CORAZÓN Y AORTA

SIGNO DE LA ALTERACIÓN DEL CONTORNO AÓRTICO

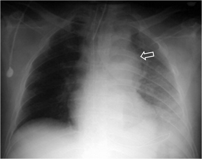
alteracion cont aorta

La irregularidad, abombamiento o borramiento del arco aórtico en la radiografía de tórax en bipedestación o en decúbito supino, en un paciente con traumatismo torácico, obliga a descartar rotura aórtica como causa de dicha alteración. La flecha muestra el contorno aórtico anómalo. Además, hay un aumento de densidad en el hemitórax izquierdo correspondiente a derrame pleural –hemotórax en este caso-, que refuerza la sospecha de rotura aórtica.

Recomendamos estos artículos: Sefczek DM y cols. Radiographics signs of acute traumatic ruptura of the thoracic aorta. AJR 1983; 41: 1259-1262. Mirris SE y cols.

Value of chest radiography in excluding traumatic aortic rupture. Radiology 1987; 163: 487-493.

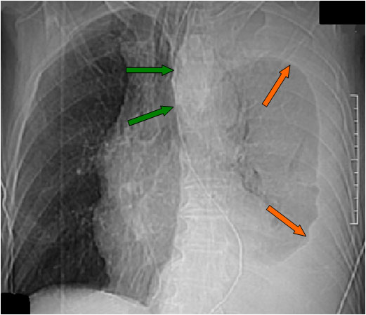
SIGNO DE LA SONDA NASOGÁSTRICA DESPLAZADA

SNG

El desplazamiento de la sonda nasogástrica a la derecha (que indica desplazamiento esofágico) en la radiografía de tórax, se ha descrito como el signo más fiable de rotura de la aorta torácica e indica la necesidad de realizar angioTC urgente. La primera imagen muestra el desplazamiento de la sonda (flechas verdes) así como un gran derrame pleural izquierdo (flechas naranjas).

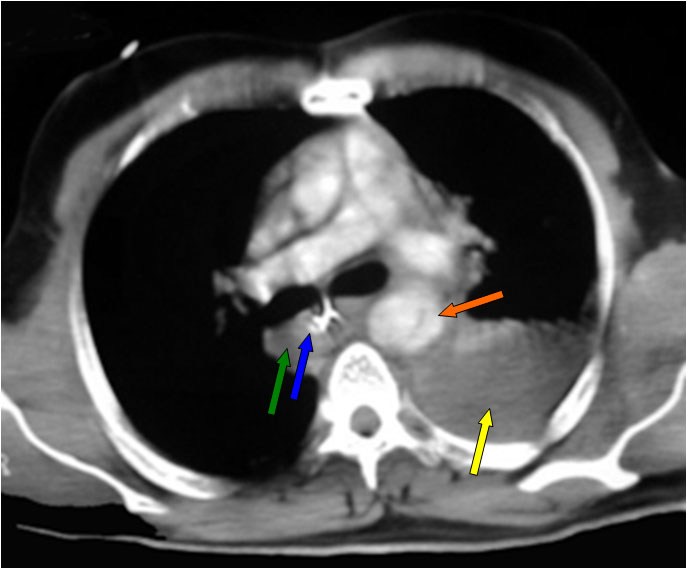
sonda2

En el corte de TC con contraste vemos la sonda desplazada a la derecha de la línea media (flecha azul), un hematoma mediastínico (flecha verde) provocado por la rotura aórtica (flecha naranja), y un hemotórax izquierdo (flecha amarilla).

SIGNO DEL CASQUETE APICAL IZQUIERDO

CASQUETE

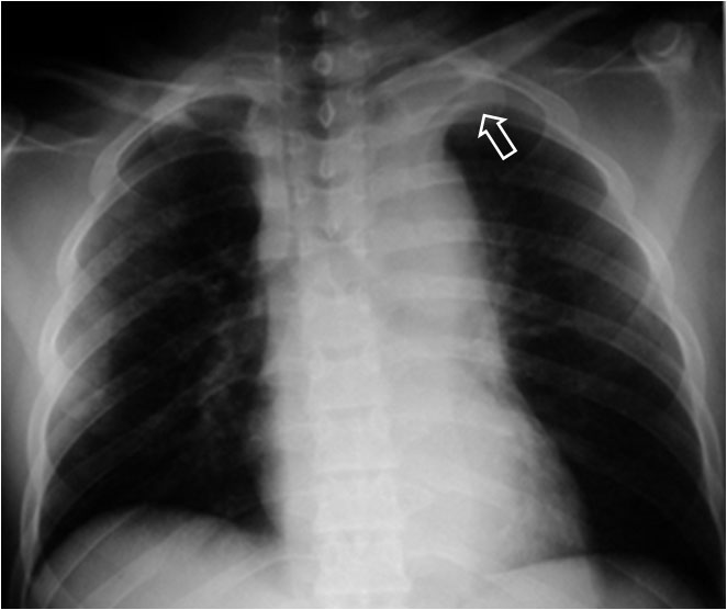
La aparición de una densidad en el ápex pulmonar izquierdo, de borde inferior cóncavo y bien delimitado (casquete apical) en un paciente con traumatismo torácico, debe hacernos sospechar la existencia de una rotura aórtica.

Deben excluirse otras causas de casquete apical, especialmente las lesiones residuales tuberculosas, que suelen acompañarse de otros hallazgos como tractos fibrosos pleuro-parenquimatosos, pérdida de volumen en el lóbulo superior, granulomas, etc.

Mostramos un caso de rotura aórtica por accidente de moto. En este paciente también aparece el signo de la alteración del contorno aórtico.

casquete2

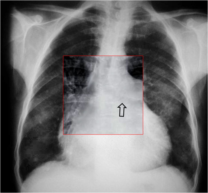
En el corte de TC de tórax con contraste intravenoso del mismo paciente vemos la rotura aórtica (flecha verde), un hemotórax bilateral –algo más cuantioso en el hemitórax izquierdo- (flechas azules) y un hematoma mediastínico (flecha naranja).

SIGNO DEL ARCO AÓRTICO OCULTO

arcooculro

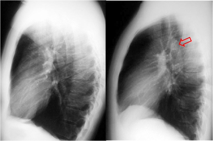
En la radiografía lateral de tórax, se ha descrito que la ausencia de la imagen del arco aórtico puede ser la clave diagnóstica de coartación aórtica. La imagen izquierda muestra el signo. Se trata del mismo paciente del Signo de las muescas costales (ver Otros signos de pleura/pared). La imagen derecha corresponde a una radiografía normal con la sombra aórtica visible (flecha).

Se han propuesto varias explicaciones para este signo; puede ser debido a hipoplasia del arco aórtico combinada con la coartación, a dilatación de las arterias braquiocefálicas (particularmente la arteria subclavia izquierda) que oscurecen el margen superior del cayado, o a hipoplasia y desplazamiento anteromedial de la porción distal del arco aórtico.

Este artículo de Chen es la referencia: Obscured aortic arch on the lateral view as a sign of coarctation. Radiology 1984: 153; 595-596.

SIGNO DEL 3 O DE LA E INVERTIDA

tres

Signo de coartación aórtica visible en la radiografía de tórax así como en las reconstrucciones de TC, resonancia y en el estudio aortográfico. El signo se forma por la dilatación de la aorta en los segmentos pre y postestenótico (flechas).

¿Tienes una imagen de este signo y quieres compartirla? Puedes enviarla a la dirección de correo enavs1@gmail.com. La pondremos junto a este texto y te citaremos.

SIGNO DE LA ALMOHADILLA EPICÁRDICA (O SIGNO DE LA GALLETA OREO)

almohadilla

Signo de derrame pericárdico en la radiografía lateral de tórax. El derrame aparece como una banda curva de densidad agua que separa las capas grasas pericárdicas visceral y parietal a nivel retroesternal bajo.

almohadilla2

La radiografía posteroanterior de tórax del mismo paciente muestra el aumento de tamaño de la sombra cardíaca con la morfología característica del derrame pericárdico (corazón en “tienda de campaña”). A la derecha, la imagen de TC con el derrame pericárdico (D) separando las capas grasas pericárdicas visceral (V) y parietal (P).

En la literatura en inglés, este signo es llamado «oreo cookie sign» por el aspecto de las capas hipo, hiper e hipodensa.

https://www.sciencedirect.com/science/article/pii/S0736467917300197?via%3Dihub

SIGNO DE LA DENSIDAD DIFERENCIAL

densidad dif

Otro signo de derrame pericárdico en la radiografía de tórax. El derrame (flecha) se ve ligeramente menos denso que el corazón. Este signo puede verse tanto en la radiografía posteroanterior de tórax, como vemos en esta imagen, como en la lateral, detrás del corazón.

La imagen también muestra el gran aumento de la sombra cardiaca con morfología “en tienda de campaña” característica del derrame.

SIGNO DE LA BOTELLA DE AGUA

botella de agua

El nombre de este signo se refiere a la forma de la silueta cardiaca en la radiografía posteroanterior en bipedestación, en pacientes que tienen un importante derrame pericárdico. El agua se acumula en la parte más inferior del espacio pericárdico, mientras que la parte superior, con menos líquido, es más estrecha. La forma se ha comparado a una antigua botella de agua (tipo matraz).

botella de agua2

Imagen coronal de TC de la misma paciente, que muestra el importante derrame pericárdico que justifica la forma de la silueta cardíaca en la placa.

botella de agua3

Jarra de agua con forma de matraz a la que se refiere el nombre del signo.

Puedes consultar la página de radiopedia: http://radiopaedia.org/articles/water-bottle-sign.

SIGNO DEL CINCO INVERTIDO

5invert

Signo de corazón izquierdo hipoplásico en la radiografía de tórax. El «cinco invertido» hace referencia a la morfología de la silueta cardiomediastínica izquierda, aunque más bien recuerda a un signo de apertura de interrogación (¿) en el que la línea recta corresponde al borde mediastínico y la parte curva a la aurícula derecha agrandada, destacando la ausencia de la sombra de la aorta ascendente.

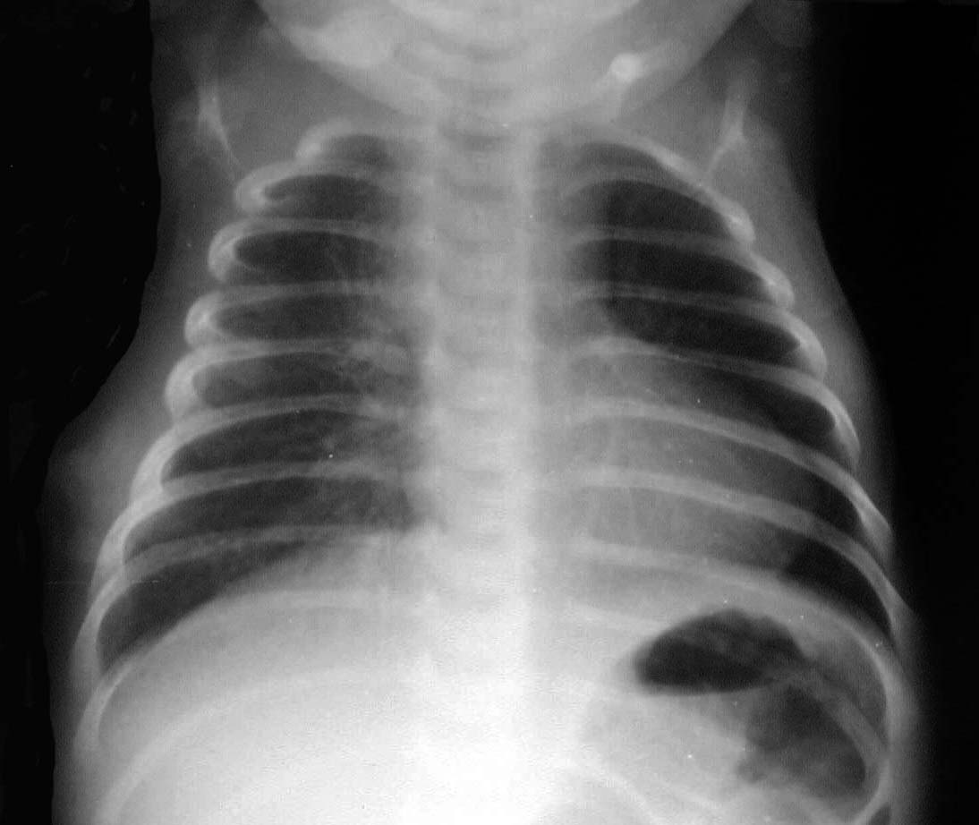
SIGNO DEL CORAZÓN EN FORMA DE ZUECO

ZUECO

Signo de tetralogía de Fallot en la radiografía de tórax. La hipertrofia de la pared del ventrículo derecho provoca un desplazamiento lateral del prominente ápex cardíaco, junto con su afilamiento e inclinación hacia arriba, que confiere a la silueta cardíaca la forma de un zueco con punta redondeada.

Recordemos que la tetralogía de Fallot es una malformación cardiaca congénita que provoca cianosis en el recién nacido. Se asocian una estenosis pulmonar infundibular, una comunicación interventricular, la dextroposición de la aorta y la hipertrofia del ventrículo derecho.corazon en bota

Esta imagen corresponde a otro ejemplo de este signo.

SIGNO DEL CORAZÓN EN FORMA DE MUÑECO DE NIEVE

nieve2nieve

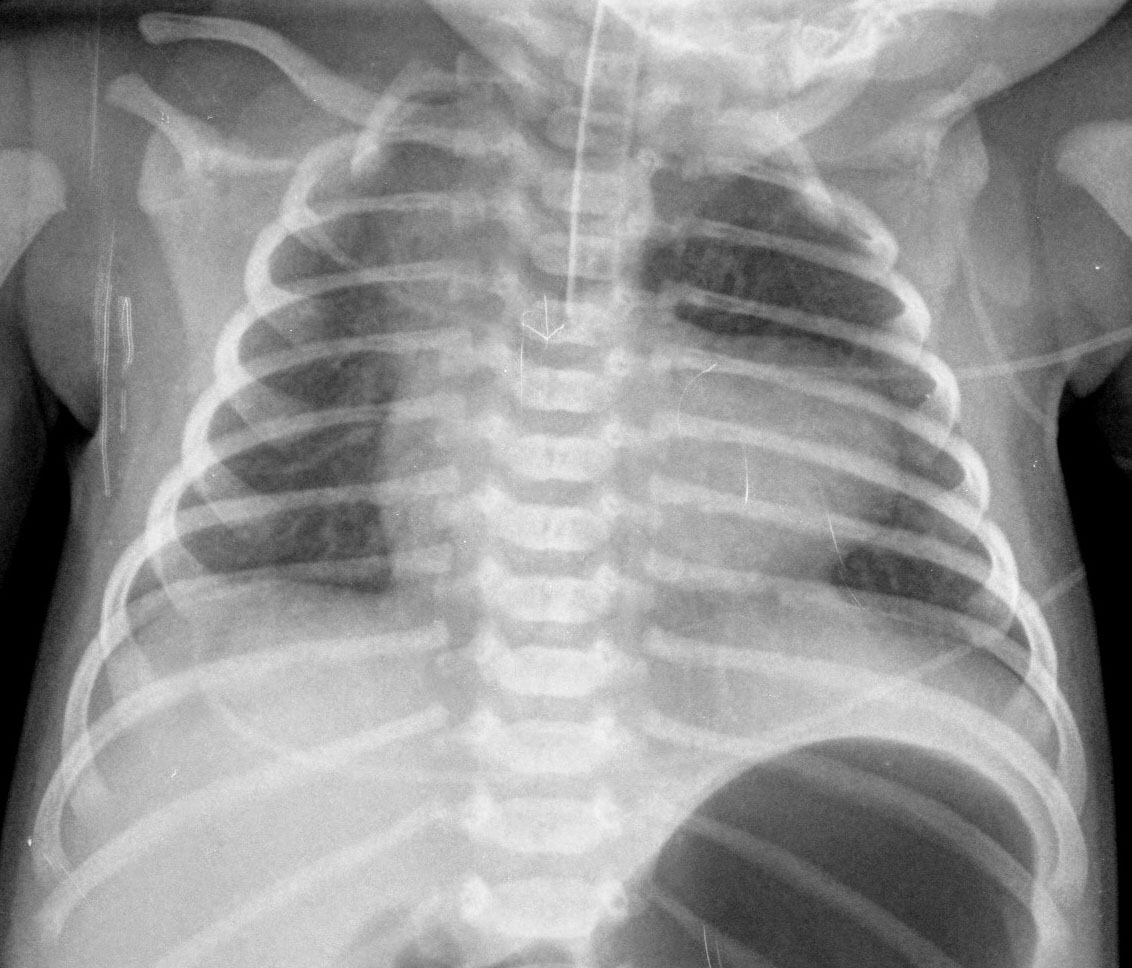
El aspecto de muñeco de nieve que adopta la silueta cardiaca en la proyección antero-posterior de tórax es característica del drenaje venoso pulmonar anómalo total. La porción inferior del muñeco corresponde al crecimiento de la aurícula y el ventrículo derechos, y la superior corresponde a la vena anómala que alcanza la vena cava superior.

SIGNO DEL CORAZÓN PEQUEÑO

corazon pequeño

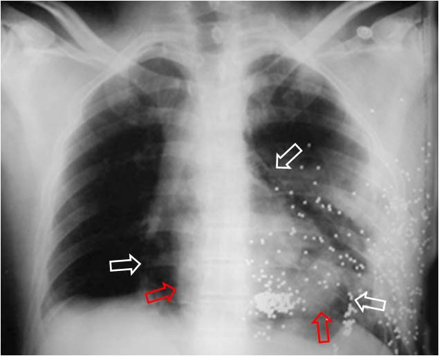
Signo de neumopericardio a tensión en la radiografía posteroanterior o anteroposterior de tórax. El neumopericardio es un hallazgo infrecuente que puede ocurrir en pacientes con traumatismo torácico. El signo del corazón pequeño consiste en una disminución del tamaño de la silueta cardiaca (como consecuencia del aumento de presión en el espacio pericárdico) y se acompaña de signos hemodinámicos de taponamiento cardíaco.

En la imagen, un caso de neumopericardio en un cadáver. Las radiodensidades puntiformes del hemitórax izquierdo corresponde a múltiples perdigones . Las flechas blancas marcan el contorno pericárdico y las rojas el cardiaco. Entre ambas, la zona radiolucente corresponde al neumopericardio.

SIGNO DEL DOBLE CONTORNO

doble contorno

Signo de crecimiento de la aurícula izquierda en la radiografía posteroanterior de tórax. La aurícula izquierda no forma parte normalmente del contorno cardiaco derecho en esta proyección; sin embargo, cuando aumenta de tamaño, produce un segundo contorno (flecha negra), además del de la aurícula derecha (flecha blanca).

La radiografía muestra este signo en un enfermo mitral, así como el aumento de tamaño de la silueta cardiaca.

SIGNO DE LA BAILARINA

bailarina

Es un signo de crecimiento de la aurícula izquierda visible en la radiografía posteroanterior o anteroposterior de tórax, y consiste en el aumento del ángulo traqueal por levantamiento del bronquio principal izquierdo (flecha). También es visible en la proyección oblicua anterior izquierda, aunque este tipo de proyección es cada vez menos utilizada.

El nombre del signo se debe al parecido de la imagen con la apertura de piernas (spagat) de una bailarina.

SIGNO DEL TERCER MOGUL

mogol

El signo del tercer mogul se refiere a la lobulación anormal del contorno mediastínico izquierdo entre la arteria pulmonar y el ventrículo izquierdo. Pueden producir esta lobulación lesiones cardíacas y pericárdicas (orejuela izquierda aumentada, aneurisma ventricular o de la arteria coronaria, quiste o masa pericárdicos, etc) y también algunos tumores mediastínicos, como timomas. En la imagen, el signo corresponde al crecimiento de la orejuela izquierda (flecha roja) en un enfermo mitral.

La palabra «mogul» es un término utilizado por los esquiadores para describir un acúmulo mamilar de nieve compacta en una ladera montañosa.

El primer mogul corresponde al cayado aórtico (flecha blanca); el segundo, a la prominencia de la arteria pulmonar (flecha roja); y el cuarto, al contorno del ventrículo izquierdo (flecha negra).

SIGNO DE HOFFMAN-RIGLER

HOFFMAN

Signo de crecimiento del ventrículo izquierdo en la radiografía lateral de tórax. Consiste en un aumento de la distancia entre la vena cava inferior y el borde cardíaco posterior, mayor de 2 centímetros.

En la imagen vemos el signo en un paciente con insuficiencia aórtica. La flecha roja indica el borde cardíaco posterior y la flecha negra señala la entrada de la vena cava inferior.

2 pensamientos en “CORAZÓN Y AORTA

  1. Avatar de Liliana Ramirez Liliana Ramirez dice:

    Excelente como apoyo didáctico, muy claro y util

    Me gusta

  2. Avatar de Paola Paola dice:

    muy didáctico

    Me gusta

Deja un comentario