SIGNO DEL ABDOMEN SIN AIRE
La ausencia relativa de aire en la radiografía simple de abdomen se ha asociado a diversas entidades patológicas. La isquemia intestinal, especialmente con oclusión mesentérica venosa, puede producir grandes cantidades de líquido intraluminal dando lugar a un abdomen sin aire. También se ha descrito en pacientes con pancreatitis aguda y en sujetos normales, por lo que realmente se trata de un signo muy inespecífico.
SIGNO DEL ASA CENTINELA
Asa intestinal distendida y fija que se ve en la radiografía simple de abdomen en casos de íleo paralítico localizado (por ejemplo, en pancreatitis, diverticulitis, apendicitis, etc). En la imagen, un paciente con diverticulitis.
Otro ejemplo de asa centinela, esta vez en un paciente con pancreatitis.
SIGNO DEL DOBLE CONDÓN
En la radiografía simple de abdomen, la presencia de bolas de narcóticos colocadas dentro de preservativos en el colon dan una apariencia de anillos muy típicos. En este ingenioso sistema de transporte, la bola de narcótico es envuelta por dos preservativos, cada uno de los cuales está plegado tres veces sobre sí mismo. El aire atrapado entre cada una de las capas de los preservativos produce una imagen radiolúcida patognomónica.
No tenemos ninguna imagen de este signo, ya que en nuestro medio las bolas de hachís no se introducen en preservativos, sino en bolsitas de plástico, que sí se ven en la imagen superior.
Un artículo de referencia es: Body packing and its radiologic manifestations: a review article, de Makhtoom Shahnazi, Morteza Sanei Taheri yRamin Pourghorban. Disponible en:
http://www.ncbi.nlm.nih.gov/pmc/articles/PMC3522363/.
SIGNO DE LA NECROSIS GRASA
Se ha descrito como patognomónico de la pancreatitis el hallazgo de un patrón radiolúcido granuloso y moteado, similar al de las heces en colon pero que, a diferencia de éste, no sigue la distribución del colon y no cambia día a día. El área pancreática suele estar casi siempre incluida dentro de la densidad moteada, aunque también puede extenderse a cierta distancia de ella.
Se asocia a un elevado índice de mortalidad.
SIGNO DEL PSEUDOTUMOR DUODENAL
Es un signo de significado similar al Signo del pseudotumor fúndico (Ver Otros signos de estómago en https://album-de-signos-radiologicos.com/category/estomago/otros-signos-de-estomago/).
En la radiografía simple de abdomen, el bulbo duodenal lleno de líquido produce una imagen nodular o pseudotumoral, tal como vemos en la imagen (flecha). No debe confundirse con una litiasis biliar, que ocupa una posición similar pero que, cuando es visible, es porque tiene una densidad cálcica.
Este signo también se ha llamado Signo del pseudotumor del hipocondrio derecho.
SIGNO DEL PSEUDOTUMOR
En la radiografía simple de abdomen, cuando un asa intestinal está obstruida por un vólvulo se llena de líquido y produce una falsa imagen de masa con densidad de partes blandas (flechas) que no debe confundirse con un tumor.
Este signo debe diferenciarse de las asas rellenas de líquido en la obstrucción mecánica simple. En la obstrucción en asa cerrada, la presencia del signo del pseudotumor indica que un asa intestinal se encuentra fija y permanece en la misma posición en todas las proyecciones.
En la imagen, pseudomasa causada por asas distendidas, con líquido, en la obstrucción intestinal.
Imagen de densidad aérea que se localiza en la pelvis femenina en algunas mujeres portadoras de tampones. La imagen corresponde al contorno vaginal dibujado por el aire que penetra acompañando al tampón. En realidad no es un signo indicador de patología, por lo que no requiere mostrar una imagen normal de comparación.
SIGNO DEL DESPLAZAMIENTO
El desplazamiento del estómago (que desciende en la inspiración) con respecto al páncreas (órgano retroperitoneal inmóvil con la respiración) es un hallazgo normal. Éste, pues, es uno de los pocos signos radiológicos que representan un hallazgo normal.
La presencia de este signo excluye invasión pancreática en pacientes con carcinoma gástrico. Los esquemas ilustran el desplazamiento normal. H: hígado. E: estómago. P: páncreas. VMS: vena mesentérica superior. A: aorta.
Lim, HK y cols: Assessment of pancreatic invasion in patients with advanced gastric carcinoma: usefulness of the sliding sign on sonograms. AJR 1999; 172: 615-618.
En: http://www.ncbi.nlm.nih.gov/pubmed/10063846.
SIGNO DE LA LÍNEA DEL PSOAS o SIGNO DEL PSOAS
La presencia, ausencia o atenuación del perfil del músculo psoas en la radiografía simple de abdomen, o bien la diferencia en el aspecto de las dos líneas del psoas, se ha utilizado en el diagnóstico diferencial de la patología intraabdominal y la retroperitoneal. El borramiento de la línea del psoas se ha descrito en pacientes con procesos en los que se altera la radiotransparencia del tejido adiposo retroperitoneal (infiltración por sangre, edema, líquido o tumoración).
Sin embargo, la línea del psoas puede no verse en hasta un 40 % de sujetos normales y, al contrario, puede estar conservada la línea en presencia de patología retroperitoneal, por lo que su utilidad es muy escasa.
Lo incluimos aquí por ser un signo clásico muy difundido fuera del ámbito radiológico.
Imagen ecográfica de masa abdominal (tumoral, inflamatoria, invaginación intestinal,…) conformada por un anillo externo hipoecoico y una zona central hiperecoica, que recuerda al aspecto ecográfico del riñón.
La imagen muestra un pseudorrinón (a la derecha) en un niño con invaginación ileocólica.
Anderson DR. The pseudo-kidney sign. Radiology 1999; 211: 395-397. En: http://pubs.rsna.org/doi/pdf/10.1148/radiology.211.2.r99ma21395.
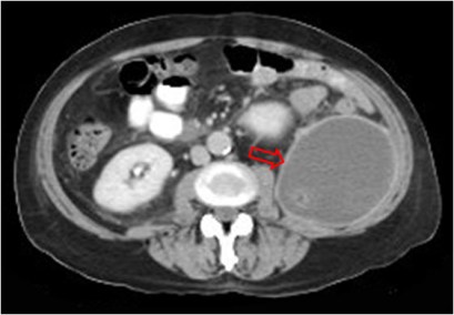
SIGNO DE LA CORTEZA o CÁSCARA
En la TC con contraste intravenoso, la pared de los abscesos en cualquier localización se realza de manera precoz, intensa y mantenida (flecha), mientras que el contenido no se realza. En la imagen, absceso en la fosa renal izquierda como complicación de una nefrectomía.
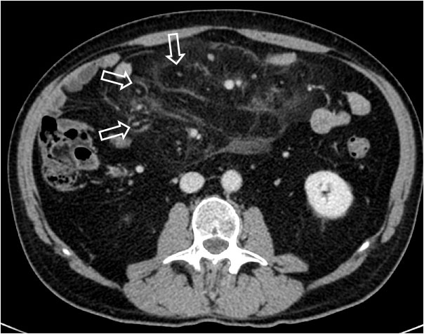
SIGNO DEL ANILLO GRASO
La presencia de un halo graso alrededor de los vasos mesentéricos, visto en TC, fue inicialmente descrito en la mesenteritis esclerosante aunque posteriormente se ha demostrado que no es específico ya que puede estar presente en el linfoma de Hodgkin tratado con quimioterapia.
La imagen muestra un aumento de la densidad del mesenterio que respeta las zonas que rodean a los vasos produciendo esa imagen de anillos grasos.
El artículo de referenciA es de C. valls: Fat-ring sign in sclerosing mesenteritis. AJR 2000; 174:259-260. En: http://www.ajronline.org/doi/full/10.2214/ajr.174.1.1740259.
Signo de apendagitis epiploica en la TC de abdomen. La apendagitis epiploica es una infrecuente causa de dolor abdominal debido a la inflamación/isquemia de un apéndice epiploico del colon. Se trata de un proceso que hay que reconocer pues el cuadro clínico es autolimitado y cede con tratamiento conservador.
En la ecografía puede verse un anillo ovalado hipoecoico, coincidente con el punto de dolor. En TC se caracteriza por una densidad grasa ovoidea rodeada de un fino anillo denso (flecha) y de aumento de la densidad de la grasa adyacente. Puede verse también un punto central hiperdenso correspondiente al pedículo vascular trombosado.
Singh AK, Gervais DA, Hahn PF et-al. CT appearance of acute appendagitis. AJR Am J Roentgenol. 2004;183 (5): 1303-7.
SIGNO DE HELLMER
Desplazamiento medial del borde lateral del hígado en la radiografía simple de abdomen por colección intraperitoneal (aunque también se ha descrito en colecciones extraperitoneales).
Esquema que muestra el hígado y algunas estructuras de vecindad. A la izquierda puede verse una colección (C) que se introduce entre el peritoneo y el borde lateral del hígado, al que desplaza medialmente. A la derecha, el esquema anatómico sin colección muestra el borde hepático no desplazado, delimitado por la grasa del flanco.
El artículo de referencia es de Wixson y cols. en AJR 1976 Oct;127(4):679-82. En: http://www.ncbi.nlm.nih.gov/pubmed/970546.
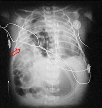
SIGNO DEL HÍGADO AUSENTE
La identificación de aire intestinal en el hemitórax derecho (en la placa de tórax de un neonato) –flecha- permite realizar el diagnóstico de hernia diafragmática congénita. En aquellos casos en los que únicamente se produce la herniación del hígado, el diagnóstico suele ser erróneo. La combinación de la opacificación del hemitórax junto a la presencia de aire intestinal en el cuadrante superior derecho (Signo del hígado ausente), debe sugerir el diagnóstico de hernia hepática intratorácica.
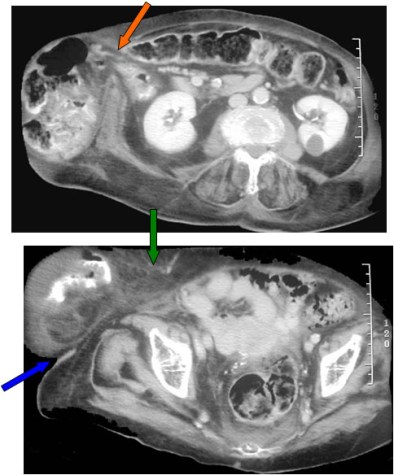
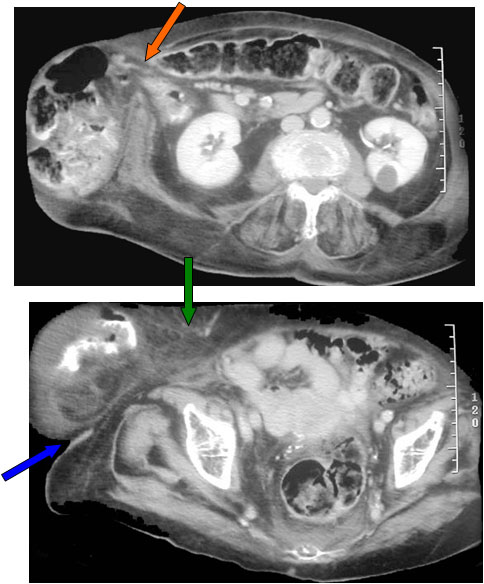
SIGNO DE LA PARED ABDOMINAL INCOMPLETA
Una masa situada en la pared abdominal, como por ejemplo una hernia, se caracteriza por presentar bordes incompletos, debido a que, en algún punto de su contorno, éste se confunde con los tejidos blandos adyacentes.
El ejemplo que mostramos corresponde a una hernia, de la que sólo es visible el margen inferior (flechas).
TC de abdomen con contraste oral e iv. del mismo paciente. La imagen superior muestra la herniación de asas intestinales (flecha naranja). La imagen inferior, correspondiente a un corte de pelvis, justifica el signo: un extremo del saco herniario forma un ángulo agudo con la pared abdominal (flecha azul) y es el borde visible en la radiografía; el otro extremo se continúa con la pared abdominal (flecha verde), lo que justifica la zona incompleta de la pared de la masa.
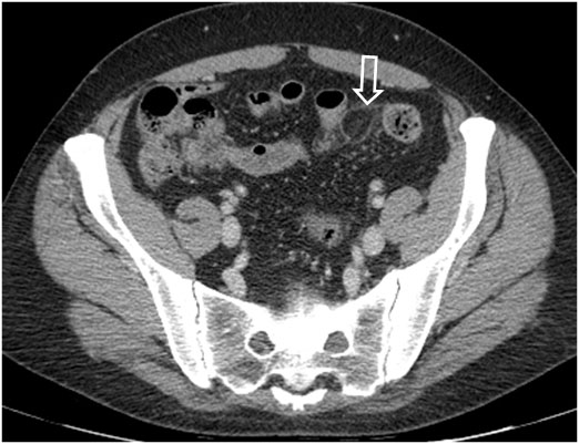
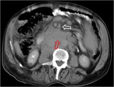
SIGNO DEL SANDWICH
Signo de linfoma abdominal tanto en la TC como en ecografía. Consiste en la presencia de masas adenopáticas que rodean y desplazan la arteria y la vena mesentéricas superiores sin comprimirlas.
La fotografía corresponde a un paciente con linfoma (flecha roja) que forma conglomerados adenopáticos que respetan los vasos mesentéricos (flecha blanca).
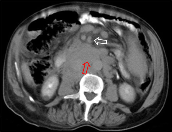
Por extensión, se puede emplear este signo en conglomerados linfomatosos que rodean pero respetan otras estructuras vasculares diferentes de los vasos mesentéricos, como vemos en el ejemplo siguiente con las arterias renales.
Imagen tomada, con permiso del autor de la web https://radiodiagnosticando.com/2014/06/17/caso-signo-de-la-aorta-flotante/



