Tutorial de ecografía escrotal, ahora en app para Android, en español e inglés.
Este Tutorial ha recibido certificados de mérito tanto en la RSNA en 2011 como en el Congreso
Nacional de SERAM de 2012. Cuenta con el aval de la SERAM y con el de más de 360 usuarios que le han dado una nota de 8,85/10 (tesis doctoral de Pilar Márquez, dirigida por los Dres. F. Sendra y E. Navarro).
Puedes encontrarla en Play Store y en la app de tu iPhone. Busca “ecografía escrotal”.
Tutorial of scrotal ultrasound, an App for Android and iPhone smartphones and tablets.
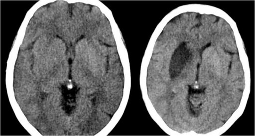
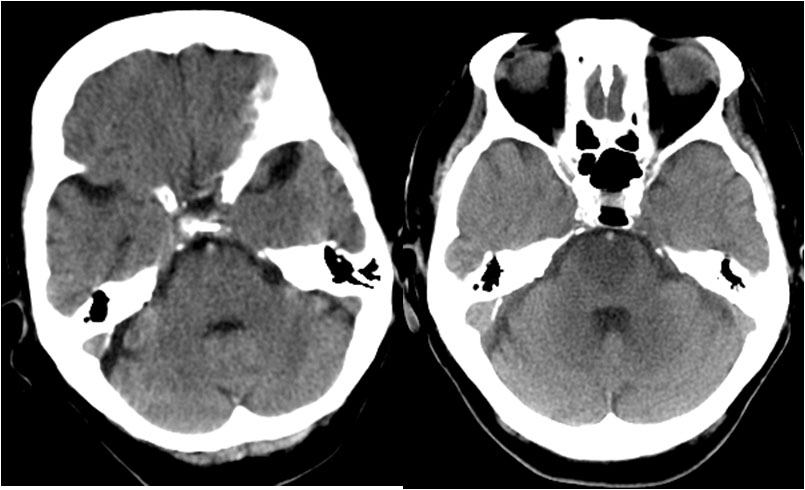
SIGNO DE LA ARTERIA CEREBRAL MEDIA HIPERDENSA o SIGNO DE LA CUERDA
Signo visible en la TC craneal sin contraste. Fue inicialmente descrito por D.H. Yock en 1981 y corresponde a la alta densidad de la primera porción de la arteria cerebral media (ACM) comparada con la arteria contralateral, y es un signo de isquemia cerebral por oclusión arterial por trombo o émbolo, cuya densidad (80 UH=unidades Hounsfield) es más alta que la de la sangre circulante(40 UH) por la mayor cantidad de fibrina y proteínas y la menor proporción de suero.
Es un signo precoz de accidente cerebro-vascular (ACV), aparece en las primeras 6 horas y deja de verse en el ACV evolucionado, por la resolución del trombo.
Este signo tiene casi un 100 % de sensibilidad pero solo un 30 % de especificidad.
Se ha visto, como falso positivo, en pacientes asintomáticos con poliglobulia o deshidratación, por el aumento del hematocrito, aunque en este caso es bilateral. En pacientes con arteriosclerosis y calcificaciones vasculares, la apariencia de la ACM puede parecer hiperdensa. También se ha descrito en algún paciente con encefalitis por herpes simplex, que característicamente afecta al lóbulo temporal.

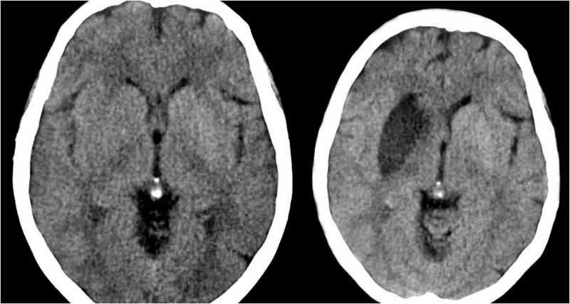
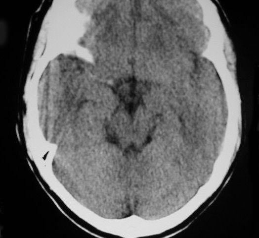
Imagen del mismo paciente 2 días después del primer estudio. Se observan un área hipodensa por infarto en el territorio de la ACM derecha.
Con el mismo significado de este hallazgo, se han descrito el signo de la arteria silviana hiperdensa, el signo de la arteria cerebral posterior hiperdensa y el signo de la arteria basilar hiperdensa, en la oclusión trombótica de estas arterias.
Puedes encontrar más información en:
http://radiopaedia.org/articles/hyperdense-mca-sign
http://pubs.rsna.org/doi/pdf/10.1148/radiology.208.3.9722846
http://www.eurorad.org/eurorad/case.php?id=169&lang=fr
SIGNO DE LA ARTERIA SILVIANA HIPERDENSA o SIGNO DEL PUNTO EN LA ACM
Este signo es un hallazgo precoz en la obstrucción trombótica de la arteria silviana, rama distal de la arteria cerebral media. A diferencia de esta arteria, la silviana no tiene un recorrido en el plano axial de la imagen, por lo que se ve no como una línea, sino como un punto hiperdenso, que puede estar presente en varios cortes.
El significado de la imagen es el mismo que el de la arteria cerebral media hiperdensa, pero por tratarse de una oclusión de un vaso más distal, la repercusión clínica es obviamente menor, y el pronóstico de los pacientes con infarto de este territorio vascular es mejor que cuando se afecta la cerebral media.
Este signo también se denomina Signo del punto en la ACM. En la siguiente dirección se encuentra más información: http://pubs.rsna.org/doi/full/10.1148/radiol.2411040573
SIGNO DE LA ARTERIA BASILAR HIPERDENSA
Es un signo precoz de infarto por obstrucción por trombo o émbolo de la arteria basilar. El significado de la imagen es el mismo que el de la arteria cerebral media hiperdensa. Sin embargo es un hallazgo mucho menos común, menos reconocible, y cuya sensibilidad y especificidad no se ha determinado, a diferencia del signo de la arteria cerebral media hiperdensa.
La dificultad en reconocerlo estriba en la menor resolución de la tomografía para la valoración de la fosa posterior, en el trayecto del vaso transversal al plano axial (visible en pocos cortes), en la falta de referencia contralateral, y en la menor frecuencia y conocimiento de este hallazgo. La realización de cortes finos y de reconstrucciones multiplanares puede ayudar a mejorar a identificar el signo.
El caso que presentamos muestra el signo el signo en el estudio inicial del paciente (a la izquierda) y el infarto en la protuberancia en un nuevo estudio realizado a las 12 horas.
La obstrucción de la arteria basilar puede provocar un cuadro con un pésimo pronóstico ya que la mortalidad supera el 90 % de casos.
Si quieres más información aquí hay algunas referencias:
http://stroke.ahajournals.org/content/40/1/134.full
http://radiopaedia.org/articles/acute-basilar-artery-occlusion
http://www.radpod.org/2007/12/22/basilar-artery-thrombosis/
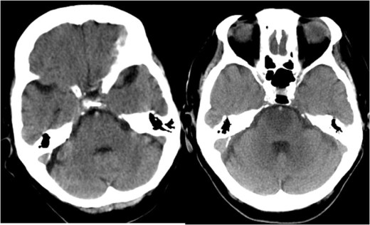
SIGNO DE LA ARTERIA CEREBRAL POSTERIOR HIPERDENSA

A la izquierda, hiperdensidad de ambas arterias cerebrales posteriores flechas). A la derecha, estudio a las 24 horas con infartos de los territorios de ambas cerebrales posteriores.
Es un signo precoz de infarto por obstrucción por trombo o émbolo que afecta a la circulación posterior cerebral. El significado de la imagen es el mismo que el de la arteria cerebral media hiperdensa, más conocido y frecuente.
Puedes consultar esta dirección. http://stroke.ahajournals.org/content/37/2/399/F1.expansion.html
SIGNO DEL OSCURECIMIENTO DEL NÚCLEO LENTICULAR
Signo precoz de infarto isquémico de la arteria cerebral media, visto en TC y descrito por Tamura en 1988. Consiste en la disminución de la densidad del núcleo lenticular -en comparación con la contralateral-, producida por el edema subsecuente al infarto, que puede verse en las primeras horas del comienzo del accidente isquémico, en ocasiones hasta tan solo una hora después del inicio de la isquemia.
El signo tiene una buena correlación con el infarto del territorio profundo de la arteria cerebral media, con un valor predictivo positivo del 99 % y un valor predictivo negativo del 98 %.
Cuando el área afectada es más extensa que el núcleo lenticular, el hallazgo ha sido descrito como el signo de la desaparición de los ganglios de la base, tal como se puede consultar en el enlace: http://pubs.rsna.org/doi/full/10.1148/radiol.2341030252

Otro ejemplo del signo a la izquierda) afectando al lenticular derecho, y la evolución tomográfica a la derecha).
SIGNO DE LA DESAPARICIÓN DE LOS GANGLIOS DE LA BASE
Signo precoz de infarto isquémico en el territorio profundo de la arteria cerebral media, visto en TC y que consiste en la disminución de los ganglios de la base -en comparación con los contralaterales-, producida por el edema subsecuente al infarto, que puede verse en las primeras horas del comienzo del accidente isquémico. Este signo tiene el mismo significado que el signo del oscurecimiento del núcleo lenticular (es decir, es debido al edema citotóxico que se produce como consecuencia de la isquemia en las primeras horas del accidente isquémico), pero no está solo limitado a éste, sino que puede afectar completa o parcialmente al caudado, la amígdala el claustro y las cápsulas interna, externa y extrema.
El artículo de referencia es éste: http://pubs.rsna.org/doi/full/10.1148/radiol.2341030252
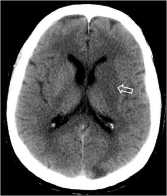
SIGNO DE LA PÉRDIDA DE LA CINTA INSULAR
Es otro de los signos precoces de infarto del territorio de la arteria cerebral media, que corresponde al oscurecimirnto de la sustancia gris en el margen de la corteza insular, con pérdida de la diferenciación entre la sustancia gris y la blanca. En la imagen vemos el signo en el lado izquierdo (flecha roja). A la derecha, las flechas blancas marcan la sustancia gris conservada de la corteza insular.
Este signo precoz es debido a la susceptibilidad de esta zona de corteza a la isquemia por oclusión de la arteria cerebral media, debido a la menor capacidad para suplir la vascularización a través de colaterales desde las arterias cerebrales anterior y posterior.
Referencia: C L Truwit y cols. Loos of the insular ribbon: another early CT sign of acute middle cerebral artery infarction. En: http://pubs.rsna.org/doi/abs/10.1148/radiology.176.3.2389039.
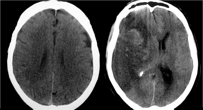
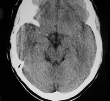
SIGNO DE LA PÉRDIDA DE SURCOS

Sutil pérdida de surcos en la convexidad derecha. En la TC de control se observa un infarto masivo en el territorio de la ACM derecha, con zonas hiperdensas por transformación hemorrágica.
La disminución del número y profundidad de los surcos de la convexidad cerebral es un signo poco específico, que se ha descrito como hallazgo precoz en el infarto isquémico cerebral. Está relacionado con el edema citotóxico que acompaña a la isquemia. También puede aparecer en el edema cerebral difuso y acompañando a lesiones expansivas cerebrales.
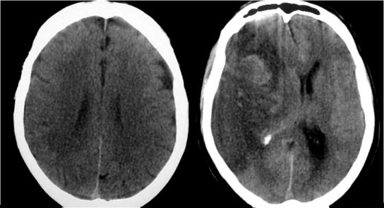
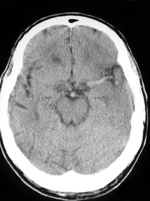
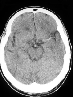
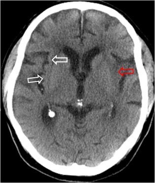
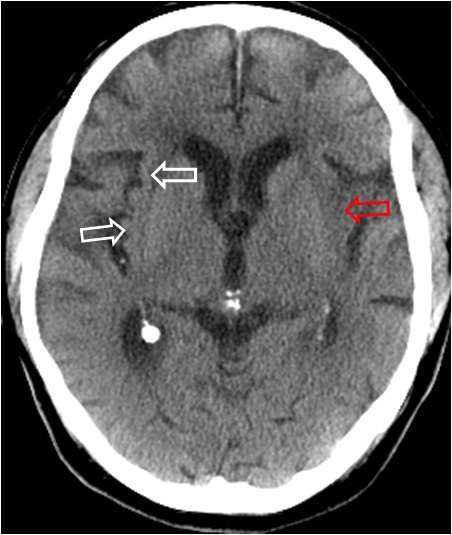
SIGNO DE LA PÉRDIDA DE DIFERENCIACIÓN SUSTANCIA GRIS-SUSTANCIA BLANCA

Las dos primeras imágenes muestran una pérdida de la diferenciación entre sustancia blanca y sustancia gris en el territorio de la ACM izquierda. Las flechas marcan la zona de interrupción de la diferenciación. La imagen de la derecha corresponde al estudio a las 24 horas, con el infarto claramente establecido.
Signo de infarto isquémico cerebral que puede estar presente en la fase precoz (menos de 6 horas desde el inicio) del accidente cerebrovascular, siendo en ocasiones el único signo presente. Es debido a la presencia de edema en el territorio infartado y consiste en la homogenización de las densidades de las sustancias blanca y gris.




excelente informacion, gracias!
Me gustaMe gusta