segmento anterior del lóbulo superior izquierdo (língula) que borra el borde cardíaco izquierdo.
Proyecciones posteroanterior y lateral que muestran una condensación en el lóbulo medio derecho, con borramiento del borde cardíaco derecho en la PA.
Proyecciones de tórax de un paciente con neumonía en el lóbulo inferior izquierdo que, por tanto, no borra el borde cardíaco izquierdo en la PA.
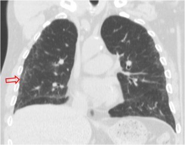
SIGNO DEL ATOLÓN O DEL HALO INVERTIDO
A diferencia del signo del halo, en el que existe un nódulo rodeado de un área de vidrio deslustrado, el signo del halo invertido o del atolón consiste en una zona de vidrio deslustrado rodeada de un anillo de mayor densidad (flecha). El anillo debe tener al menos 2 mm de grosor y puede ser completo o incompleto, es decir, una imagen de semiluna de al menos tres cuartas partes del círculo. La zona de vidrio deslustrado corresponde a inflamación alveolar y el anillo denso a tejido granulomatoso ocupando el espacio aéreo.
Se describió como un signo específico de neumonía organizada criptogenética, pero, aunque bastante específico, no es exclusivo de esta entidad. También se ha descrito en mucormicosis, aspergilosis, granulomatosis de Wegener, tuberculosis, neumonía por neumocystis y otros cuadros.
Otro ejemplo de este signo (flecha). Las imágenes de estos dos casos corresponden a neumonía organizada criptogenética.
Aquí van algunas referencias:
http://thorax.bmj.com/content/early/2010/09/06/thx.2010.139360.full
http://journals.lww.com/thoracicimaging/Fulltext/2011/08000/_Reversed_Halo_Sign_.12.aspx
http://radiopaedia.org/articles/reversed-halo-sign
SIGNO DE LA PLEURA NEGRA

Signo de microlitiasis alveolar en la placa de tórax y en la TC. La microlitiasis provoca un aumento de la densidad del parénquima por lo que la pleura, que está respetada, aparece como una línea negra que lo rodea.
A pesar de su nombre, no hemos incluido este signo entre los correspondientes a patología pleural por ser la microlitiasis una patología parenquimatosa. Mostramos un ejemplo de un caso incipiente de microlitiasis que amablemente me han cedido Maribel Padín y Carmen Aguilar, las radiólogas de la sección de Tórax del Hospital Regional universitario de Málaga. Gracias.
En la siguiente dirección encontrarás otro ejemplo en un caso de microlitiasis avanzado:
SIGNO DE LA TORMENTA DE ARENA
Se trata de otro signo de microlitiasis alveolar. En esta entidad aparecen numerosos nódulos alveolares calcificados de pequeño tamaño y de distribución difusa, con predominio en campos medios e inferiores. A veces tienden a confluir provocando zonas de mayor densidad que pueden borrar los diafragmas y la silueta cardiomediastínica.
No tenemos una imagen de este signo. Si quieres compartir una imagen, envíala a enavs1@gmail.com. La pondremos aquí con una referencia a tí.

















