SIGNO DEL ANILLO (EN LA NECROSIS PAPILAR) o SIGNO DEL ANILLO DE SELLO

Image reprinted with permission from Medscape Drugs & Diseases (http://emedicine.medscape.com/), 2015, available at: http://emedicine.medscape.com/article/379762-overview.
Signo de necrosis papilar en la urografía. La papila desprendida se ve como una defecto de repleción radiotransparente que ocupa la totalidad de su cáliz salvo un fino contorno radioopaco (flechas).

Image reprinted with permission from Medscape Drugs & Diseases (http://emedicine.medscape.com/), 2015, available at: http://emedicine.medscape.com/article/379762-overview.
Tomografía simple que muestra varias papilas necrosadas con el signo del anillo.
Esquema que muestra diferentes patrones de excavación de la necrosis papilar. A) normal. B) Excavación central cuyo aspecto se ha descrito como Signo de la pelota de golf en el tee (el tee es la pieza cuya forma es parecida a un clavo y en la que se apoya la pelota de golf para golpearla). C) Excavación del fórnix. D) Excavación con aspecto de pinzas de cangrejo o de langosta. E) Signo del anillo a anillo de sello. F) Papila desprendida con cáliz abombado.
Recomiendo este interesante artículo de Dyer, Chen y Zagoria sobre signos en urorradiología.
http://pubs.rsna.org/doi/full/10.1148/rg.24si045509.
Y también este otro sobre necrosis papilar, que comparar los hallazgos en CT multidetector y urografía: http://pubs.rsna.org/doi/full/10.1148/rg.266065039.
SIGNO DEL ANILLO CORTICAL O SUBCAPSULAR, o SIGNO DEL ANILLO DE COMPROMISO VASCULAR
En casos de oclusión de la arteria renal o alguna de sus ramas se produce una ausencia total o parcial del nefrograma. Sin embargo, unas horas después puede verse un fino anillo periférico subcapsular de corteza renal perfundida por colaterales capsulares. Se ha descrito que este signo permite diferenciar el infarto renal de la nefronia lobar, en la que no está presente este signo. También se encuentra en la literatura como Signo del borde cortical.
La imagen corresponde a una TC que muestra este signo (flecha) en el riñón derecho en un paciente con traumatismo renal con lesión del pedículo. La parte posterior del riñón no está afectada y conserva su vascularización.
Otros ejemplos en:
http://www.ncbi.nlm.nih.gov/pmc/articles/PMC2871221/.
http://www.mypacs.net/cases/CORTICAL-RIM-SIGN-9484043.html.
SIGNO DE LOS ANILLOS DE DUNBAR o SIGNO DE LA SEMILUNA
Signo de obstrucción renal crónica en la urografía intravenosa. Se ve mejor en la fase nefrográfica y puede desaparecer en la fase excretora. Se trata de unas bandas radiodensas por fuera del contorno calicial (flechas) que corresponde a la opacificación con contraste de los túbulos intramedulares distorsionados a causa de dilatación pielocalicial por la obstrucción crónica. Para que este signo pueda estar presente se necesita que el riñón conserve cierto grado de función excretora, y este dato es importante, puesto que la función renal es aún recuperable.
Otro ejemplo del signo en el polo inferior del riñón derecho.
La descripción fue hecha por Dunbar et al en un artículo de Radiology de 1962: http://pubs.rsna.org/doi/abs/10.1148/81.6.971.
SIGNO DEL ANILLO INVERTIDO
Consiste en la corteza renal hipodensa en la TC con contraste iv, es decir, en la falta de realce cortical con mantenimiento de la perfusión medular. El signo implica un severo daño en el flujo cortical con producción de necrosis de ésta. Este cuadro puede verse como consecuencia de complicaciones obstétricas, shock de diferentes causas, reacción a transfusión y otras causas de hemólisis intravascular, toxinas y rechazo de transplante renal.
No tenemos imagen de este signo, pero puedes ver un ejemplo en: http://www.eurorad.org/eurorad/case.php?id=10753.
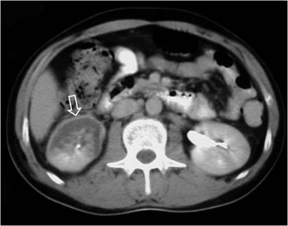
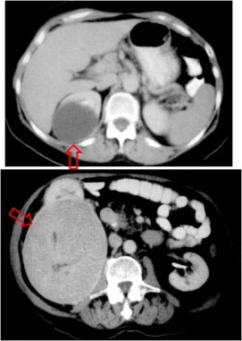
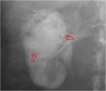
SIGNO DEL BORDE FINO
Signo de masa renal en la urografía intravenosa y en la arteriografía. El quiste simple de gran tamaño, que se extiende más allá de los límites del riñón, está rodeado de un borde de 1 ó 2 mm de tejido que se opacifica con el contraste. Este realce está producido por la acumulación del material de contraste en nefronas comprimidas y en pequeños vasos de la parte fibrosa de la cápsula renal.
Aunque fue descrito en el quiste simple, también puede verse en masas sólidas.
Otro ejemplo de este signo en un paciente con poliquistosis renal.
En la TC el signo es visible tanto en lesiones benignas (como el quiste simple de la imagen de arriba) como en malignas (carcinoma renal, abajo). Su interés consiste en confirmar el origen renal de las lesiones, no siempre fácil de determinar en las de gran tamaño y crecimiento extrarrenal.
SIGNO DEL BORDE o SIGNO DEL ANILLO HIDRONEFRÓTICO
Signo de obstrucción renal en la urografía intravenosa, más frecuente en la uropatía obstructiva crónica. Consiste en el delgado anillo de parénquima renal opacificado que rodea el sistema pielocalicial dilatado, dando un aspecto de pielograma negativo.
Aunque en el caso presentado, el estudio no es una urografía sino una arteriografía, el signo es similar. Vemos una delgada capa de parénquima (flecha) que rodea a los cálices dilatados, en esta fase aún no opacificados.
No debe confundirse este signo con el Signo del borde, aunque tienen semejanzas. En los dos se produce un adelgazamiento de la cortical renal: en el signo del borde está causado por hidronefrosis; en el signo del borde fino se origina por la presencia de una o más masas renales. Tampoco hay que confundirlo con el Signo de los anillos de Dunbar, aunque ambos se ven en la hidronefrosis. El anillo hidronefrótico es el realce cortical mientras que los anillos de Dunbar corresponden al contraste en los túbulos renales.
Fase vascular precoz del mismo estudio en el que puede verse el arqueamiento de las ramas arteriales como consecuencia de la hidronefrosis.
SIGNO DEL ANILLO CONCÉNTRICO O DIANA
Signo de hematoma subagudo renal o perirrenal en RM. Consiste en una serie de líneas concéntricas que se ven mejor en imágenes potenciadas en T1, en hematomas de más de 3 semanas de evolución. El anillo periférico es hipointenso y probablemente represente el desarrollo de una pseudocápsula. Por dentro puede verse un anillo hiperintenso causado por la degradación de la hemoglobima. El centro de la lesión tiene una señal intermedia pero variable, dependiendo de la edad del hematoma
Este es el artículo de referencia: Hahn PF, Saini S, Stark DD, Papanicolaou N, Ferrucci JT, Jr. Intraabdominal hematoma: the concentric-ring sign in MRI. AJR Am J Roentgenol 1987; 148:115-119.
¿Tienes una imagen de este signo y quieres compartirla? Puedes enviarla a la dirección de correo enavs1@gmail.com. La pondremos junto a este texto y te citaremos.
OTRO ANILLO
Hay un Signo del anillo de partes blandas en la litiasis ureteral, pero lo incluiremos en la sección de Uréter.
SIGNO DEL HALO
En urografía, una zona de radiolucencia que rodea a un tumor representa una falsa cápsula fibrosa que se ha formado en respuesta a la isquemia de las nefronas comprimidas en la unión entre la neoplasia y el parénquima renal adyacente. Aunque inicialmente se describió como signo diagnóstico de adenocarcinoma renal, posteriormente se comprobó su presencia en lesiones benignas.
La imagen corresponde a una arteriografía renal en fase parenquimatosa (aunque el valor del signo es el mismo que en la urografía). Vemos una masa que capta contraste (hipernefroma), rodeada de una halo hipodenso (flechas).
SIGNO DEL HALO RENAL
Realmente este signo no corresponde a patología renal, pero creemos que este es el sitio más adecuado para incluirlo.
La presencia de líquido en el espacio pararrenal anterior, por fuera de la fascia renal, delimita la grasa perirrenal. En la radiografía y en la TC, el riñón aparece como si estuviera rodeado de un halo radiolucente (que corresponde a la grasa perirrenal respetada).
Además de la pancreatitis, otras patologías (absceso, hematoma,…) que provoquen la presencia de líquido pararrenal izquierdo o derecho también presentarán este signo.
Otro ejemplo en: https://www.mja.com.au/journal/2008/189/4/bilateral-renal-halo-sign-acute-pancreatitis.










